Skip to main content

CD5 Antibody (CL12420) - BSA Free

Novus Biologicals, part of Bio-Techne | Catalog # NBP3-21215

Novus Biologicals, part of Bio-Techne
Catalog #
Availability
Size / Price
Qty
Loading...
NBP3-21215-25ul
NBP3-21215-100ul
Conjugate
Catalog #

Key Product Details

Validated by

Orthogonal Validation

Species Reactivity

Human

Applications

Multiplex Immunofluorescence, Immunohistochemistry, Immunohistochemistry-Paraffin, Western Blot, Immunocytochemistry/ Immunofluorescence, COMET

Label

Unconjugated

Antibody Source

Monoclonal Mouse IgG2A Clone # CL12420

Format

BSA Free

Concentration

1 mg/ml

Product Specifications

Immunogen

This antibody was developed using a synthetic peptide derived from P06127, with the exact immunogen sequence remaining proprietary.

Clonality

Monoclonal

Host

Mouse

Isotype

IgG2A

Scientific Data Images for CD5 Antibody (CL12420) - BSA Free

CD5 Antibody (CL12420) - BSA Free Detection of CD5 in Human Mantle Cell Lymphoma via seqIF™ staining on COMET™

Detection of CD5 in Human Mantle Cell Lymphoma via seqIF™ staining on COMET™

CD5 was detected in immersion fixed paraffin-embedded sections of human mantle cell lymphoma using Mouse Anti-Human CD5 Monoclonal Antibody (Catalog # NBP3-21215) at 1:50 at 37 ° Celsius for 4 minutes. Before incubation with the primary antibody, tissue underwent an all-in-one dewaxing and antigen retrieval preprocessing using PreTreatment Module (PT Module) and Dewax and HIER Buffer H (pH 9; Epredia Catalog # TA-999-DHBH). Tissue was stained using the Alexa Fluor™ 647 Goat anti-Mouse IgG Secondary Antibody at 1:200 at 37 ° Celsius for 2 minutes. (Yellow; Lunaphore Catalog # DR647MS) and counterstained with DAPI (blue; Lunaphore Catalog # DR100). Specific staining was localized to the cell membrane. Protocol available in COMET™ Panel Builder.
Immunohistochemistry-Paraffin: CD5 Antibody [NBP3-21215] -

Immunohistochemistry-Paraffin: CD5 Antibody [NBP3-21215] -

Staining of human chronic lymphocytic leukemia shows strong membranous positivity in tumor cells.
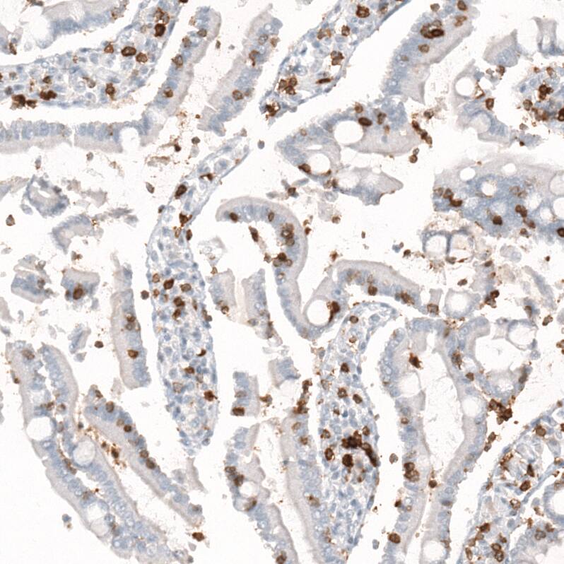
Immunohistochemistry-Paraffin: CD5 Antibody [NBP3-21215] -

Immunohistochemistry-Paraffin: CD5 Antibody [NBP3-21215] -

Staining of human small intestine shows strong membranous positivity in lymphoid cells.

Applications for CD5 Antibody (CL12420) - BSA Free

Application
Recommended Usage

Immunocytochemistry/ Immunofluorescence

2-10 ug/ml

Immunohistochemistry

1:1000- 1:2500

Immunohistochemistry-Paraffin

1:1000- 1:2500

Western Blot

1 ug/ml
Application Notes
ICC/IF Fixation Permeabilization: Use PFA/Triton X-100. For IHC-Paraffin, HIER pH 6 retrieval is recommended.

Formulation, Preparation, and Storage

Purification

Protein A purified

Formulation

PBS (pH 7.2) and 40% Glycerol

Format

BSA Free

Preservative

0.02% Sodium Azide

Concentration

1 mg/ml

Shipping

The product is shipped with polar packs. Upon receipt, store it immediately at the temperature recommended below.

Stability & Storage

Store at 4C short term. Aliquot and store at -20C long term. Avoid freeze-thaw cycles.

Background: CD5

In humans, CD5 is a 55kDa T lymphocyte single chain transmembrane glycoprotein. It is present on all mature T lymphocytes, on most thymocytes and on many T cell leukemias and lymphomas. It reacts with a subpopulation of activated B cells. CD5/Lyt1 antigen is a monomeric type I transmembrane glycoprotein expressed on thymocytes, T lymphocytes, and a subset of B lymphocytes, but not on natural killer (NK) cells. It has been identified as the major ligand of the B cell antigen CD72. The frequency of CD5+ B cells exhibits strain dependent variation, and the phenotypic, anatomical, functional, developmental, and pathological characteristics of the CD5+ B cells suggest that they may represent a distinct lineage, known as B1 cells. Binding of CD5 on the T cell surface can augment alloantigen or mitogen induced lymphocyte proliferation and induces increased cytosolic free calcium, IL2 secretion, and IL2R expression. It has been proposed that CD5 negatively regulates signal transduction mediated by the T cell and B cell receptors.

Alternate Names

CD5

Gene Symbol

CD5

Additional CD5 Products

Product Documents for CD5 Antibody (CL12420) - BSA Free

Certificate of Analysis

To download a Certificate of Analysis, please enter a lot number in the search box below.

Product Specific Notices for CD5 Antibody (CL12420) - BSA Free

This product is for research use only and is not approved for use in humans or in clinical diagnosis. Primary Antibodies are guaranteed for 1 year from date of receipt.

Loading...
Loading...
Loading...
Loading...