CD47 Antibody (CL6913) - Azide and BSA Free
Novus Biologicals, part of Bio-Techne | Catalog # NBP3-44397
Conjugate
Catalog #
Forumulation
Catalog #
Key Product Details
Validated by
Orthogonal Validation
Species Reactivity
Human
Applications
Immunohistochemistry-Paraffin
Label
Unconjugated
Antibody Source
Monoclonal Mouse IgG1 Clone # CL6913
Format
Azide and BSA Free
Concentration
LYOPH mg/ml
Product Specifications
Immunogen
This antibody was generated using a recombinant protein sequence of Q08722, with the exact immunogen sequence remaining proprietary.
Clonality
Monoclonal
Host
Mouse
Isotype
IgG1
Description
Novus Biologicals Mouse CD47 Antibody (CL6913) - Azide and BSA Free (NBP2-76511) is a monoclonal antibody validated for use in IHC. All Novus Biologicals antibodies are covered by our 100% guarantee.
Scientific Data Images for CD47 Antibody (CL6913) - Azide and BSA Free
Immunohistochemistry-Paraffin: CD47 Antibody [NBP3-44397]
Staining of human cerebral cortex shows strong positivity in neuropil.Immunohistochemistry-Paraffin: CD47 Antibody [NBP3-44397]
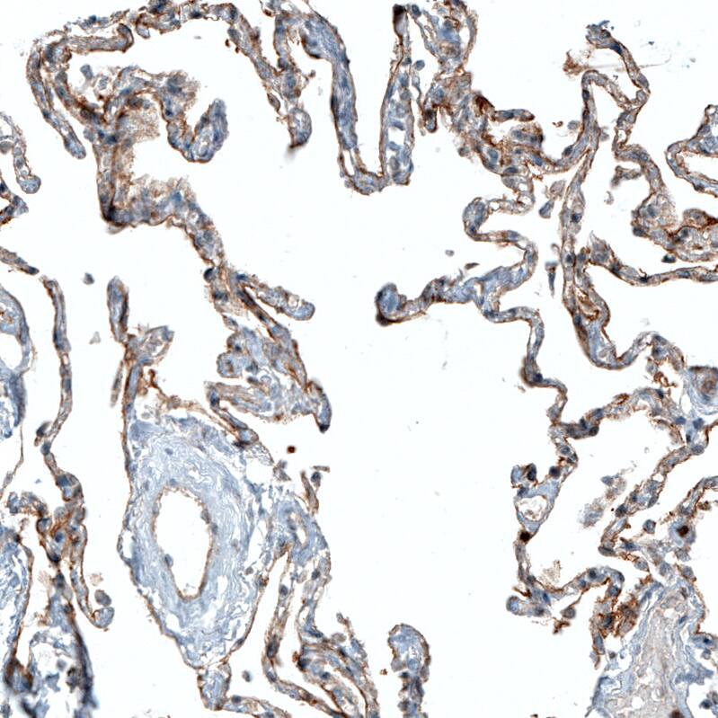
Staining of human lung shows moderate membranous positivity in pneumocytes.Applications for CD47 Antibody (CL6913) - Azide and BSA Free
Application
Recommended Usage
Immunohistochemistry-Paraffin
1:1000 - 1:2500
Application Notes
For IHC-Paraffin, HIER pH 6 retrieval is recommended.
Formulation, Preparation, and Storage
Purification
Protein A purified
Reconstitution
Centrifuge the vial of lyophilized antibody at 12,000 x g for 20 seconds. Reconstitute by adding sterile, distilled water to achieve a final antibody concentration of 1mg/ml.
Formulation
Lyophilized from a 0.2 um filtered solution in PBS with Trehalose
Format
Azide and BSA Free
Preservative
No Preservative
Concentration
LYOPH mg/ml
Shipping
The product is shipped at ambient temperature. Upon receipt, store it immediately at the temperature recommended below.
Stability & Storage
Store at 4C short term. Aliquot and store at -20C long term. Avoid freeze-thaw cycles.
Background: CD47
Alternate Names
CD47, IAP, MER6, OA3
Gene Symbol
CD47
Additional CD47 Products
Product Documents for CD47 Antibody (CL6913) - Azide and BSA Free
Product Specific Notices for CD47 Antibody (CL6913) - Azide and BSA Free
This product is for research use only and is not approved for use in humans or in clinical diagnosis. Primary Antibodies are guaranteed for 1 year from date of receipt.
Loading...
Loading...
Loading...
Loading...
Loading...