Skip to main content

CDC73/HRPT2 Antibody (JE66-42)

Novus Biologicals, part of Bio-Techne | Catalog # NBP3-32442

Recombinant Monoclonal Antibody
Novus Biologicals, part of Bio-Techne
Catalog #
Availability
Size / Price
Qty
Loading...
NBP3-32442

Key Product Details

Species Reactivity

Human, Mouse, Rat

Applications

Immunohistochemistry, Immunohistochemistry-Paraffin, Western Blot

Label

Unconjugated

Antibody Source

Recombinant Monoclonal Rabbit IgG Clone # JE66-42 expressed in HEK293

Concentration

1 mg/ml

Product Specifications

Immunogen

Recombinant protein within Human CDC73/HRPT2 aa 331-430 / 531. (Uniprot: Q6P1J9)

Localization

Nucleus.

Clonality

Monoclonal

Host

Rabbit

Isotype

IgG

Theoretical MW

61 kDa.
Disclaimer note: The observed molecular weight of the protein may vary from the listed predicted molecular weight due to post translational modifications, post translation cleavages, relative charges, and other experimental factors.

Description

Novus Biologicals Rabbit CDC73/HRPT2 Antibody (JE66-42) (NBP3-32442) is a recombinant monoclonal antibody validated for use in IHC and WB. All Novus Biologicals antibodies are covered by our 100% guarantee.

Scientific Data Images for CDC73/HRPT2 Antibody (JE66-42)

CDC73/HRPT2 Antibody (JE66-42)

Western Blot: CDC73/HRPT2 Antibody (JE66-42) [NBP3-32442]

Western Blot: CDC73/HRPT2 Antibody (JE66-42) [NBP3-32442] - Western blot analysis of CDC73/HRPT2 on different lysates with Rabbit anti-CDC73/HRPT2 antibody (NBP3-32442) at 1/1,000 dilution.

Lane 1: SW480 cell lysate
Lane 2: K-562 cell lysate
Lane 3: HeLa cell lysate
Lane 4: Jurkat cell lysate
Lane 5: HepG2 cell lysate
Lane 6: MCF7 cell lysate
Lane 7: HEK-293 cell lysate
Lane 8: RAW264.7 cell lysate

Lysates/proteins at 15 ug/Lane.

Predicted band size: 61 kDa
Observed band size: 61 kDa

Exposure time: 3 minutes;

4-20% SDS-PAGE gel.

Proteins were transferred to a PVDF membrane and blocked with 5% NFDM/TBST for 1 hour at room temperature. The primary antibody (NBP3-32442) at 1/1,000 dilution was used in 5% NFDM/TBST at room temperature for 2 hours. Goat Anti-Rabbit IgG - HRP Secondary Antibody at 1:100,000 dilution was used for 1 hour at room temperature.
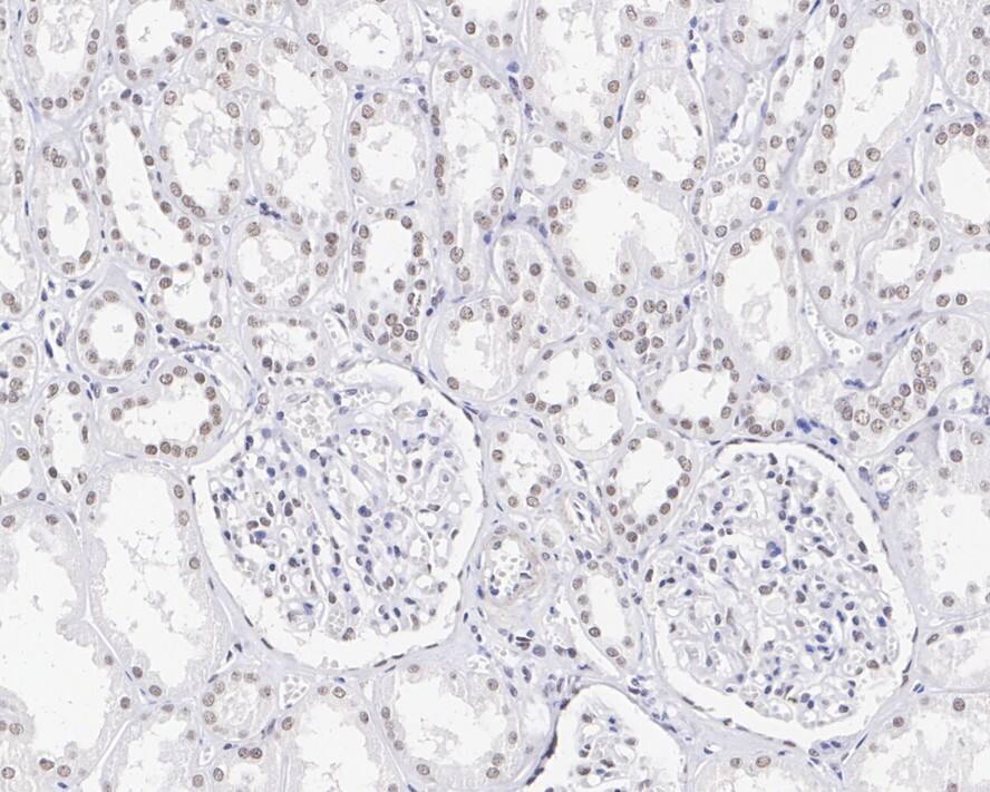
CDC73/HRPT2 Antibody (JE66-42)

Immunohistochemistry: CDC73/HRPT2 Antibody (JE66-42) [NBP3-32442]

Immunohistochemistry: CDC73/HRPT2 Antibody (JE66-42) [NBP3-32442] - Immunohistochemical analysis of paraffin-embedded human kidney tissue with Rabbit anti-CDC73/HRPT2 antibody (NBP3-32442) at 1/200 dilution.

The section was pre-treated using heat mediated antigen retrieval with sodium citrate buffer (pH 6.0) for 2 minutes. The tissues were blocked in 1% BSA for 20 minutes at room temperature, washed with ddH2O and PBS, and then probed with the primary antibody (NBP3-32442) at 1/200 dilution for 1 hour at room temperature. The detection was performed using an HRP conjugated compact polymer system. DAB was used as the chromogen. Tissues were counterstained with hematoxylin and mounted with DPX.

Applications for CDC73/HRPT2 Antibody (JE66-42)

Application
Recommended Usage

Immunohistochemistry-Paraffin

1:200

Western Blot

1:1000

Formulation, Preparation, and Storage

Purification

Protein A purified

Formulation

1*TBS (pH7.4), 0.05% BSA and 40% Glycerol

Preservative

0.05% Sodium Azide

Concentration

1 mg/ml

Shipping

The product is shipped with polar packs. Upon receipt, store it immediately at the temperature recommended below.

Stability & Storage

Store at 4C short term. Aliquot and store at -20C long term. Avoid freeze-thaw cycles.

Background: CDC73

Parafibromin, the product of gene HPRT2, acts as a tumor suppressor protein by inhibiting cell proliferation and blocking expression of cyclin D1 when overexpressed. Parafibromin has also been shown to bind with the PAF1 complex / RNA polymerase II which is involved with transcription elongation and the RNA processing pathway.

Long Name

Cell Division Cycle 73

Alternate Names

HPT-JT, HRPT2, Parafibromin

Gene Symbol

CDC73

Additional CDC73 Products

Product Documents for CDC73/HRPT2 Antibody (JE66-42)

Certificate of Analysis

To download a Certificate of Analysis, please enter a lot number in the search box below.

Product Specific Notices for CDC73/HRPT2 Antibody (JE66-42)

This product is for research use only and is not approved for use in humans or in clinical diagnosis. Primary Antibodies are guaranteed for 1 year from date of receipt.

Loading...
Loading...
Loading...
Loading...