Skip to main content

CD5 Antibody (7.8) - BSA Free

Novus Biologicals, part of Bio-Techne | Catalog # NBP3-14758

Novus Biologicals, part of Bio-Techne

Key Product Details

Species Reactivity

Human, Mouse (Negative)

Applications

Flow (Cell Surface), Flow Cytometry, Immunohistochemistry, Immunohistochemistry-Paraffin, Western Blot

Label

Unconjugated

Antibody Source

Monoclonal Mouse IgG2 Alpha Clone # 7.8

Format

BSA Free

Concentration

1.0 mg/ml

Product Specifications

Immunogen

Human activated PBMC

Clonality

Monoclonal

Host

Mouse

Isotype

IgG2 Alpha

Description

Novus Biologicals Mouse CD5 Antibody (7.8) - BSA Free (NBP3-14758) is a monoclonal antibody validated for use in IHC, WB and Flow. All Novus Biologicals antibodies are covered by our 100% guarantee.

Scientific Data Images for CD5 Antibody (7.8) - BSA Free

Flow (Cell Surface): CD5 Antibody (7.8) - BSA Free [NBP3-14758]

Flow (Cell Surface): CD5 Antibody (7.8) - BSA Free [NBP3-14758]

Flow (Cell Surface): CD5 Antibody (7.8) [NBP3-14758] - A surface stain was performed on Jurkat (panel A) and Raw264.7 (panel B) cells with human specific CD5 Antibody (7.8) NBP3-14758 (blue) and a matched isotype control MAB003 (orange). Cells were incubated in an antibody dilution of 1.0 ug/mL for 20 minutes at room temperature, followed by Mouse IgG (H+L) Cross-Adsorbed Secondary Antibody, Dylight 550 (84540, Thermo Fisher).
CD5 Antibody (7.8) - BSA Free

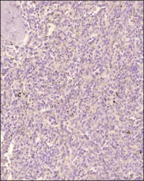
Immunohistochemistry-Paraffin: CD5 Antibody [NBP3-14758]

Analysis of a FFPE tissue section of human spleen using 1:200 dilution of CD5 antibody. The staining was developed using HRP labeled anti-rabbit secondary antibody and DAB reagent, and nuclei of cells were counter-stained with hematoxylin.

Applications for CD5 Antibody (7.8) - BSA Free

Application
Recommended Usage

Immunohistochemistry

1:200

Immunohistochemistry-Paraffin

1:200

Western Blot

1 - 2 ug/ml

Formulation, Preparation, and Storage

Purification

Protein A or G purified

Formulation

PBS

Format

BSA Free

Preservative

0.02% Sodium Azide

Concentration

1.0 mg/ml

Stability & Storage

Store at 4C short term. Aliquot and store at -20C long term. Avoid freeze-thaw cycles.

Background: CD5

The 7.8 antibody binds to the human CD5 molecule. CD5 is 67 kDa transmembrane molecule expressed on most T cells, thymocytes, a subset of B cell, T regulatory cells, B regulatory cells and some hematopoietic malignancies such as B-chronic lymphocytic leukemia. CD5 is a regulator of T cell receptor signaling.

Alternate Names

CD5

Gene Symbol

CD5

Additional CD5 Products

Product Documents for CD5 Antibody (7.8) - BSA Free

Certificate of Analysis

To download a Certificate of Analysis, please enter a lot number in the search box below.

Product Specific Notices for CD5 Antibody (7.8) - BSA Free

This product is for research use only and is not approved for use in humans or in clinical diagnosis. Primary Antibodies are guaranteed for 1 year from date of receipt.

Loading...
Loading...
Loading...
Loading...
Loading...