Skip to main content

Cdk7 Antibody (BL-80-5D4)

Novus Biologicals, part of Bio-Techne | Catalog # NBP2-76409

Recombinant Monoclonal Antibody
Novus Biologicals, part of Bio-Techne
Catalog #
Availability
Size / Price
Qty
Loading...
NBP2-76409

Key Product Details

Species Reactivity

Human

Applications

Multiplex Immunofluorescence, Immunohistochemistry, Western Blot, Flow Cytometry, Immunocytochemistry/ Immunofluorescence, Immunoprecipitation

Label

Unconjugated

Antibody Source

Recombinant Monoclonal Rabbit IgG Clone # BL-80-5D4

Concentration

Please see the vial label for concentration. If unlisted please contact technical services.

Product Specifications

Immunogen

Immunogen sequence between amino acids 300 and 3416 (C-Term)

Clonality

Monoclonal

Host

Rabbit

Isotype

IgG

Scientific Data Images for Cdk7 Antibody (BL-80-5D4)

Western Blot: Cdk7 Antibody (BL-80-5D4) [NBP2-76409]

Western Blot: Cdk7 Antibody (BL-80-5D4) [NBP2-76409]

Western Blot: Cdk7 Antibody (BL-80-5D4) [NBP2-76409] - Detection of human CDK7 by WB of HeLa, HEK293T, Jurkat, MCF-7, Hep-G2, A-549, SW620, SK-MEL-28 (SK), and HCT 116 lysate. Antibody: Rabbit anti-CDK7 recombinant monoclonal [BL-80-5D4] (NBP2-76409). Secondary: HRP-conjugated goat anti-rabbit IgG.
Immunocytochemistry: Cdk7 Antibody (BL-80-5D4) [NBP2-76409]

Immunocytochemistry: Cdk7 Antibody (BL-80-5D4) [NBP2-76409]

Immunocytochemistry: Cdk7 Antibody (BL-80-5D4) [NBP2-76409] - Detection of human CDK7 in FFPE breast carcinoma cell line MCF-7 by ICC. Antibody: Rabbit anti-CDK7 recombinant monoclonal [BL-80-5D4] (NBP2-76409). Secondary: HRP-conjugated goat anti-rabbit IgG. Substrate: DAB.
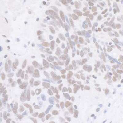
Immunohistochemistry: Cdk7 Antibody (BL-80-5D4) [NBP2-76409]

Immunohistochemistry: Cdk7 Antibody (BL-80-5D4) [NBP2-76409]

Immunohistochemistry: Cdk7 Antibody (BL-80-5D4) [NBP2-76409] - Detection of human CDK7 in FFPE human ovarian carcinoma by IHC. Antibody: Rabbit anti-CDK7 recombinant monoclonal [BL-80-5D4] (NBP2-76409). Secondary: HRP-conjugated goat anti-rabbit IgG. Substrate: DAB.

Applications for Cdk7 Antibody (BL-80-5D4)

Application
Recommended Usage

Immunohistochemistry

1:25 - 1:100

Immunoprecipitation

20 ul/0.5 mg lysate

Western Blot

1:1000

Formulation, Preparation, and Storage

Purification

Antigen Affinity-purified

Formulation

Borate Buffered Saline (BBS) pH 8.2 with 0.1% BSA

Preservative

0.09% Sodium Azide

Concentration

Please see the vial label for concentration. If unlisted please contact technical services.

Shipping

The product is shipped with polar packs. Upon receipt, store it immediately at the temperature recommended below.

Stability & Storage

Store at 2 - 8 C / 1 year from date of receipt

Background: Cdk7

Cyclin-dependent kinase 7 (CDK7) is a member of the CDK family of protein kinases that regulate cell cycle progression. CDK7 is the catalytic subunit in a trimeric complex with cyclin H and MAT1 that functions as a Cdk-activating kinase (CAK). CDK7 activates the kinase activities of CDK1, CDK2, CDK4, and CDK6 by threonine phosphorylation. In addition to its cell cycle function CDK7 has also been found to be an essential component of the transcription factor TFIIH. Several substrates of CDK7 are involved in transcription, further indicating a role in transcription.

Long Name

Cyclin-dependent kinase 7

Alternate Names

CDKN7, MO15, p39 Mo15, STK1

Gene Symbol

CDK7

Additional Cdk7 Products

Product Documents for Cdk7 Antibody (BL-80-5D4)

Certificate of Analysis

To download a Certificate of Analysis, please enter a lot number in the search box below.

Product Specific Notices for Cdk7 Antibody (BL-80-5D4)

This Product sold under License from Bethyl Laboratories, Inc.

This product is for research use only and is not approved for use in humans or in clinical diagnosis. Primary Antibodies are guaranteed for 1 year from date of receipt.

Loading...
Loading...
Loading...
Loading...
Loading...