Skip to main content

CD74 Antibody (CLIP/8680R) - Azide and BSA Free

Novus Biologicals, part of Bio-Techne | Catalog # NBP3-24340

Recombinant Monoclonal Antibody
Novus Biologicals, part of Bio-Techne

Key Product Details

Species Reactivity

Human

Applications

Immunohistochemistry-Paraffin, Western Blot

Label

Unconjugated

Antibody Source

Monoclonal Rabbit IgG Kappa Clone # CLIP/8680R

Format

Azide and BSA Free

Concentration

1 mg/ml

Product Specifications

Immunogen

Recombinant fragment of human CD74 protein (exact sequence is proprietary)

Localization

Cell surface. Paranuclear globular.

Specificity

Anti-CD74 stains predominantly germinal center lymphocytes and B-cell lymphomas, but rarely T-cell lymphomas. Anti-CD74 has been shown to be useful in differentiating atypical fibroxanthoma (-) from malignant fibrous histiocytoma (+).

Marker

Transcription Regulator

Clonality

Monoclonal

Host

Rabbit

Isotype

IgG Kappa

Description

Antibody without azide - store at -20 to -80C.

Scientific Data Images for CD74 Antibody (CLIP/8680R) - Azide and BSA Free

Western Blot: CD74 Antibody (CLIP/8680R) - Azide and BSA Free [NBP3-24340] -

Western blot analysis of Raji cell lysate using CD74 antibody (CLIP/8680R) - Azide and BSA Free.

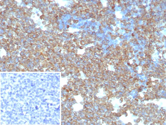
Immunohistochemistry-Paraffin: CD74 Antibody (CLIP/8680R) - Azide and BSA Free [NBP3-24340] -

Formalin-fixed, paraffin-embedded human tonsil stained with CD74 antibody (CLIP/8680R) - Azide and BSA Free. Inset: PBS instead of primary antibody; secondary only negative control.

Applications for CD74 Antibody (CLIP/8680R) - Azide and BSA Free

Application
Recommended Usage

Immunohistochemistry-Paraffin

1-2ug/ml

Western Blot

1-2ug/ml
Application Notes
Immunohistochemistry-Paraffin: 1-2ug/ml for 30 minutes at RT. Staining of formalin-fixed tissues requires heating tissue sections in 10mM Tris with 1mM EDTA, pH 9.0, for 45 min at 95C followed by cooling at RT for 20 minutes. Optimal dilution for a specific application should be determined.

Formulation, Preparation, and Storage

Purification

Protein A or G purified

Formulation

10mM PBS

Format

Azide and BSA Free

Preservative

No Preservative

Concentration

1 mg/ml

Shipping

The product is shipped with polar packs. Upon receipt, store it immediately at the temperature recommended below.

Stability & Storage

Store at -20 to -80C. Avoid freeze-thaw cycles.

Background: CD74

CD74, also known as the MHC class II associated invariant chain (Ii), is a type II transmembrane protein which binds to the peptide binding groove of newly synthesized MHC class II alpha/beta heterodimers and prevents their premature association with endogenous polypeptides. CD74 is produced in molar excess over MHC class II and some of this is expressed by an unknown pathway on the cell surface independent of, or in association with, MHC class II molecules. The half life of CD74 on the cell surface is only 3 to 4 min after which it is internalized. It has been proposed that cell surface CD74 binds MHC class II molecules which have lost their antigenic peptide leading to internalization and reloading with antigenic peptide. The transport route of class II alpha/beta/Ii complexes is regulated selectively by two forms of CD74 (p33 and p35) which are generated by the use of alternative translation initiation sites. CD74 is expressed primarily by antigen presenting cells such as B lymphocytes (from before the pre-B cell stage to before the plasma cell stage), macrophages and monocytes together, with many epithelial cells. CD74 may exist in different isoforms ranging in size from 33 to 41 kDa, depending on genetic splicing.

Alternate Names

CD74, CLIP, DHLAG, HLADG, Ia-gamma, INVG34

Gene Symbol

CD74

Additional CD74 Products

Product Documents for CD74 Antibody (CLIP/8680R) - Azide and BSA Free

Certificate of Analysis

To download a Certificate of Analysis, please enter a lot number in the search box below.

Product Specific Notices for CD74 Antibody (CLIP/8680R) - Azide and BSA Free

This product is for research use only and is not approved for use in humans or in clinical diagnosis. Primary Antibodies are guaranteed for 1 year from date of receipt.

Loading...
Loading...
Loading...
Loading...