Skip to main content

CD59 Antibody - BSA Free

Novus Biologicals, part of Bio-Techne | Catalog # NBP1-89405

Novus Biologicals, part of Bio-Techne
Catalog #
Availability
Size / Price
Qty
Loading...
NBP1-89405
NBP1-89405-25ul

Key Product Details

Validated by

Orthogonal Validation

Species Reactivity

Validated:

Human

Cited:

Human

Applications

Validated:

Immunohistochemistry, Immunohistochemistry-Paraffin, Western Blot, Immunocytochemistry/ Immunofluorescence

Cited:

Western Blot

Label

Unconjugated

Antibody Source

Polyclonal Rabbit IgG

Format

BSA Free

Concentration

Concentrations vary lot to lot. See vial label for concentration. If unlisted please contact technical services.

Product Specifications

Immunogen

This antibody was developed against Recombinant Protein corresponding to amino acids: CYNCPNPTADCKTAVNCSSDFDACLITKAGLQVYNKCWKFEHCNFNDVTTRLRENELTYYCCKKDLCNFNEQLENGG

Clonality

Polyclonal

Host

Rabbit

Isotype

IgG

Description

Novus Biologicals Rabbit CD59 Antibody - BSA Free (NBP1-89405) is a polyclonal antibody validated for use in IHC, WB and ICC/IF. Anti-CD59 Antibody: Cited in 2 publications. All Novus Biologicals antibodies are covered by our 100% guarantee.

Scientific Data Images for CD59 Antibody - BSA Free

Western Blot: CD59 Antibody [NBP1-89405]

Western Blot: CD59 Antibody [NBP1-89405]

Western Blot: CD59 Antibody [NBP1-89405] - Analysis in human cell lines PC-3 and Caco-2 using anti-CD59 antibody. Corresponding CD59 RNA-seq data are presented for the same cell lines. Loading control: anti-HSP90B1.
Immunocytochemistry/ Immunofluorescence: CD59 Antibody [NBP1-89405]

Immunocytochemistry/ Immunofluorescence: CD59 Antibody [NBP1-89405]

Immunocytochemistry/Immunofluorescence: CD59 Antibody [NBP1-89405] - Staining of human cell line A-431 shows localization to the Golgi apparatus & vesicles. Antibody staining is shown in green.
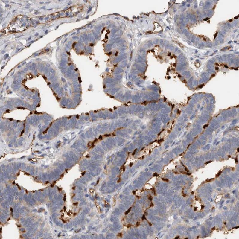
CD59 Antibody - BSA Free Immunohistochemistry-Paraffin: CD59 Antibody - BSA Free [NBP1-89405]

Immunohistochemistry-Paraffin: CD59 Antibody - BSA Free [NBP1-89405]

Staining of human pancreas shows strong membranous positivity in ductal cells.

Applications for CD59 Antibody - BSA Free

Application
Recommended Usage

Immunocytochemistry/ Immunofluorescence

0.25-2 ug/ml

Immunohistochemistry

1:500 - 1:1000

Immunohistochemistry-Paraffin

1:500 - 1:1000

Western Blot

0.04-0.4 ug/ml
Application Notes
For IHC-Paraffin, HIER pH 6 retrieval is recommended. ICC/IF Fixation Permeabilization: Use PFA/Triton X-100.

Formulation, Preparation, and Storage

Purification

Immunogen affinity purified

Formulation

PBS (pH 7.2) and 40% Glycerol

Format

BSA Free

Preservative

0.02% Sodium Azide

Concentration

Concentrations vary lot to lot. See vial label for concentration. If unlisted please contact technical services.

Shipping

The product is shipped with polar packs. Upon receipt, store it immediately at the temperature recommended below.

Stability & Storage

Store at 4C short term. Aliquot and store at -20C long term. Avoid freeze-thaw cycles.

Background: CD59

CD59, an LY6 like protein expressed in human lymphoid cells, regulates the action of the complement membrane attack complex on homologous cells.

Alternate Names

CD59, HRF20, MACIF, MIC11, Protectin

Entrez Gene IDs

966 (Human)

Gene Symbol

CD59

UniProt

Additional CD59 Products

Product Documents for CD59 Antibody - BSA Free

Certificate of Analysis

To download a Certificate of Analysis, please enter a lot number in the search box below.

Product Specific Notices for CD59 Antibody - BSA Free

This product is for research use only and is not approved for use in humans or in clinical diagnosis. Primary Antibodies are guaranteed for 1 year from date of receipt.

Loading...
Loading...
Loading...
Loading...