Skip to main content

Key Product Details

Species Reactivity

Human

Applications

Immunohistochemistry, Immunohistochemistry-Paraffin, Western Blot

Label

Unconjugated

Antibody Source

Monoclonal Mouse IgG2a Kappa Clone # 15B5G2

Format

Azide and BSA Free

Concentration

0.5 mg/ml

Product Specifications

Immunogen

Amino acids 103-199 of human CD69 were used as the immunogen for the antibody.

Clonality

Monoclonal

Host

Mouse

Isotype

IgG2a Kappa

Description

Novus Biologicals Mouse CD69 Antibody (15B5G2) - Azide and BSA Free (NBP2-25236) is a monoclonal antibody validated for use in IHC and WB. All Novus Biologicals antibodies are covered by our 100% guarantee.

Scientific Data Images for CD69 Antibody (15B5G2) - Azide and BSA Free

Western Blot: CD69 Antibody (15B5G2)Azide Free [NBP2-25242]

Western Blot: CD69 Antibody (15B5G2)Azide Free [NBP2-25242]

Western Blot: CD69 Antibody (15B5G2) - Azide Free [NBP2-25242] - analysis of CD69 in A) a partial recombinant protein and B) ThP1 lysate using CD69 antibody at 0.5 ug/ml. goat anti-mouse Ig HRP secondary antibody and PicoTect ECL substrate solution were used for this test.
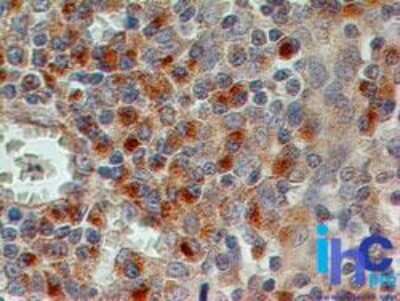
Immunohistochemistry-Paraffin: CD69 Antibody (15B5G2) - Azide Free [NBP2-25242]

Immunohistochemistry-Paraffin: CD69 Antibody (15B5G2) - Azide Free [NBP2-25242]

Immunohistochemistry-Paraffin: CD69 Antibody (15B5G2) - Azide Free [NBP2-25242] - Formalin-fixed, paraffin-embedded human tonsil stained with CD69 antibody (1 ug/ml), peroxidase-conjugate and DAB chromogen.

Applications for CD69 Antibody (15B5G2) - Azide and BSA Free

Application
Recommended Usage

Immunohistochemistry

1:10-1:500

Immunohistochemistry-Paraffin

1-3 ug/ml

Western Blot

1-5 ug/ml

Formulation, Preparation, and Storage

Purification

Protein G purified

Formulation

Sterile - filtered PBS

Format

Azide and BSA Free

Preservative

No Preservative

Concentration

0.5 mg/ml

Shipping

The product is shipped with polar packs. Upon receipt, store it immediately at the temperature recommended below.

Stability & Storage

Store at 4C short term. Aliquot and store at -20C long term. Avoid freeze-thaw cycles.

Background: CD69

CD69 is a transmembrane C-type lectin broadly expressed on the cell surface of activated leukocytes, including T and B lymphocytes, neutrophils, natural killer cells, and eosinophils, and is constitutively expressed on the surface of monocytes and platelets (Vance BA et al., 2005 15893733). The abundance of CD69 rapidly increases after cell activation in all bone marrow-derived cells except erythrocytes (Martin P et al., 2011 21427408). It is an earliest lymphocyte activation antigen and a universal leukocyte triggering molecule expressed at sites of active immune response (Kavan D et al., 2010 20369839). CD69 plays a key role in early inflammation and modulation of adaptive immune responses through the production of a variety of cytokines and lymphocyte migration. Expression of CD69 has been observed in human diseases. Moreover anti-CD69 monoclonal antibodies have therapeutic effect in the treatment process of different animal models of cancer and autoimmune disorders (Vazquez BN et al., 2012 22456278). Surface-expressed CD69 is an activation marker for basophils and is strongly induced by IL-3. Upregulated CD69 expression on locally accumulated basophils in bronchial asthma attributed at least in part to a combination of local cytokines, especially IL-3, plus exposure to low levels of IgE-crosslinking allergens (Suzukawa M et al., 2007 17541278).

Alternate Names

CD69, EA-1, Leu23, MLR-3, p60

Gene Symbol

CD69

Additional CD69 Products

Product Documents for CD69 Antibody (15B5G2) - Azide and BSA Free

Certificate of Analysis

To download a Certificate of Analysis, please enter a lot number in the search box below.

Product Specific Notices for CD69 Antibody (15B5G2) - Azide and BSA Free

This product is for research use only and is not approved for use in humans or in clinical diagnosis. Primary Antibodies are guaranteed for 1 year from date of receipt.

Loading...
Loading...
Loading...
Loading...