Skip to main content

CD90/Thy1 Antibody - BSA Free

Novus Biologicals, part of Bio-Techne | Catalog # NBP1-85739

Novus Biologicals, part of Bio-Techne
Catalog #
Availability
Size / Price
Qty
Loading...
NBP1-85739
NBP1-85739-25ul

Key Product Details

Species Reactivity

Human

Applications

Immunohistochemistry, Immunohistochemistry-Paraffin, Immunocytochemistry/ Immunofluorescence

Label

Unconjugated

Antibody Source

Polyclonal Rabbit IgG

Format

BSA Free

Concentration

Concentrations vary lot to lot. See vial label for concentration. If unlisted please contact technical services.

Product Specifications

Immunogen

This antibody was developed against Recombinant Protein corresponding to amino acids: VTSLTACLVDQSLRLDCRHENTSSSPIQYEFSLTRETKKHVLFGTVGVPEHTYRSRTNFTSKYNMKVLYLSAFTSKDEGTYTCALHHSGHSPPISSQNVTVLRDKLVKCEGISLLAQNTSWL

Marker

Mesenchymal Cell Marker

Clonality

Polyclonal

Host

Rabbit

Isotype

IgG

Scientific Data Images for CD90/Thy1 Antibody - BSA Free

Immunocytochemistry/ Immunofluorescence: CD90/Thy1 Antibody [NBP1-85739]

Immunocytochemistry/ Immunofluorescence: CD90/Thy1 Antibody [NBP1-85739]

Immunocytochemistry/Immunofluorescence: CD90/Thy1 Antibody [NBP1-85739] - Staining of human cell line U-251 MG shows localization to nucleus and plasma membrane. Antibody staining is shown in green.
CD90/Thy1 Antibody

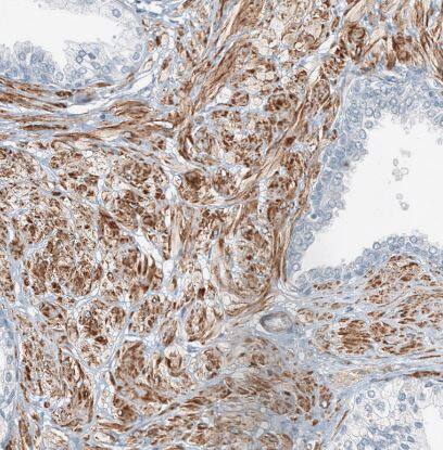
Immunohistochemistry-Paraffin: CD90/Thy1 Antibody [NBP1-85739] -

Immunohistochemistry-Paraffin: CD90/Thy1 Antibody [NBP1-85739] Staining of human prostate shows strong cytoplasmic positivity in smooth muscle cells.
CD90/Thy1 Antibody

Immunohistochemistry-Paraffin: CD90/Thy1 Antibody [NBP1-85739] -

Immunohistochemistry-Paraffin: CD90/Thy1 Antibody [NBP1-85739] -Staining of human skeletal muscle shows weak positivity in myocytes.

Applications for CD90/Thy1 Antibody - BSA Free

Application
Recommended Usage

Immunocytochemistry/ Immunofluorescence

0.25-2 ug/ml

Immunohistochemistry

1:50 - 1:200

Immunohistochemistry-Paraffin

1:50 - 1:200
Application Notes
For IHC-Paraffin, HIER pH 6 retrieval is recommended. ICC/IF Fixation Permeabilization: Use PFA/Triton X-100.

Formulation, Preparation, and Storage

Purification

Affinity purified

Formulation

PBS (pH 7.2) and 40% Glycerol

Format

BSA Free

Preservative

0.02% Sodium Azide

Concentration

Concentrations vary lot to lot. See vial label for concentration. If unlisted please contact technical services.

Shipping

The product is shipped with polar packs. Upon receipt, store it immediately at the temperature recommended below.

Stability & Storage

Store at 4C short term. Aliquot and store at -20C long term. Avoid freeze-thaw cycles.

Background: CD90/Thy1

CD90 (Thy1) antigen is a GPI linked glycoprotein member of the Immunoglobulin superfamily. It is expressed on murine T cells, thymocytes, neural cells, cells of granulocytic lineage, early hematopoietic progenitors, fibroblasts, neurons and Kupffer's cells. Thy1 may play a role in cell to cell or cell to ligand interactions during synaptogenesis and other events in the brain. It is found in most mouse strains except AKR/J, A, Thy1.1 and B6.PL (74NS) expressing Thy1.1.

Alternate Names

CD90, Thy1

Entrez Gene IDs

7070 (Human)

Gene Symbol

THY1

UniProt

Additional CD90/Thy1 Products

Product Documents for CD90/Thy1 Antibody - BSA Free

Certificate of Analysis

To download a Certificate of Analysis, please enter a lot number in the search box below.

Product Specific Notices for CD90/Thy1 Antibody - BSA Free

This product is for research use only and is not approved for use in humans or in clinical diagnosis. Primary Antibodies are guaranteed for 1 year from date of receipt.

Loading...
Loading...
Loading...
Loading...
Loading...