Skip to main content

CDC2/CDK1 Antibody (2G9)

Novus Biologicals, part of Bio-Techne | Catalog # NBP2-37626

Novus Biologicals, part of Bio-Techne
Catalog #
Availability
Size / Price
Qty
Loading...
NBP2-37626
NBP2-37626-0.025ml

Key Product Details

Species Reactivity

Human, Mouse, Rat, Monkey, Primate

Applications

ELISA, Immunocytochemistry/ Immunofluorescence, Immunohistochemistry, Immunohistochemistry-Paraffin, Western Blot

Label

Unconjugated

Antibody Source

Monoclonal Mouse IgG1 Clone # 2G9

Concentration

This product is unpurified. The exact concentration of antibody is not quantifiable.

Product Specifications

Immunogen

Purified recombinant fragment of human CDC2/CDK1 expressed in E. Coli.

Reactivity Notes

Mouse blocking reagent may be needed for IHC and ICC experiments to reduce high background signal. You can find these reagents under catalog numbers PK-2200-NB and MP-2400-NB. Please contact Technical Support if you have any Please note that this antibody is reactive to Mouse and derived from the same host, Mouse. Mouse-On-questions.

Clonality

Monoclonal

Host

Mouse

Isotype

IgG1

Theoretical MW

34 kDa.
Disclaimer note: The observed molecular weight of the protein may vary from the listed predicted molecular weight due to post translational modifications, post translation cleavages, relative charges, and other experimental factors.

Description

Novus Biologicals Mouse CDC2/CDK1 Antibody (2G9) (NBP2-37626) is a monoclonal antibody validated for use in IHC, WB, ELISA and ICC/IF. All Novus Biologicals antibodies are covered by our 100% guarantee.

Scientific Data Images for CDC2/CDK1 Antibody (2G9)

Western Blot: CDC2/CDK1 Antibody (2G9)BSA Free [NBP2-37626]

Western Blot: CDC2/CDK1 Antibody (2G9)BSA Free [NBP2-37626]

Western Blot: CDC2/CDK1 Antibody (2G9) [NBP2-37626] - Analysis using CDK1 mouse mAb against Hela (1), Jurkat (2), K562 (3), A431 (4), MCF-7 (5), RAW264.7 (6), NIN/3T3 (7), PC-12 (8), and Cos7 (9) cell lysate.
Immunocytochemistry/ Immunofluorescence: CDC2/CDK1 Antibody (2G9) - BSA Free [NBP2-37626]

Immunocytochemistry/ Immunofluorescence: CDC2/CDK1 Antibody (2G9) - BSA Free [NBP2-37626]

Immunocytochemistry/Immunofluorescence: CDC2/CDK1 Antibody (2G9) [NBP2-37626] - Analysis of Eca109 cells using CDK1 mouse mAb (green). Red: Actin filaments have been labeled with Alexa Fluor-555 phalloidin.
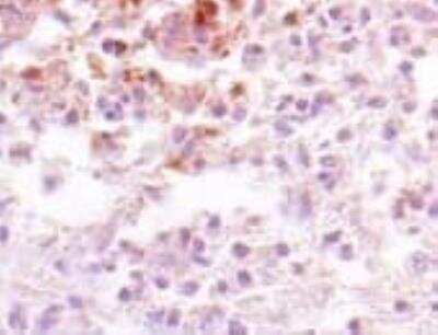
Immunohistochemistry-Paraffin: CDC2/CDK1 Antibody (2G9) - BSA Free [NBP2-37626]

Immunohistochemistry-Paraffin: CDC2/CDK1 Antibody (2G9) - BSA Free [NBP2-37626]

Immunohistochemistry-Paraffin: CDC2/CDK1 Antibody (2G9) [NBP2-37626] - Analysis of spinal cord tissue using CDC2/CDK1 antibody (2G9). Image from verified customer review.

Applications for CDC2/CDK1 Antibody (2G9)

Application
Recommended Usage

ELISA

1:10000

Immunocytochemistry/ Immunofluorescence

1:200 - 1:1000

Immunohistochemistry

1:200 - 1:1000

Immunohistochemistry-Paraffin

1:200-1:1000

Western Blot

1:500 - 1:2000

Reviewed Applications

Read 1 review rated 5 using NBP2-37626 in the following applications:

Formulation, Preparation, and Storage

Purification

Unpurified

Formulation

Ascites

Preservative

0.03% Sodium Azide

Concentration

This product is unpurified. The exact concentration of antibody is not quantifiable.

Shipping

The product is shipped with polar packs. Upon receipt, store it immediately at the temperature recommended below.

Stability & Storage

Store at 4C short term. Aliquot and store at -20C long term. Avoid freeze-thaw cycles.

Background: CDC2/CDK1

The cell division control protein cdc2, also known as cyclin-dependent kinase 1 (Cdk1) or p34/cdk1, plays a key role in the control of the eukaryotic cell cycle, where it is required for entry into S-phase and mitosis. Cdc2 exists as a complex with both cyclin A and cyclin B. The best characterized of these associations is the Cdc2 p34 cyclin B complex, which is required for the G2 to M phase transition. Activation of Cdc2 is controlled at several steps including cyclin binding and phosphorylation of threonine 161. However, the critical regulatory step in activating cdc2 during progression into mitosis appears to be dephosphorylation of Tyr15 and Tyr14. Phosphorylation at Tyr15 and inhibition of Cdc2 is carried out by WEE1 and MIK protein kinases while Tyr15 dephosphorylation and activation of Cdc2 is carried out by the cdc25 phosphatase. The isoform CDC2deltaT is found in breast cancer tissues. Furthermore, cdc2/Cdk1 is a key mediator of neuronal cell death in brain development and degeneration.

Long Name

Cell Division Cycle 2/Cyclin-dependent Kinase 1

Alternate Names

CDK1

Gene Symbol

CDK1

Additional CDC2/CDK1 Products

Product Documents for CDC2/CDK1 Antibody (2G9)

Certificate of Analysis

To download a Certificate of Analysis, please enter a lot number in the search box below.

Product Specific Notices for CDC2/CDK1 Antibody (2G9)

This product is for research use only and is not approved for use in humans or in clinical diagnosis. Primary Antibodies are guaranteed for 1 year from date of receipt.

Loading...
Loading...
Loading...
Loading...