Skip to main content

CDKL5 Antibody (CL4888) - Azide and BSA Free

Novus Biologicals, part of Bio-Techne | Catalog # NBP3-44087

Novus Biologicals, part of Bio-Techne
Catalog #
Availability
Size / Price
Qty
Loading...
NBP3-44087

Key Product Details

Species Reactivity

Human

Applications

Immunohistochemistry-Paraffin, Western Blot

Label

Unconjugated

Antibody Source

Monoclonal Mouse IgG1 Clone # CL4888

Format

Azide and BSA Free

Concentration

LYOPH mg/ml

Product Specifications

Immunogen

This antibody was generated using a recombinant protein sequence of O76039, with the exact immunogen sequence remaining proprietary.

Clonality

Monoclonal

Host

Mouse

Isotype

IgG1

Description

Novus Biologicals Mouse CDKL5 Antibody (CL4888) - Azide and BSA Free (NBP2-61146) is a monoclonal antibody validated for use in IHC and WB. All Novus Biologicals antibodies are covered by our 100% guarantee.

Scientific Data Images for CDKL5 Antibody (CL4888) - Azide and BSA Free

CDKL5 Antibody (CL4888) - Azide and BSA Free Immunohistochemistry-Paraffin: CDKL5 Antibody [NBP3-44087]

Immunohistochemistry-Paraffin: CDKL5 Antibody [NBP3-44087]

Staining of cerebral cortex shows strong cytoplasmic immunoreactivity in neurons.
CDKL5 Antibody (CL4888) - Azide and BSA Free Immunohistochemistry-Paraffin: CDKL5 Antibody [NBP3-44087]

Immunohistochemistry-Paraffin: CDKL5 Antibody [NBP3-44087]

Staining of skeletal muscle shows absence of positivity in muscle fibers as expected (negative control).
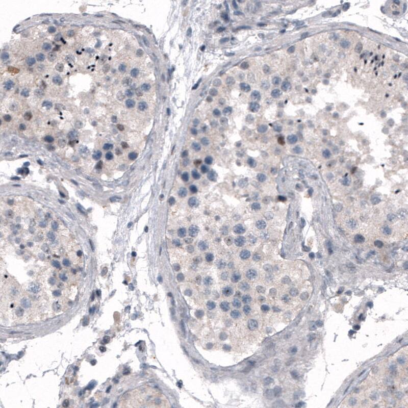
CDKL5 Antibody (CL4888) - Azide and BSA Free Immunohistochemistry-Paraffin: CDKL5 Antibody [NBP3-44087]

Immunohistochemistry-Paraffin: CDKL5 Antibody [NBP3-44087]

Staining of human testis shows weak nuclear positivity in a subset of cells in seminiferous tubules.

Applications for CDKL5 Antibody (CL4888) - Azide and BSA Free

Application
Recommended Usage

Immunohistochemistry-Paraffin

1:200 - 1:500

Western Blot

1 ug/ml
Application Notes
For IHC-Paraffin, HIER pH 6 retrieval is recommended.

Formulation, Preparation, and Storage

Purification

Protein A purified

Reconstitution

Centrifuge the vial of lyophilized antibody at 12,000 x g for 20 seconds. Reconstitute by adding sterile, distilled water to achieve a final antibody concentration of 1mg/ml.

Formulation

Lyophilized from a 0.2 um filtered solution in PBS with Trehalose

Format

Azide and BSA Free

Preservative

No Preservative

Concentration

LYOPH mg/ml

Shipping

The product is shipped at ambient temperature. Upon receipt, store it immediately at the temperature recommended below.

Stability & Storage

Store at 4C short term. Aliquot and store at -20C long term. Avoid freeze-thaw cycles.

Background: CDKL5

CDKL5 - cyclin-dependent kinase-like 5

Long Name

Cyclin-dependent kinase-like 5

Alternate Names

STK9

Gene Symbol

CDKL5

Additional CDKL5 Products

Product Documents for CDKL5 Antibody (CL4888) - Azide and BSA Free

Certificate of Analysis

To download a Certificate of Analysis, please enter a lot number in the search box below.

Product Specific Notices for CDKL5 Antibody (CL4888) - Azide and BSA Free

This product is for research use only and is not approved for use in humans or in clinical diagnosis. Primary Antibodies are guaranteed for 1 year from date of receipt.

Loading...
Loading...
Loading...
Loading...
Loading...