Skip to main content

CDC25C Antibody - BSA Free

Novus Biologicals, part of Bio-Techne | Catalog # NBP2-15827

Novus Biologicals, part of Bio-Techne
Catalog #
Availability
Size / Price
Qty
Loading...
NBP2-15827

Key Product Details

Species Reactivity

Human

Applications

Immunohistochemistry, Immunohistochemistry-Paraffin, Western Blot, Immunocytochemistry/ Immunofluorescence

Label

Unconjugated

Antibody Source

Polyclonal Rabbit IgG

Format

BSA Free

Concentration

Concentrations vary lot to lot. See vial label for concentration. If unlisted please contact technical services.

Product Specifications

Immunogen

Recombinant protein encompassing a sequence within the center region of human CDC25C. The exact sequence is proprietary.

Localization

Nucleus

Marker

Mitosis Marker

Clonality

Polyclonal

Host

Rabbit

Isotype

IgG

Theoretical MW

53 kDa.
Disclaimer note: The observed molecular weight of the protein may vary from the listed predicted molecular weight due to post translational modifications, post translation cleavages, relative charges, and other experimental factors.

Description

Novus Biologicals Rabbit CDC25C Antibody - BSA Free (NBP2-15827) is a polyclonal antibody validated for use in IHC, WB and ICC/IF. All Novus Biologicals antibodies are covered by our 100% guarantee.

Scientific Data Images for CDC25C Antibody - BSA Free

Western Blot: CDC25C Antibody [NBP2-15827]

Western Blot: CDC25C Antibody [NBP2-15827]

Western Blot: CDC25C Antibody [NBP2-15827] - Non-transfected (-) and transfected (+) HeLa whole cell extracts (30 ug) were separated by 10% SDS-PAGE, and the membrane was blotted with CDC25C antibody diluted at 1:2000. HRP-conjugated anti-rabbit IgG antibody was used to detect the primary antibody
Immunocytochemistry/ Immunofluorescence: CDC25C Antibody [NBP2-15827]

Immunocytochemistry/ Immunofluorescence: CDC25C Antibody [NBP2-15827]

Immunocytochemistry/Immunofluorescence: Cdc25C Antibody [NBP2-15827] - Confocal immunofluorescence analysis of paraformaldehyde-fixed U2OS, using CDC25C antibody (Geen) at 1:500 dilution. Alpha-tubulin filaments are labeled with Alpha-tubulin antibody (Red) at 1:2000.
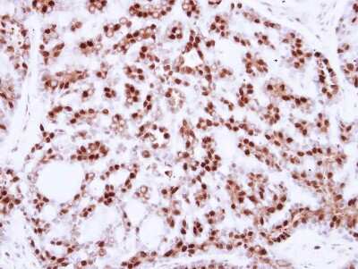
Immunohistochemistry-Paraffin: CDC25C Antibody [NBP2-15827]

Immunohistochemistry-Paraffin: CDC25C Antibody [NBP2-15827]

Immunohistochemistry-Paraffin: Cdc25C Antibody [NBP2-15827] - Immunohistochemical analysis of paraffin-embedded Breast ca, using antibody at 1:250 dilution.

Applications for CDC25C Antibody - BSA Free

Application
Recommended Usage

Immunocytochemistry/ Immunofluorescence

1:100-1:1000

Immunohistochemistry

10 - 1:500

Immunohistochemistry-Paraffin

1:100-1:1000

Western Blot

1:500-1:3000

Formulation, Preparation, and Storage

Purification

Antigen Affinity-purified

Formulation

0.1M Tris, 0.1M Glycine, 20% Glycerol

Format

BSA Free

Preservative

0.01% Thimerosal

Concentration

Concentrations vary lot to lot. See vial label for concentration. If unlisted please contact technical services.

Shipping

The product is shipped with polar packs. Upon receipt, store it immediately at the temperature recommended below.

Stability & Storage

Aliquot and store at -20C or -80C. Avoid freeze-thaw cycles.

Background: CDC25C

This gene is highly conserved during evolution and it plays a key role in the regulation of cell division. The encoded protein is a tyrosine phosphatase and belongs to the Cdc25 phosphatase family. It directs dephosphorylation of cyclin B-bound CDC2 and triggers entry into mitosis. It is also thought to suppress p53-induced growth arrest. Multiple alternatively spliced transcript variants of this gene have been described, however, the full-length nature of many of them is not known. [provided by RefSeq]

Long Name

Cell Division Cycle 25C

Alternate Names

CDC 25, CDC25, cell division cycle 25 homolog C (S. cerevisiae), cell division cycle 25 homolog C (S. pombe), cell division cycle 25C, Dual specificity phosphatase Cdc25C, EC 3.1.3.48, mitosis inducer CDC25, M-phase inducer phosphatase 3, phosphotyrosine phosphatase

Gene Symbol

CDC25C

UniProt

Additional CDC25C Products

Product Documents for CDC25C Antibody - BSA Free

Certificate of Analysis

To download a Certificate of Analysis, please enter a lot number in the search box below.

Product Specific Notices for CDC25C Antibody - BSA Free

This product is for research use only and is not approved for use in humans or in clinical diagnosis. Primary Antibodies are guaranteed for 1 year from date of receipt.

Loading...
Loading...
Loading...
Loading...

⚠ WARNING: This product can expose you to chemicals including mercury, which is known to the State of California to cause reproductive toxicity with developmental effects.  For more information go to www.P65Warnings.ca.gov.