CD99-L2 Antibody - BSA Free
Novus Biologicals, part of Bio-Techne | Catalog # NBP1-85737
Key Product Details
Species Reactivity
Human
Applications
Immunohistochemistry, Immunohistochemistry-Paraffin, Western Blot, Immunocytochemistry/ Immunofluorescence
Label
Unconjugated
Antibody Source
Polyclonal Rabbit IgG
Format
BSA Free
Concentration
Concentrations vary lot to lot. See vial label for concentration. If unlisted please contact technical services.
Product Specifications
Immunogen
This antibody was developed against Recombinant Protein corresponding to amino acids: FDDFNLEDAVKETSSVKQPWDHTTTTTTNRPGTTRAPAKPPGSGLDLADALDDQDDGRRKPGIGGRERWNHVTTTTKRPVTTRAPANTLGN
Clonality
Polyclonal
Host
Rabbit
Isotype
IgG
Scientific Data Images for CD99-L2 Antibody - BSA Free
Immunocytochemistry/ Immunofluorescence: CD99-L2 Antibody [NBP1-85737]
Immunocytochemistry/Immunofluorescence: CD99-L2 Antibody [NBP1-85737] - Staining of human cell line A-431 shows localization to plasma membrane. Antibody staining is shown in green.Immunohistochemistry-Paraffin: CD99-L2 Antibody - BSA Free [NBP1-85737]
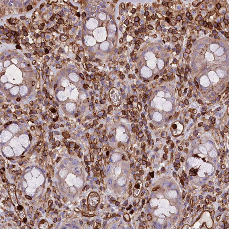
Staining of human rectum shows strong membranous positivity in lymphoid cells.Immunohistochemistry-Paraffin: CD99-L2 Antibody - BSA Free [NBP1-85737]
Staining of human fallopian tube shows strong positivity in microvilli in glandular cells.Applications for CD99-L2 Antibody - BSA Free
Application
Recommended Usage
Immunocytochemistry/ Immunofluorescence
0.25-2 ug/ml
Immunohistochemistry
1:200 - 1:500
Immunohistochemistry-Paraffin
1:200 - 1:500
Western Blot
0.04-0.4 ug/ml
Application Notes
IHC-Paraffin, HIER pH 6 retrieval is recommended. ICC/IF, Fixation/Permeabilization: PFA/Triton X-100
Formulation, Preparation, and Storage
Purification
Affinity purified
Formulation
PBS (pH 7.2) and 40% Glycerol
Format
BSA Free
Preservative
0.02% Sodium Azide
Concentration
Concentrations vary lot to lot. See vial label for concentration. If unlisted please contact technical services.
Shipping
The product is shipped with polar packs. Upon receipt, store it immediately at the temperature recommended below.
Stability & Storage
Store at 4C short term. Aliquot and store at -20C long term. Avoid freeze-thaw cycles.
Background: CD99-L2
Long Name
CD99 Molecule-like 2
Alternate Names
CD99B, CD99L2, MIC2L1
Gene Symbol
CD99L2
Additional CD99-L2 Products
Product Documents for CD99-L2 Antibody - BSA Free
Product Specific Notices for CD99-L2 Antibody - BSA Free
This product is for research use only and is not approved for use in humans or in clinical diagnosis. Primary Antibodies are guaranteed for 1 year from date of receipt.
Loading...
Loading...
Loading...
Loading...