Skip to main content

CD8 Antibody (53-6.7) - BSA Free

Novus Biologicals, part of Bio-Techne | Catalog # NBP1-49045

Novus Biologicals, part of Bio-Techne
Catalog #
Availability
Size / Price
Qty
Loading...
NBP1-49045SS
NBP1-49045

Key Product Details

Species Reactivity

Validated:

Mouse, Rat

Cited:

Human, Mouse

Applications

Validated:

Immunohistochemistry, Immunohistochemistry-Paraffin, Immunohistochemistry-Frozen, Flow Cytometry, Immunocytochemistry/ Immunofluorescence, Immunoprecipitation, Cell depletion, Inhibition of T Cell Function, CyTOF-ready

Cited:

Immunohistochemistry, Immunohistochemistry-Paraffin, Immunohistochemistry-Frozen, Flow Cytometry, Immunocytochemistry/ Immunofluorescence, IF/IHC

Label

Unconjugated

Antibody Source

Monoclonal Rat IgG2a Kappa Clone # 53-6.7

Format

BSA Free

Concentration

1 mg/ml

Product Specifications

Immunogen

CD8 Antibody (53-6.7) was developed against mouse thymus or spleen.

Localization

Most thymocytes, T cell subset, some NK cells

Clonality

Monoclonal

Host

Rat

Isotype

IgG2a Kappa

Theoretical MW

27 kDa.
Disclaimer note: The observed molecular weight of the protein may vary from the listed predicted molecular weight due to post translational modifications, post translation cleavages, relative charges, and other experimental factors.

Description

This CD8 alpha antibody serves as an effective marker of cytotoxic T lymphocytes by binding to the CD8 co-receptor expressed on the cell surface of cytotoxic T cells, recognizing the topological domain of CD8 alpha. Because this CD8 antibody is made to the alpha chain it will recognize both the CD8 alpha - CD8 beta heterodimer, the most common form, as well as the CD8 alpha - CD8 alpha homodimer. The CD8A gene is also expressed in natural killer cells (NK cells), dendritic cells and cortical thymocytes making the CD8 alpha antibody a potential marker for these cells.

Scientific Data Images for CD8 Antibody (53-6.7) - BSA Free

Flow Cytometry: CD8 Antibody (53-6.7) - BSA Free [NBP1-49045]

Flow Cytometry: CD8 Antibody (53-6.7) - BSA Free [NBP1-49045]

Flow Cytometry: CD8 Antibody (53-6.7) [NBP1-49045] - CD8 alpha Antibody (53-6.7) [NBP1-49045] - Analysis of lymph nodes by multiple staining.
Immunohistochemistry-Paraffin: CD8 Antibody (53-6.7) - BSA Free [NBP1-49045]

Immunohistochemistry-Paraffin: CD8 Antibody (53-6.7) - BSA Free [NBP1-49045]

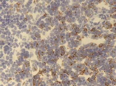
Immunohistochemistry-Paraffin: CD8 Antibody (53-6.7) [NBP1-49045] - CD8 alpha Antibody (53-6.7) [NBP1-49045] - CD8 alpha expression in mouse spleen tissue using anti-CD8 alpha antibody. Image from verified customer review.
Immunocytochemistry/ Immunofluorescence: CD8 Antibody (53-6.7) - BSA Free [NBP1-49045]

Immunocytochemistry/ Immunofluorescence: CD8 Antibody (53-6.7) - BSA Free [NBP1-49045]

Immunocytochemistry/Immunofluorescence: CD8 Antibody (53-6.7) [NBP1-49045] - CD8 alpha Antibody (53-6.7) [NBP1-49045] - Analysis of bone marrow tissue by single and multiple staining.

Applications for CD8 Antibody (53-6.7) - BSA Free

Application
Recommended Usage

Flow Cytometry

1:10 - 1:1000

Immunocytochemistry/ Immunofluorescence

1:10-1:500. Use reported in scientific literature

Immunohistochemistry

1:10-1:500

Immunohistochemistry-Frozen

1:10-1:500

Immunohistochemistry-Paraffin

1:10-1:500

Immunoprecipitation

1:10 - 1:500. Use reported in scientific literature (PMID 24565643)
Application Notes
Each lot of this CD8a antibody is quality control tested by immunofluorescent staining with flow cytometric analysis. For immunofluorescent staining, the suggested use of this reagent is <0.25 ug/10^6 cells in 100 uL volume. It is recommended that the reagent be titrated for optimal performance for each application. The 53-6.7 antibody has been reported to block antigen presentation via MHC class I and inhibit T cell responses to IL-2. This antibody has also been used for depletion of CD8a+ cells. Additional reported applications (for the relevant formats) include: immunoprecipitation, in vivo and in vitro cell depletion, inhibition of CD8 T cell proliferation, blocking of cytotoxicity, and immunohistochemical staining of both acetone-fixed frozen sections and zinc-fixed paraffin-embedded sections.

Reviewed Applications

Read 3 reviews rated 3.7 using NBP1-49045 in the following applications:

Formulation, Preparation, and Storage

Purification

Protein A or G purified

Formulation

PBS

Format

BSA Free

Preservative

0.02% Sodium Azide

Concentration

1 mg/ml

Shipping

The product is shipped with polar packs. Upon receipt, store it immediately at the temperature recommended below.

Stability & Storage

Store at 4C short term. Aliquot and store at -20C long term. Avoid freeze-thaw cycles.

Background: CD8

CD8, also known as Leu-2 or T8 in human and Lyt2 or Lyt3 in mouse, is a cell surface glycoprotein belonging to the immunoglobulin supergene family (1, 2). CD8 is expressed on cytotoxic T-lymphocytes (T-cells), most thymocytes, between 35-45% of peripheral blood lymphocytes, and a population of natural killer (NK) cells (1, 2). The CD8 molecule consists of disulfide-linked alpha (alpha) and beta (beta) chains that present on T-cells as either CD8alphaalpha homodimers or CD8alphabeta heterodimers (1, 3). Both alpha and beta chains consist of a signaling sequence, an extracellular Ig-like domain, a membrane proximal stalk region, a transmembrane domain, and a cytoplasmic tail (3). Human CD8alpha is processed as 235 amino acids (aa) in length with a theoretical molecular weight of ~26 kDa, while mouse CD8alpha is 247 aa and has a theoretical molecular weight of 27.5 kDa (4, 5). Functionally, CD8 acts as an antigen coreceptor on cytotoxic T-cells and interacts with the major histocompatibility complex (MHC) class I molecules on antigen presenting cells (APCs), mediating cell-cell interactions within the immune system. Conversely, CD4 molecules interact with antigens presented on MHC class II molecules and are activated to become helper T-cells (TH) (1,2). Interestingly, thymocytes can transiently express both CD4 and CD8 during the maturation process (2). Furthermore, the cytoplasmic tail of CD8 has a Lck (lymphocyte-specific protein tyrosine kinase) binding domain where Lck interacts with CD8, initiating a phosphorylation cascade that activates transcription factors and promotes T-cell activation (6). More specifically, CD8alphabeta functions as a T-cell co-receptor, while CD8alphaalpha promotes T-cell survival and differentiation (7).

Given its role in the immune system, CD8-deficiency in T-cells is a hallmark of many diseases and pathologies (8-10). Specifically, CD8+ T-cell deficiency is prevalent in chronic autoimmune diseases including multiple sclerosis, rheumatoid arthritis, ulcerative colitis, Crohn's disease, type 1 diabetes mellitus, and Graves' disease (8). Furthermore, cancers or chronic infection can lead to CD8 T-cell exhaustion as the continual antigen presentation and inflammatory signals eventually cause the CD8+ T-cells to lose functionality (9, 10). However, animal models and clinical studies have suggested that T-cells are capable of being reinvigorated using inhibitory receptor blockade resulting in better disease outcomes and these exhausted T-cells may be a potential therapeutic target (9, 10).

Alternative names for CD8 includes CD antigen: CD8a, CD8 antigen, alpha polypeptide (p32), CD8a molecule, CD8A, Leu2 T-lymphocyte antigen, LEU2, MAL, OKT8 T-cell antigen, p32, T cell co-receptor, T8 T-cell antigen, T-cell antigen Leu2, T-cell surface glycoprotein CD8 alpha chain, and T-lymphocyte differentiation antigen T8/Leu-2.

References

1. Littman D. R. (1987). The structure of the CD4 and CD8 genes. Annual review of immunology. https://doi.org/10.1146/annurev.iy.05.040187.003021

2. Naeim F. (2008). Chapter 2- Principles of Immunophenotyping. Hematopathology. https://doi.org/10.1016/B978-0-12-370607-2.00002-8.

3. Gao, G. F., & Jakobsen, B. K. (2000). Molecular interactions of coreceptor CD8 and MHC class I: the molecular basis for functional coordination with the T-cell receptor. Immunology today. https://doi.org/10.1016/s0167-5699(00)01750-3

4. UniProt (P01732)

5. UniProt (P01731)

6. Kappes D. J. (2007). CD4 and CD8: hogging all the Lck. Immunity. https://doi.org/10.1016/j.immuni.2007.11.002

7. Gangadharan, D., & Cheroutre, H. (2004). The CD8 isoform CD8alphaalpha is not a functional homologue of the TCR co-receptor CD8alphabeta. Current opinion in immunology. https://doi.org/10.1016/j.coi.2004.03.015

8. Pender M. P. (2012). CD8+ T-Cell Deficiency, Epstein-Barr Virus Infection, Vitamin D Deficiency, and Steps to Autoimmunity: A Unifying Hypothesis. Autoimmune diseases. https://doi.org/10.1155/2012/189096

9. Kurachi M. (2019). CD8+ T cell exhaustion. Seminars in immunopathology. https://doi.org/10.1007/s00281-019-00744-5

10. Hashimoto, M., Kamphorst, A. O., Im, S. J., Kissick, H. T., Pillai, R. N., Ramalingam, S. S., Araki, K., & Ahmed, R. (2018). CD8 T Cell Exhaustion in Chronic Infection and Cancer: Opportunities for Interventions. Annual review of medicine. https://doi.org/10.1146/annurev-med-012017-043208

Alternate Names

CD8, CD8A, 53-6.7, 53-6.7 CD8, 53-6.7 CD8 Alpha, 53-6.7 CD8 Aplha, 53-6.7 Clone, CD8 Antibody, Cytotoxic T cell marker, Cytotoxic T lymphocyte marker, T cell marker

Gene Symbol

CD8A

Additional CD8 Products

Product Documents for CD8 Antibody (53-6.7) - BSA Free

Certificate of Analysis

To download a Certificate of Analysis, please enter a lot number in the search box below.

Product Specific Notices for CD8 Antibody (53-6.7) - BSA Free

This product is for research use only and is not approved for use in humans or in clinical diagnosis. Primary Antibodies are guaranteed for 1 year from date of receipt.

Loading...
Loading...
Loading...
Loading...
Loading...
Loading...