Skip to main content

CDC42SE2 Antibody (OTI1B12)

Novus Biologicals, part of Bio-Techne | Catalog # NBP2-46191

Novus Biologicals, part of Bio-Techne

Key Product Details

Species Reactivity

Human, Mouse, Rat

Applications

Immunohistochemistry, Immunohistochemistry-Paraffin, Western Blot

Label

Unconjugated

Antibody Source

Monoclonal Mouse IgG1 Clone # OTI1B12

Concentration

1 mg/ml

Product Specifications

Immunogen

Full length human recombinant protein of human CDC42SE2 (NP_064625) produced in E.coli.

Reactivity Notes

Please note that this antibody is reactive to Mouse and derived from the same host, Mouse. Mouse-On-Mouse blocking reagent may be needed for IHC and ICC experiments to reduce high background signal. You can find these reagents under catalog numbers PK-2200-NB and MP-2400-NB. Please contact Technical Support if you have any questions.

Clonality

Monoclonal

Host

Mouse

Isotype

IgG1

Theoretical MW

9 kDa.
Disclaimer note: The observed molecular weight of the protein may vary from the listed predicted molecular weight due to post translational modifications, post translation cleavages, relative charges, and other experimental factors.

Description

Novus Biologicals Mouse CDC42SE2 Antibody (OTI1B12) (NBP2-46191) is a monoclonal antibody validated for use in IHC and WB. All Novus Biologicals antibodies are covered by our 100% guarantee.

Scientific Data Images for CDC42SE2 Antibody (OTI1B12)

Western Blot: CDC42SE2 Antibody (OTI1B12) [NBP2-46191]

Western Blot: CDC42SE2 Antibody (OTI1B12) [NBP2-46191]

Western Blot: CDC42SE2 Antibody (1B12) [NBP2-46191] - Analysis of HEK293T cells were transfected with the pCMV6-ENTRY control (Left lane) or pCMV6-ENTRY CDC42SE2.
Immunohistochemistry: CDC42SE2 Antibody (OTI1B12) [NBP2-46191]

Immunohistochemistry: CDC42SE2 Antibody (OTI1B12) [NBP2-46191]

Immunohistochemistry: CDC42SE2 Antibody (1B12) [NBP2-46191] - Analysis of Carcinoma of Human prostate tissue. (Heat-induced epitope retrieval by 1mM EDTA in 10mM Tris buffer (pH8.5) at 120C for 3 min)
Immunohistochemistry: CDC42SE2 Antibody (OTI1B12) [NBP2-46191]

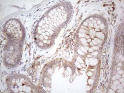
Immunohistochemistry: CDC42SE2 Antibody (OTI1B12) [NBP2-46191]

Immunohistochemistry: CDC42SE2 Antibody (1B12) [NBP2-46191] - Analysis of Human colon tissue. (Heat-induced epitope retrieval by 1mM EDTA in 10mM Tris buffer (pH8.5) at 120C for 3 min)

Applications for CDC42SE2 Antibody (OTI1B12)

Application
Recommended Usage

Immunohistochemistry

1:150

Western Blot

1:2000

Formulation, Preparation, and Storage

Purification

Immunogen affinity purified

Formulation

PBS (pH 7.3), 1.0% BSA and 50% Glycerol

Preservative

0.02% Sodium Azide

Concentration

1 mg/ml

Shipping

The product is shipped with polar packs. Upon receipt, store it immediately at the temperature recommended below.

Stability & Storage

Store at -20C. Avoid freeze-thaw cycles.

Background: CDC42SE2

CDC42SE2 - CDC42 small effector 2

Alternate Names

CDC42 small effector 2, FLJ21967, non-kinase Cdc42 effector protein SPEC2, Small effector of CDC42 protein 2, SPEC2CDC42 small effector protein 2

Gene Symbol

CDC42SE2

Additional CDC42SE2 Products

Product Documents for CDC42SE2 Antibody (OTI1B12)

Certificate of Analysis

To download a Certificate of Analysis, please enter a lot number in the search box below.

Product Specific Notices for CDC42SE2 Antibody (OTI1B12)

This product is for research use only and is not approved for use in humans or in clinical diagnosis. Primary Antibodies are guaranteed for 1 year from date of receipt.

Loading...
Loading...
Loading...
Loading...