Skip to main content

CD5L Antibody - BSA Free

Novus Biologicals, part of Bio-Techne | Catalog # NBP1-76699

Novus Biologicals, part of Bio-Techne

Key Product Details

Species Reactivity

Human, Mouse

Applications

Immunohistochemistry, Immunohistochemistry-Paraffin, Western Blot, ELISA

Label

Unconjugated

Antibody Source

Polyclonal Rabbit IgG

Format

BSA Free

Concentration

1 mg/ml

Product Specifications

Immunogen

Antibody was raised against a 13 amino acid synthetic peptide near the carboxy terminus of human AIM. The immunogen is located within amino acids 250 - 300 of AIM. Amino Acid Squence: CDDNWGEKEDQVV

Clonality

Polyclonal

Host

Rabbit

Isotype

IgG

Theoretical MW

38 kDa.
Disclaimer note: The observed molecular weight of the protein may vary from the listed predicted molecular weight due to post translational modifications, post translation cleavages, relative charges, and other experimental factors.

Description

Novus Biologicals Rabbit CD5L Antibody - BSA Free (NBP1-76699) is a polyclonal antibody validated for use in IHC, WB and ELISA. All Novus Biologicals antibodies are covered by our 100% guarantee.

Scientific Data Images for CD5L Antibody - BSA Free

Western Blot: CD5L AntibodyBSA Free [NBP1-76699]

Western Blot: CD5L AntibodyBSA Free [NBP1-76699]

Western Blot: CD5L Antibody [NBP1-76699] - Raji lysate with CD5L antibody at (A) 0.5, (B) 1 and (C) 2 ug/ml.
CD5L Antibody - BSA Free

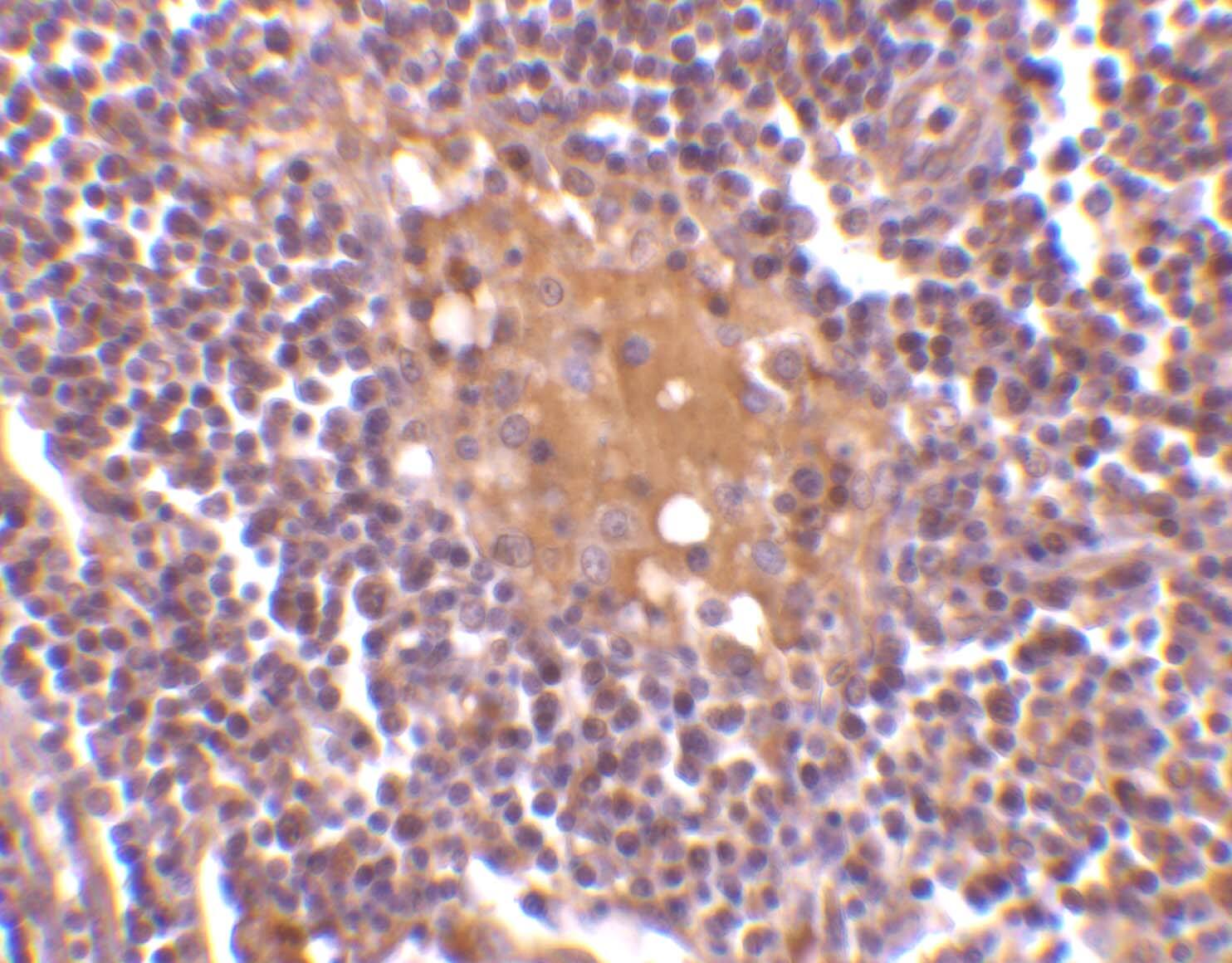
Immunohistochemistry: CD5L Antibody - BSA Free [NBP1-76699] -

Immunohistochemistry: CD5L Antibody - BSA Free [NBP1-76699] - Immunohistochemistry of CD5L in human lymph node tissue with CD5L antibody at 10 ug/mL.

Applications for CD5L Antibody - BSA Free

Application
Recommended Usage

ELISA

1:100-1:2000

Immunohistochemistry

10 ug/ml

Immunohistochemistry-Paraffin

10 ug/ml

Western Blot

0.5-2 ug/ml

Formulation, Preparation, and Storage

Purification

Peptide affinity purified

Formulation

PBS

Format

BSA Free

Preservative

0.02% Sodium Azide

Concentration

1 mg/ml

Shipping

The product is shipped with polar packs. Upon receipt, store it immediately at the temperature recommended below.

Stability & Storage

Store at 4C short term. Aliquot and store at -20C long term. Avoid freeze-thaw cycles.

Background: CD5L

Apoptosis inhibitor of macrophages (AIM) is a member of the scavenger receptor cysteine-rich domain superfamily (SRCR-SF) initially identified as an inducible cell surface ligand of CD5. It was shown that AIM functions in the thymus as the inducer of resistance to apoptosis within CD4+/CD8+ thymocytes and as the supporter of the viability of these cells before thymic selection. AIM was also shown to support macrophage survival and enhance their phagocytic function. More recent experiments using recombinant AIM significantly inhibited apoptosis of NKT and T cells obtained from C. parvum-stimulated livers in vitro, suggesting that AIM functions to induce resistance to apoptosis in these cells and supports host defense against inflammation during infection.

Long Name

CD5 Antigen-like

Alternate Names

AIM, API6, CD5L, CT-2, SP-alpha

Entrez Gene IDs

922 (Human)

Gene Symbol

CD5L

UniProt

Additional CD5L Products

Product Documents for CD5L Antibody - BSA Free

Certificate of Analysis

To download a Certificate of Analysis, please enter a lot number in the search box below.

Product Specific Notices for CD5L Antibody - BSA Free

This product is for research use only and is not approved for use in humans or in clinical diagnosis. Primary Antibodies are guaranteed for 1 year from date of receipt.

Loading...
Loading...
Loading...
Loading...