Skip to main content

CD57 Antibody (SPM129)

Novus Biologicals, part of Bio-Techne | Catalog # NBP2-44353

Novus Biologicals, part of Bio-Techne
Catalog #
Availability
Size / Price
Qty
Loading...
NBP2-44353-0.02mg
NBP2-44353-0.1mg

Key Product Details

Species Reactivity

Human, Rat (Negative)

Applications

Immunocytochemistry/ Immunofluorescence, Immunofluorescence, Immunohistochemistry, Immunohistochemistry-Paraffin

Label

Unconjugated

Antibody Source

Monoclonal Mouse IgM Kappa Clone # SPM129

Concentration

0.2 mg/ml

Product Specifications

Immunogen

Membrane antigen from HSB-2 cells

Reactivity Notes

Does not react with Rat.

Localization

Cell surface

Specificity

Anti-CD57 marks a subset of lymphocytes known as natural killer (NK) cells. Follicular center cell lymphomas often contain many NK cells within the neoplastic follicles. Anti-CD57 also stains neuroendocrine cells and their derived tumors, including carcinoid tumor and medulloblastoma. Anti-CD57 can also be useful in separating type B3 thymoma from thymic carcinoma when combined with a panel that includes antibodies against GLUT1, CD5, and CEA.

Marker

Natural Killer Cell Marker

Clonality

Monoclonal

Host

Mouse

Isotype

IgM Kappa

Description

200ug/ml of antibody purified from Bioreactor Concentrate. Prepared in 10 mM PBS with 0.05% BSA & 0.05% azide. Also available WITHOUT BSA & azide at 1.0 mg/ml. (NBP2-47790)

Antibody with azide - store at 2 to 8C. Antibody without azide - store at -20 to -80C.

Scientific Data Images for CD57 Antibody (SPM129)

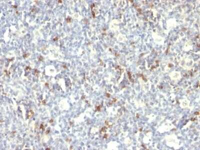
Immunohistochemistry-Paraffin: CD57 Antibody (SPM129) [NBP2-44353]

Immunohistochemistry-Paraffin: CD57 Antibody (SPM129) [NBP2-44353]

Immunohistochemistry-Paraffin: CD57 Antibody (SPM129) [NBP2-44353] - Analysis of CD57 antibody (SPM129) on human spleen. Image from verified customer review.
Immunohistochemistry-Paraffin: CD57 Antibody (SPM129) [NBP2-44353]

Immunohistochemistry-Paraffin: CD57 Antibody (SPM129) [NBP2-44353]

Immunohistochemistry-Paraffin: CD57 Antibody (SPM129) [NBP2-44353] - Human Spleen stained with CD57 Monoclonal Antibody (SPM129).

Applications for CD57 Antibody (SPM129)

Application
Recommended Usage

Immunocytochemistry/ Immunofluorescence

1-2 ug/ml

Immunofluorescence

0.5 1 ug/ml

Immunohistochemistry-Paraffin

2-4 ug/ml
Application Notes
Immunohistochemistry (Formalin-fixed): 2-4ug/ml for 30 minutes at RT. Staining of formalin-fixed tissues requires heating tissue sections in 10mM Tris with 1mM EDTA, pH 9.0, for 45 min at 95C followed by cooling at RT for 20 minutes.
Optimal dilution for a specific application should be determined.

Reviewed Applications

Read 1 review rated 5 using NBP2-44353 in the following applications:

Formulation, Preparation, and Storage

Purification

Protein L or PEG purified

Formulation

10 mM PBS with 0.05% BSA

Preservative

0.05% Sodium Azide

Concentration

0.2 mg/ml

Shipping

The product is shipped with polar packs. Upon receipt, store it immediately at the temperature recommended below.

Stability & Storage

Store at 4C.

Background: CD57

The CD57 antigen, also referred to as human natural killer-1 (HNK-1) and LEU-7, is a carbohydrate epitope containing sulfated glucuronic acid that is expressed by many cell types within the nervous system (1,2). Cellular expression of CD57 changes during progression of neural development (1). The CD57 epitope is synthesized by enzymes including a sulfotransferase and one of two glucotransferases (GlcAT-P or GlcAT-S) (1,2). The structure of the CD57/HNK-1 epitope consists of 3-O-sulfated glucuronic acid (GlcA) attached to a terminal galactose (HSO3-3GlcAbeta1-3Galbeta1-4GlcNAc-R) (1,2). The CD57 epitope was first identified and a marker for HNK cells and its expression is associated with NK cell maturation (1-3).

CD57 expression has become a common pathological marker. CD57+ CD8+ T cell expression is observed in various cancers and is often linked to reduced survival (3). On the other hand, CD57+ NK cell expression is associated with less severe disease and better prognosis in cancer patients (3). CD57 is also associated with immune dysfunction and autoimmune disease (3,4). For example, T cell immunosenescence is characterized by an upregulation of CD57 along with KLRG-1 and a loss of CD27 and CD28 expression (4). Expanded autoreactive T cells are also related to diseases including multiple sclerosis (MS) and rheumatoid arthritis (RA) (3). Conversely, reduced numbers of CD57+ NK cells and NK cell cytotoxicity is observed in various autoimmune diseases such as apoptotic dermatitis and sjogren's syndrome (3).

References

1. Focosi D, Bestagno M, Burrone O, Petrini M. CD57+ T lymphocytes and functional immune deficiency. J Leukoc Biol. 2010;87(1):107-116. https://doi.org/10.1189/jlb.0809566

2. Morise J, Takematsu H, Oka S. The role of human natural killer-1 (HNK-1) carbohydrate in neuronal plasticity and disease. Biochim Biophys Acta Gen Subj. 2017;1861(10):2455-2461. https://doi.org/10.1016/j.bbagen.2017.06.025

3. Nielsen CM, White MJ, Goodier MR, Riley EM. Functional Significance of CD57 Expression on Human NK Cells and Relevance to Disease. Front Immunol. 2013;4:422. Published 2013 Dec 9. https://doi.org/10.3389/fimmu.2013.00422

4. Lian J, Yue Y, Yu W, Zhang Y. Immunosenescence: a key player in cancer development. J Hematol Oncol. 2020;13(1):151. Published 2020 Nov 10. https://doi.org/10.1186/s13045-020-00986-z6

Alternate Names

HNK1, HNK-1, Human Natural Killer-1, L2, LEU7, LEU-7

Gene Symbol

B3GAT1

UniProt

Additional CD57 Products

Product Documents for CD57 Antibody (SPM129)

Certificate of Analysis

To download a Certificate of Analysis, please enter a lot number in the search box below.

Product Specific Notices for CD57 Antibody (SPM129)

This product is for research use only and is not approved for use in humans or in clinical diagnosis. Primary Antibodies are guaranteed for 1 year from date of receipt.

Loading...
Loading...
Loading...
Loading...