Skip to main content

CD81 Antibody (SN206-01)

Novus Biologicals, part of Bio-Techne | Catalog # NBP2-67722

Recombinant Monoclonal Antibody.
Novus Biologicals, part of Bio-Techne
Catalog #
Availability
Size / Price
Qty
Loading...
NBP2-67722

Key Product Details

Species Reactivity

Validated:

Human, Mouse, Rat

Cited:

Mouse, Rat

Applications

Validated:

Immunohistochemistry, Immunohistochemistry-Paraffin, Western Blot, Flow Cytometry, Immunocytochemistry/ Immunofluorescence

Cited:

Immunohistochemistry-Frozen, Western Blot

Label

Unconjugated

Antibody Source

Recombinant Monoclonal Rabbit IgG Clone # SN206-01 expressed in HEK293

Concentration

1 mg/ml

Product Specifications

Immunogen

Synthetic peptide within Human CD81 aa 161-210 / 236. (SwissProt: P60033 Human; SwissProt: P35762 Mouse; SwissProt: Q62745 Rat)

Localization

Membrane.

Clonality

Monoclonal

Host

Rabbit

Isotype

IgG

Description

Novus Biologicals Rabbit CD81 Antibody (SN206-01) (NBP2-67722) is a recombinant monoclonal antibody validated for use in IHC, WB, Flow and ICC/IF. Anti-CD81 Antibody: Cited in 3 publications. All Novus Biologicals antibodies are covered by our 100% guarantee.

Scientific Data Images for CD81 Antibody (SN206-01)

Western Blot: CD81 Antibody (SN206-01) [NBP2-67722]

Western Blot: CD81 Antibody (SN206-01) [NBP2-67722]

Western Blot: CD81 Antibody (SN206-01) [NBP2-67722] - Analysis of TAPA1/CD81 on different lysates. Proteins were transferred to a PVDF membrane and blocked with 5% BSA in PBS for 1 hour at room temperature. The primary antibody (1/500) was used in 5% BSA at room temperature for 2 hours. Goat Anti-Rabbit IgG - HRP Secondary Antibody at 1:5,000 dilution was used for 1 hour at room temperature.Positive control: Lane 1: PC-12 cell lysateLane 2: JAR cell lysate
Immunocytochemistry/ Immunofluorescence: CD81 Antibody (SN206-01) [NBP2-67722]

Immunocytochemistry/ Immunofluorescence: CD81 Antibody (SN206-01) [NBP2-67722]

Immunocytochemistry/Immunofluorescence: CD81 Antibody (SN206-01) [NBP2-67722] - Staining CD81 in PC-12 cells (green). The nuclear counter stain is DAPI (blue). Cells were fixed in paraformaldehyde, permeabilised with 0.25% Triton X100/PBS.
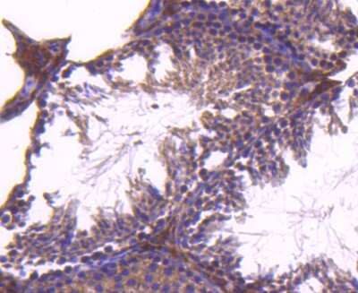
Immunohistochemistry-Paraffin: CD81 Antibody (SN206-01) [NBP2-67722]

Immunohistochemistry-Paraffin: CD81 Antibody (SN206-01) [NBP2-67722]

Immunohistochemistry-Paraffin: CD81 Antibody (SN206-01) [NBP2-67722] - Analysis of paraffin-embedded mouse testis tissue using anti-CD81 antibody. Counter stained with hematoxylin.

Applications for CD81 Antibody (SN206-01)

Application
Recommended Usage

Flow Cytometry

1:50-1:100

Immunocytochemistry/ Immunofluorescence

1:100-1:500

Immunohistochemistry-Paraffin

1:50-1:200

Western Blot

1:500-1:2000

Reviewed Applications

Read 1 review rated 4 using NBP2-67722 in the following applications:

Formulation, Preparation, and Storage

Purification

Protein A purified

Formulation

TBS (pH7.4), 0.05% BSA, 40% Glycerol

Preservative

0.05% Sodium Azide

Concentration

1 mg/ml

Shipping

The product is shipped with polar packs. Upon receipt, store it immediately at the temperature recommended below.

Stability & Storage

Store at 4C short term. Aliquot and store at -20C long term. Avoid freeze-thaw cycles.

Background: CD81

CD81/TAPA-1 is an integral membrane protein expressed on a variety of cell types, and has a high degree of sequence homology between human and mouse. (1) CD81 is expressed on thymic stromal cells where it plays an important role in the transition of gamma delta + T cells to more mature T cells with alpha beta T cell receptors. (2) Immunohistochemical staining has revealed that its expression is localized to the subcapsular region of the thymus and, specifically, on cells that have distinct clustering patterns. It has been speculated that the ligand for CD81 is the pre-T cell receptor, which is composed of a TCR beta chain and glycoprotein pT alpha. (2) The monoclonal antibody 2F7 can block thymocyte interaction with CD81 in vitro. (2)

Alternate Names

CD81, TAPA-1, TSPAN28

Gene Symbol

CD81

Additional CD81 Products

Product Documents for CD81 Antibody (SN206-01)

Certificate of Analysis

To download a Certificate of Analysis, please enter a lot number in the search box below.

Product Specific Notices for CD81 Antibody (SN206-01)

This product is for research use only and is not approved for use in humans or in clinical diagnosis. Primary Antibodies are guaranteed for 1 year from date of receipt.

Loading...
Loading...
Loading...
Loading...
Loading...