Skip to main content

CD97 Antibody - BSA Free

Novus Biologicals, part of Bio-Techne | Catalog # NBP2-24552

Novus Biologicals, part of Bio-Techne
Catalog #
Availability
Size / Price
Qty
Loading...
NBP2-24552SS
NBP2-24552

Key Product Details

Species Reactivity

Validated:

Human, Mouse, Primate

Cited:

Human

Predicted:

Chimpanzee (100%), Opossum (100%), Rat (100%), Rhesus Macaque (100%). Backed by our 100% Guarantee.

Applications

Validated:

Immunohistochemistry, Immunohistochemistry-Paraffin, Western Blot, Simple Western

Cited:

Western Blot

Label

Unconjugated

Antibody Source

Polyclonal Rabbit IgG

Format

BSA Free

Concentration

0.5 mg/ml

Product Specifications

Immunogen

A portion of amino acids 220-270 of human Leukocyte Antigen CD97 was used as the immunogen

Clonality

Polyclonal

Host

Rabbit

Isotype

IgG

Description

Novus Biologicals Rabbit CD97 Antibody - BSA Free (NBP2-24552) is a polyclonal antibody validated for use in IHC, WB and Simple Western. Anti-CD97 Antibody: Cited in 2 publications. All Novus Biologicals antibodies are covered by our 100% guarantee.

Scientific Data Images for CD97 Antibody - BSA Free

Western Blot: CD97 Antibody [NBP2-24552]

Western Blot: CD97 Antibody [NBP2-24552]

Western Blot: CD97 Antibody [NBP2-24552] - Analysis of human Leukocyte Antigen CD97 in K562 cell lysate in the 1) absence and 2) presence of immunizing peptide, and 3) NIH 3T3 cell lysate using NBP2-24552 at 4 ug/ml.
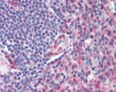
Immunohistochemistry-Paraffin: CD97 Antibody [NBP2-24552]

Immunohistochemistry-Paraffin: CD97 Antibody [NBP2-24552]

Immunohistochemistry-Paraffin: CD97 Antibody [NBP2-24552] - IHC analysis of human spleen using NBP2-24552 at 10 ug/ml.
Simple Western: CD97 Antibody [NBP2-24552]

Simple Western: CD97 Antibody [NBP2-24552]

Simple Western: CD97 Antibody [NBP2-24552] - Simple Western lane view shows a specific band for CD97 in 0.5 mg/ml of NIH-3T3 lysate. This experiment was performed under reducing conditions using the 12-230 kDa separation system.

Applications for CD97 Antibody - BSA Free

Application
Recommended Usage

Immunohistochemistry-Paraffin

10 ug/ml

Simple Western

1:10

Western Blot

3-5 ug/ml
Application Notes
In Simple Western only 10 - 15 uL of the recommended dilution is used per data point.
See Simple Western Antibody Database for Simple Western validation: Tested in NIH-3T3 lysate 0.5 mg/mL, separated by Size, antibody dilution of 1:10, apparent MW was 81 kDa.

Formulation, Preparation, and Storage

Purification

Immunogen affinity purified

Formulation

PBS and 0.2% Gelatin

Format

BSA Free

Preservative

0.05% Sodium Azide

Concentration

0.5 mg/ml

Shipping

The product is shipped with polar packs. Upon receipt, store it immediately at the temperature recommended below.

Stability & Storage

Store at 4C short term. Aliquot and store at -20C long term. Avoid freeze-thaw cycles.

Background: CD97

CD97, a CD55 Receptor, is a leukocyte antigen located on most activated leukocytes. CD97 is highly homologous to EMR2 with five EGF-like domains in the N-terminal extracellular domain, suggesting that it may be involved in cell signaling as well as in cell adhesion (Hamann et al., 1996). Two variants are produced by alternative splicing, where the shorter form lacks exons 5 and 6 and reduces the number of EGF-like domains from 5 to 3, compared to the full-length isoform. CD97 is associated with with the activated lesions of multiple sclerosis. CD97 expression is also implicated in the dedifferentiation of colon and thyroid tumors. CD97 is expressed abundantly in cells of hematopoietic origin and is markedly upregulated on activated T and B cells. ESTs have been isolated from a wide variety of tissue libraries.

Alternate Names

CD97

Gene Symbol

ADGRE5

Additional CD97 Products

Product Documents for CD97 Antibody - BSA Free

Certificate of Analysis

To download a Certificate of Analysis, please enter a lot number in the search box below.

Product Specific Notices for CD97 Antibody - BSA Free

This product is for research use only and is not approved for use in humans or in clinical diagnosis. Primary Antibodies are guaranteed for 1 year from date of receipt.

Loading...
Loading...
Loading...
Loading...