Skip to main content

CD55/DAF Antibody - BSA Free

Novus Biologicals, part of Bio-Techne | Catalog # NBP1-85467

Novus Biologicals, part of Bio-Techne
Catalog #
Availability
Size / Price
Qty
Loading...
NBP1-85467
NBP1-85467-25ul

Key Product Details

Validated by

Orthogonal Validation

Species Reactivity

Validated:

Human

Cited:

Human

Applications

Validated:

Immunohistochemistry, Immunohistochemistry-Paraffin

Cited:

Immunocytochemistry/ Immunofluorescence

Label

Unconjugated

Antibody Source

Polyclonal Rabbit IgG

Format

BSA Free

Concentration

Concentrations vary lot to lot. See vial label for concentration. If unlisted please contact technical services.

Product Specifications

Immunogen

This antibody was developed against Recombinant Protein corresponding to amino acids: YCPAPPQIDNGIIQGERDHYGYRQSVTYACNKGFTMIGEHSIYCTVNNDEGEWSGPPPECRGKSLTSKVPPTVQKPTTVNVPTTEVSPTSQKTTTKTTTPNAQATRSTPVSRTTKHFHETTPNKGSGTTSGTTRLLSGHTCFTLTGLLGTLVTMG

Clonality

Polyclonal

Host

Rabbit

Isotype

IgG

Description

Novus Biologicals Rabbit CD55/DAF Antibody - BSA Free (NBP1-85467) is a polyclonal antibody validated for use in IHC and ICC/IF. Anti-CD55/DAF Antibody: Cited in 1 publication. All Novus Biologicals antibodies are covered by our 100% guarantee.

Scientific Data Images for CD55/DAF Antibody - BSA Free

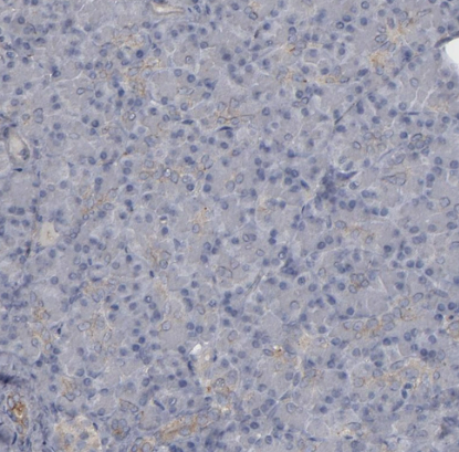
Immunohistochemistry-Paraffin: CD55/DAF Antibody [NBP1-85467]

Immunohistochemistry-Paraffin: CD55/DAF Antibody [NBP1-85467]

Immunohistochemistry-Paraffin: CD55/DAF Antibody [NBP1-85467] - Immunohistochemistry analysis in human lung and pancreas tissues using NBP1-85467 antibody. Corresponding CD55 RNA-seq data are presented for the same tissues.
Immunohistochemistry-Paraffin: CD55/DAF Antibody [NBP1-85467]

Immunohistochemistry-Paraffin: CD55/DAF Antibody [NBP1-85467]

Immunohistochemistry-Paraffin: CD55/DAF Antibody [NBP1-85467] - Staining of human placenta shows strong cytoplasmic positivity in trophoblastic cells.
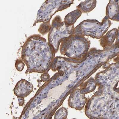
Immunohistochemistry-Paraffin: CD55/DAF Antibody [NBP1-85467]

Immunohistochemistry-Paraffin: CD55/DAF Antibody [NBP1-85467]

Immunohistochemistry-Paraffin: CD55/DAF Antibody [NBP1-85467] - Staining of human lung shows strong cytoplasmic positivity in pneumocytes.

Applications for CD55/DAF Antibody - BSA Free

Application
Recommended Usage

Immunohistochemistry

1:50 - 1:200

Immunohistochemistry-Paraffin

1:50 - 1:200
Application Notes
For IHC-Paraffin, HIER pH 6 retrieval is recommended.

Formulation, Preparation, and Storage

Purification

Affinity purified

Formulation

PBS (pH 7.2) and 40% Glycerol

Format

BSA Free

Preservative

0.02% Sodium Azide

Concentration

Concentrations vary lot to lot. See vial label for concentration. If unlisted please contact technical services.

Shipping

The product is shipped with polar packs. Upon receipt, store it immediately at the temperature recommended below.

Stability & Storage

Store at 4C short term. Aliquot and store at -20C long term. Avoid freeze-thaw cycles.

Background: CD55/DAF

CD55 encodes a protein involved in the regulation of the complement cascade. The encoded glycoprotein is also known as the decay-accelerating factor (DAF); binding of DAF to complement proteins accelerates their decay, disrupting the cascade and preventing damage to host cells. Antigens present on the DAF glycoprotein constitute the Cromer blood group system (CROM). Two alternatively spliced transcripts encoding different proteins have been identified. The predominant transcript encodes a membrane-bound protein expressed on cells exposed to plasma component proteins but an alternatively spliced transcript produces a soluble protein present at much lower levels. Additional, alternatively spliced transcript variants have been described, but their biological validity has not been determined. [provided by RefSeq]

Alternate Names

CD55, CR, DAF, TC

Gene Symbol

CD55

Additional CD55/DAF Products

Product Documents for CD55/DAF Antibody - BSA Free

Certificate of Analysis

To download a Certificate of Analysis, please enter a lot number in the search box below.

Product Specific Notices for CD55/DAF Antibody - BSA Free

This product is for research use only and is not approved for use in humans or in clinical diagnosis. Primary Antibodies are guaranteed for 1 year from date of receipt.

Loading...
Loading...
Loading...
Loading...