Skip to main content

Cdc6 Antibody (OTI1A4) - Azide and BSA Free

Novus Biologicals, part of Bio-Techne | Catalog # NBP2-70383

Novus Biologicals, part of Bio-Techne

Key Product Details

Species Reactivity

Human

Applications

Immunohistochemistry, Immunohistochemistry-Paraffin, Western Blot

Label

Unconjugated

Antibody Source

Monoclonal Mouse IgG1 Clone # OTI1A4

Format

Azide and BSA Free

Concentration

LYOPH mg/ml

Product Specifications

Immunogen

Full length human recombinant protein of human CDC6(NP_001245) produced in E.coli.

Clonality

Monoclonal

Host

Mouse

Isotype

IgG1

Theoretical MW

62.5 kDa.
Disclaimer note: The observed molecular weight of the protein may vary from the listed predicted molecular weight due to post translational modifications, post translation cleavages, relative charges, and other experimental factors.

Description

Novus Biologicals Mouse Cdc6 Antibody (OTI1A4) - Azide and BSA Free (NBP2-46192) is a monoclonal antibody validated for use in IHC and WB. All Novus Biologicals antibodies are covered by our 100% guarantee.

Scientific Data Images for Cdc6 Antibody (OTI1A4) - Azide and BSA Free

Western Blot: Cdc6 Antibody (OTI1A4)Azide and BSA Free [NBP2-70383]

Western Blot: Cdc6 Antibody (OTI1A4)Azide and BSA Free [NBP2-70383]

Western Blot: Cdc6 Antibody (OTI1A4) - Azide and BSA Free [NBP2-70383] - Analysis of HEK293T cells were transfected with the pCMV6-ENTRY control (Left lane) or pCMV6-ENTRY CDC6.
Immunohistochemistry: Cdc6 Antibody (OTI1A4) - Azide and BSA Free [NBP2-70383]

Immunohistochemistry: Cdc6 Antibody (OTI1A4) - Azide and BSA Free [NBP2-70383]

Immunohistochemistry: Cdc6 Antibody (OTI1A4) - Azide and BSA Free [NBP2-70383] - Analysis of Human pancreas tissue. (Heat-induced epitope retrieval by 1mM EDTA in 10mM Tris buffer (pH8.5) at 120C for 3 min)
Immunohistochemistry: Cdc6 Antibody (OTI1A4) - Azide and BSA Free [NBP2-70383]

Immunohistochemistry: Cdc6 Antibody (OTI1A4) - Azide and BSA Free [NBP2-70383]

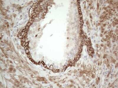
Immunohistochemistry: Cdc6 Antibody (OTI1A4) - Azide and BSA Free [NBP2-70383] - Analysis of Adenocarcinoma of Human ovary tissue. (Heat-induced epitope retrieval by 1mM EDTA in 10mM Tris buffer (pH8.5) at 120C for 3 min)

Applications for Cdc6 Antibody (OTI1A4) - Azide and BSA Free

Application
Recommended Usage

Immunohistochemistry

1:150

Western Blot

1:500

Formulation, Preparation, and Storage

Purification

Immunogen affinity purified

Reconstitution

we recommend adding 100uL distilled water to a final antibody concentration of about 1 mg/mL. To use this carrier-free antibody for conjugation experiment, we strongly recommend performing another round of desalting process.

Formulation

Lyophilized from PBS (pH 7.3) with 8% Trehalose

Format

Azide and BSA Free

Preservative

No Preservative

Concentration

LYOPH mg/ml

Shipping

The product is shipped with polar packs. Upon receipt, store it immediately at the temperature recommended below.

Stability & Storage

Store at -20C. Avoid freeze-thaw cycles.

Background: Cdc6

Cdc6 is encoded by this gene is highly similar to Saccharomyces cerevisiae Cdc6, a protein essential for the initiation of DNA replication. This protein functions as a regulator at the early steps of DNA replication. It localizes in cell nucleus during cell cyle G1, but translocates to the cytoplasm at the start of S phase. The subcellular translocation of this protein during cell cyle is regulated through its phosphorylation by Cdks. Transcription of this protein was reported to be regulated in response to mitogenic signals through transcriptional control mechanism involving E2F proteins.

Alternate Names

CDC18LHsCDC18, Cdc18-related protein, CDC6 (cell division cycle 6, S. cerevisiae) homolog, CDC6 cell division cycle 6 homolog, CDC6 cell division cycle 6 homolog (S. cerevisiae), CDC6-related protein, cell division control protein 6 homolog, cell division cycle 6 homolog (S. cerevisiae), cell division cycle 6 protein, HsCdc18, HsCDC6, p62(cdc6)

Gene Symbol

CDC6

Additional Cdc6 Products

Product Documents for Cdc6 Antibody (OTI1A4) - Azide and BSA Free

Certificate of Analysis

To download a Certificate of Analysis, please enter a lot number in the search box below.

Product Specific Notices for Cdc6 Antibody (OTI1A4) - Azide and BSA Free

This product is for research use only and is not approved for use in humans or in clinical diagnosis. Primary Antibodies are guaranteed for 1 year from date of receipt.

Loading...
Loading...
Loading...
Loading...
Loading...