Skip to main content

CD82/Kai-1 Antibody - BSA Free

Novus Biologicals, part of Bio-Techne | Catalog # NBP1-76775

Novus Biologicals, part of Bio-Techne

Key Product Details

Species Reactivity

Validated:

Human, Mouse, Rat

Cited:

Human, Mouse

Applications

Validated:

Immunohistochemistry, Immunohistochemistry-Paraffin, Western Blot, ELISA, Immunocytochemistry/ Immunofluorescence, Immunoprecipitation

Cited:

Western Blot, Immunoprecipitation

Label

Unconjugated

Antibody Source

Polyclonal Rabbit IgG

Format

BSA Free

Concentration

1 mg/ml

Product Specifications

Immunogen

Antibody was raised against a 15 amino acid synthetic peptide from near the carboxy terminus of human KAI1. The immunogen is located within the last 50 amino acids of KAI1. Amino Acid Squence: CRHVHSEDYSKVPKY

Clonality

Polyclonal

Host

Rabbit

Isotype

IgG

Description

Novus Biologicals Rabbit CD82/Kai-1 Antibody - BSA Free (NBP1-76775) is a polyclonal antibody validated for use in IHC, WB, ELISA, ICC/IF and IP. Anti-CD82/Kai-1 Antibody: Cited in 2 publications. All Novus Biologicals antibodies are covered by our 100% guarantee.

Scientific Data Images for CD82/Kai-1 Antibody - BSA Free

Western Blot: CD82/Kai-1 AntibodyBSA Free [NBP1-76775]

Western Blot: CD82/Kai-1 AntibodyBSA Free [NBP1-76775]

Western Blot: CD82/Kai-1 Antibody [NBP1-76775] - A549 cell lysate with CD82 antibody at (A) 0.5 and (B) 1 ug/ml.
CD82/Kai-1 Antibody - BSA Free

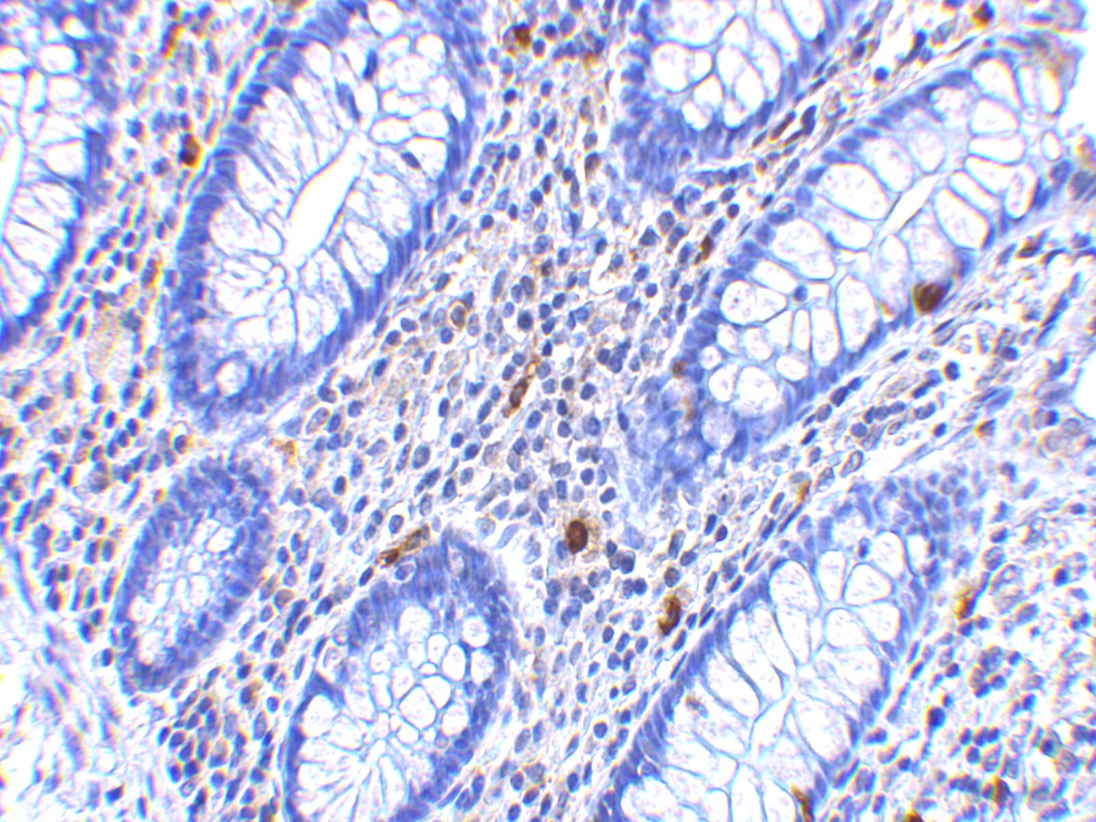
Immunohistochemistry: CD82/Kai-1 Antibody - BSA Free [NBP1-76775] -

Immunohistochemistry: CD82/Kai-1 Antibody - BSA Free [NBP1-76775] - Immunohistochemistry of CD82/Kai-1 in human colon tissue with CD82/Kai-1 antibody at 2.5 u/mL.
CD82/Kai-1 Antibody - BSA Free

Immunocytochemistry/ Immunofluorescence: CD82/Kai-1 Antibody - BSA Free [NBP1-76775] -

Immunocytochemistry/ Immunofluorescence: CD82/Kai-1 Antibody - BSA Free [NBP1-76775] - Immunofluorescence of CD82/Kai-1 in Human Colon cells with CD82/Kai-1 antibody at 20 u/mL.

Applications for CD82/Kai-1 Antibody - BSA Free

Application
Recommended Usage

ELISA

1:100-1:2000

Immunocytochemistry/ Immunofluorescence

20 ug/mL

Immunohistochemistry

2.5 ug/ml

Immunohistochemistry-Paraffin

2.5 ug/ml

Western Blot

0.5-1 ug/ml
Application Notes
Use in IP reported in scientific publication (PMID: 32573489).

Formulation, Preparation, and Storage

Purification

Peptide affinity purified

Formulation

PBS

Format

BSA Free

Preservative

0.02% Sodium Azide

Concentration

1 mg/ml

Shipping

The product is shipped with polar packs. Upon receipt, store it immediately at the temperature recommended below.

Stability & Storage

Store at 4C short term. Aliquot and store at -20C long term. Avoid freeze-thaw cycles.

Background: CD82/Kai-1

KAI1 was initially identified from a T-cell activation study as a four-transmembrane protein that plays an accessory role in T-cell activation, and was later determined to act as a cancer metastasis suppressor gene. This protein is ubiquitously expressed at moderate to high levels in most tissues, but its expression is downregulated during tumor progression. The loss of KAI1 and p53 is associated with poor survival for prostate and other cancer patients. Recently, KAI1 was found to interact with DARC, the Duffy antigen for chemokines using a yeast two hybrid screen. It is thought that tumor cells dislodged from the primary tumor and expressing KAI1 interact with DARC proteins expressed on vascular cells, transmitting a senescent signal to the tumor cells, while tumor cells that have lost KAI1 expression can proliferate and potentially give rise to metastases. At least two isoforms of KAI1 are known to exist.

Alternate Names

CD82, IA4, KAI1, SAR2, ST6, TSPAN27

Entrez Gene IDs

3732 (Human)

Gene Symbol

CD82

UniProt

Additional CD82/Kai-1 Products

Product Documents for CD82/Kai-1 Antibody - BSA Free

Certificate of Analysis

To download a Certificate of Analysis, please enter a lot number in the search box below.

Product Specific Notices for CD82/Kai-1 Antibody - BSA Free

This product is for research use only and is not approved for use in humans or in clinical diagnosis. Primary Antibodies are guaranteed for 1 year from date of receipt.

Loading...
Loading...
Loading...
Loading...