Skip to main content

CDC25C Antibody (JE59-53)

Novus Biologicals, part of Bio-Techne | Catalog # NBP3-32173

Recombinant Monoclonal Antibody
Novus Biologicals, part of Bio-Techne
Catalog #
Availability
Size / Price
Qty
Loading...
NBP3-32173

Key Product Details

Species Reactivity

Human

Applications

Immunohistochemistry, Immunohistochemistry-Paraffin, Western Blot, Flow Cytometry, Immunocytochemistry/ Immunofluorescence

Label

Unconjugated

Antibody Source

Recombinant Monoclonal Rabbit IgG Clone # JE59-53 expressed in HEK293

Concentration

1 mg/ml

Product Specifications

Immunogen

Synthetic peptide within Human CDC25C aa 400-473 (C terminal). (Uniprot: P30307)

Localization

Nucleus.

Clonality

Monoclonal

Host

Rabbit

Isotype

IgG

Theoretical MW

53 kDa.
Disclaimer note: The observed molecular weight of the protein may vary from the listed predicted molecular weight due to post translational modifications, post translation cleavages, relative charges, and other experimental factors.

Description

Novus Biologicals Rabbit CDC25C Antibody (JE59-53) (NBP3-32173) is a recombinant monoclonal antibody validated for use in IHC, WB, Flow and ICC/IF. All Novus Biologicals antibodies are covered by our 100% guarantee.

Scientific Data Images for CDC25C Antibody (JE59-53)

CDC25C Antibody (JE59-53)

Western Blot: CDC25C Antibody (JE59-53) [NBP3-32173]

Western Blot: CDC25C Antibody (JE59-53) [NBP3-32173] - Western blot analysis of CDC25C on different lysates with Rabbit anti-CDC25C antibody (NBP3-32173) at 1/1,000 dilution.

Lane 1: 293T cell lysate
Lane 2: Caco-2 cell lysate
Lane 3: HUVEC cell lysate
Lane 4: HT-29 cell lysate

Lysates/proteins at 20 ug/Lane.

Predicted band size: 53 kDa
Observed band size: 58 kDa

Exposure time: 1 minute;

4-20% SDS-PAGE gel.

Proteins were transferred to a PVDF membrane and blocked with 5% NFDM/TBST for 1 hour at room temperature. The primary antibody (NBP3-32173) at 1/1,000 dilution was used in 5% NFDM/TBST at 4C overnight. Goat Anti-Rabbit IgG - HRP Secondary Antibody at 1/50,000 dilution was used for 1 hour at room temperature.
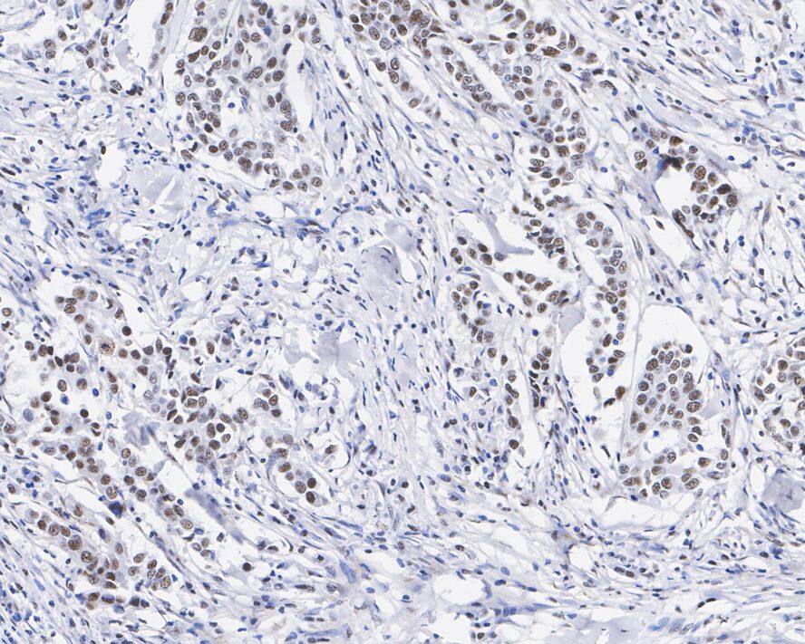
CDC25C Antibody (JE59-53)

Immunohistochemistry: CDC25C Antibody (JE59-53) [NBP3-32173]

Immunohistochemistry: CDC25C Antibody (JE59-53) [NBP3-32173] - Immunohistochemical analysis of paraffin-embedded human breast cancer tissue with Rabbit anti-CDC25C antibody (NBP3-32173) at 1/2,000 dilution.

The section was pre-treated using heat mediated antigen retrieval with sodium citrate buffer (pH 6.0) for 2 minutes. The tissues were blocked in 1% BSA for 20 minutes at room temperature, washed with ddH2O and PBS, and then probed with the primary antibody (NBP3-32173) at 1/2,000 dilution for 1 hour at room temperature. The detection was performed using an HRP conjugated compact polymer system. DAB was used as the chromogen. Tissues were counterstained with hematoxylin and mounted with DPX.
CDC25C Antibody (JE59-53)

Immunocytochemistry/ Immunofluorescence: CDC25C Antibody (JE59-53) [NBP3-32173]

Immunocytochemistry/ Immunofluorescence: CDC25C Antibody (JE59-53) [NBP3-32173] - Immunocytochemistry analysis of HeLa cells labeling CDC25C with Rabbit anti-CDC25C antibody (NBP3-32173) at 1/100 dilution.

Cells were fixed in 100% precooled methanol for 5 minutes at room temperature, then blocked with 1% BSA in 10% negative goat serum for 1 hour at room temperature. Cells were then incubated with Rabbit anti-CDC25C antibody (NBP3-32173) at 1/100 dilution in 1% BSA in PBST overnight at 4 ℃. Goat Anti-Rabbit IgG H&L (iFluor™ 488) was used as the secondary antibody at 1/1,000 dilution. PBS instead of the primary antibody was used as the secondary antibody only control. Nuclear DNA was labelled in blue with DAPI.

Applications for CDC25C Antibody (JE59-53)

Application
Recommended Usage

Flow Cytometry

1:1000

Immunocytochemistry/ Immunofluorescence

1:100

Immunohistochemistry-Paraffin

1:2000

Western Blot

1:1000

Formulation, Preparation, and Storage

Purification

Protein A purified

Formulation

1*TBS (pH7.4), 0.05% BSA and 40% Glycerol

Preservative

0.05% Sodium Azide

Concentration

1 mg/ml

Shipping

The product is shipped with polar packs. Upon receipt, store it immediately at the temperature recommended below.

Stability & Storage

Store at 4C short term. Aliquot and store at -20C long term. Avoid freeze-thaw cycles.

Background: CDC25C

Cdc25C is highly conserved during evolution and it plays a key role in the regulation of cell division. The encoded protein is a tyrosine phosphatase and belongs to the Cdc25 phosphatase family. It directs dephosphorylation of cyclin B-bound CDC2 and triggers entry into mitosis. It is also thought to suppress p53-induced growth arrest. Multiple alternatively spliced transcript variants of this gene have been described, however, the full-length nature of many of them is not known.

Long Name

Cell Division Cycle 25C

Alternate Names

CDC 25, CDC25, cell division cycle 25 homolog C (S. cerevisiae), cell division cycle 25 homolog C (S. pombe), cell division cycle 25C, Dual specificity phosphatase Cdc25C, EC 3.1.3.48, mitosis inducer CDC25, M-phase inducer phosphatase 3, phosphotyrosine phosphatase

Gene Symbol

CDC25C

Additional CDC25C Products

Product Documents for CDC25C Antibody (JE59-53)

Certificate of Analysis

To download a Certificate of Analysis, please enter a lot number in the search box below.

Product Specific Notices for CDC25C Antibody (JE59-53)

This product is for research use only and is not approved for use in humans or in clinical diagnosis. Primary Antibodies are guaranteed for 1 year from date of receipt.

Loading...
Loading...
Loading...
Loading...
Loading...