Skip to main content

CD9 Antibody (SA35-08)

Novus Biologicals, part of Bio-Techne | Catalog # NBP2-67310

Recombinant Monoclonal Antibody.
Novus Biologicals, part of Bio-Techne
Catalog #
Availability
Size / Price
Qty
Loading...
NBP2-67310

Key Product Details

Validated by

Biological Validation

Species Reactivity

Validated:

Human, Mouse, Rat

Cited:

Human

Applications

Validated:

Immunohistochemistry, Immunohistochemistry-Paraffin, Western Blot, Flow Cytometry, Immunocytochemistry/ Immunofluorescence, Immunoprecipitation

Cited:

Western Blot, Westen Blot

Label

Unconjugated

Antibody Source

Recombinant Monoclonal Rabbit IgG Clone # SA35-08 expressed in HEK293

Concentration

1 mg/ml

Product Specifications

Immunogen

Synthetic peptide within Human CD9 aa 179-228 / 228. (SwissProt: P21926 Human; SwissProt: P40240 Mouse; SwissProt: P40241 Rat)

Epitope

cytoplasmic

Localization

Cell membrane, Membrane

Clonality

Monoclonal

Host

Rabbit

Isotype

IgG

Description

Novus Biologicals Rabbit CD9 Antibody (SA35-08) (NBP2-67310) is a recombinant monoclonal antibody validated for use in IHC, WB, Flow, ICC/IF and IP. Anti-CD9 Antibody: Cited in 2 publications. All Novus Biologicals antibodies are covered by our 100% guarantee.

Scientific Data Images for CD9 Antibody (SA35-08)

Western Blot: CD9 Antibody (SA35-08) [NBP2-67310]

Western Blot: CD9 Antibody (SA35-08) [NBP2-67310]

Western Blot: CD9 Antibody (SA35-08) [NBP2-67310] - Exosome or whole cell lysates (WCL) sample from MDA-MB-231 cells was loaded with 10 ug/lane. 10% SDS-PAGE. CD9 Antibody (NBP2-67310) was used for primary antibody: 1:1000, 4C, overnight. Image from verified customer review.
Immunocytochemistry/ Immunofluorescence: CD9 Antibody (SA35-08) [NBP2-67310]

Immunocytochemistry/ Immunofluorescence: CD9 Antibody (SA35-08) [NBP2-67310]

Immunocytochemistry/Immunofluorescence: CD9 Antibody (SA35-08) [NBP2-67310] - Staining CD9 in SW480 cells (green). The nuclear counter stain is DAPI (blue). Cells were fixed in paraformaldehyde, permeabilised with 0.25% Triton X100/PBS.
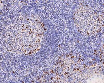
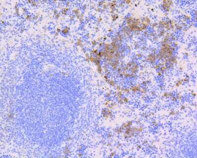
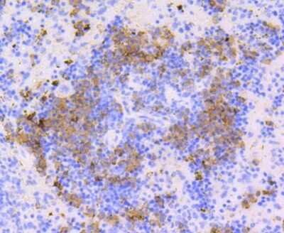
Immunohistochemistry-Paraffin: CD9 Antibody (SA35-08) [NBP2-67310]

Immunohistochemistry-Paraffin: CD9 Antibody (SA35-08) [NBP2-67310]

Immunohistochemistry-Paraffin: CD9 Antibody (SA35-08) [NBP2-67310] - Immunohistochemical analysis of paraffin-embedded mouse spleen tissue using anti-CD9 antibody. The section was pre-treated using heat mediated antigen retrieval with Tris-EDTA buffer (pH 8.0-8.4) for 20 minutes. The tissues were blocked in 5% BSA for 30 m

Applications for CD9 Antibody (SA35-08)

Application
Recommended Usage

Flow Cytometry

1:50

Immunocytochemistry/ Immunofluorescence

1:50-1:200

Immunohistochemistry-Paraffin

1:50-1:200

Western Blot

1:500-1:1000

Reviewed Applications

Read 1 review rated 5 using NBP2-67310 in the following applications:

Formulation, Preparation, and Storage

Purification

Protein A purified

Formulation

TBS (pH7.4), 0.05% BSA, 40% Glycerol

Preservative

0.05% Sodium Azide

Concentration

1 mg/ml

Shipping

The product is shipped with polar packs. Upon receipt, store it immediately at the temperature recommended below.

Stability & Storage

Store at 4C short term. Aliquot and store at -20C long term. Avoid freeze-thaw cycles.

Background: CD9

CD9 antigen is a glycoprotein expressed on the surface of developing B lymphocytes, platelets, monocytes, eosinophils, basophil, stimulated T lymphocytes and by neurons and glial cells in the peripheral nervous system. It belongs to a family of membrane proteins termed tetraspanins which transverse the membrane four times. In pre B cells and platelets, CD9 antigen regulates cell activation and aggregation possibly through an association with the integrin CD41 / CD61 (GPIIb / GPIIIa). It also regulates cell motility in a variety of cell lines, and appears to be an important regulator of Schwann cell behavior in peripheral nerve.

Alternate Names

CD9, DRAP-27, MIC3, p24, TSPAN29

Gene Symbol

CD9

Additional CD9 Products

Product Documents for CD9 Antibody (SA35-08)

Certificate of Analysis

To download a Certificate of Analysis, please enter a lot number in the search box below.

Product Specific Notices for CD9 Antibody (SA35-08)

This product is for research use only and is not approved for use in humans or in clinical diagnosis. Primary Antibodies are guaranteed for 1 year from date of receipt.

Loading...
Loading...
Loading...
Loading...
Loading...