CD45RA Antibody (PTPRC/8341R)
Novus Biologicals, part of Bio-Techne | Catalog # NBP3-20390
Recombinant Monoclonal Antibody
Conjugate
Catalog #
Forumulation
Catalog #
Key Product Details
Species Reactivity
Human
Applications
Immunohistochemistry-Paraffin
Label
Unconjugated
Antibody Source
Recombinant Monoclonal Rabbit IgG Kappa Clone # PTPRC/8341R
Concentration
0.2 mg/ml
Product Specifications
Immunogen
Recombinant full-length human CD45RA protein
Localization
Cell surface. Cytoplasm.
Clonality
Monoclonal
Host
Rabbit
Isotype
IgG Kappa
Description
Positive Controls: Human tonsil or lymph node.
Antibody with azide - store at 2 to 8C. Antibody without azide - store at -20 to -80C. Non-hazardous. No MSDS required.
Antibody with azide - store at 2 to 8C. Antibody without azide - store at -20 to -80C. Non-hazardous. No MSDS required.
Scientific Data Images for CD45RA Antibody (PTPRC/8341R)
CD45RA Antibody (PTPRC/8341R)
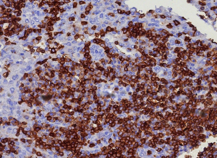
Formalin-fixed, paraffin-embedded human lymph node stained with CD45RA antibody (PTPRC/8341R). HIER: Tris/EDTA, pH9.0, 45min. Secondary: HRP-polymer, 30min. DAB, 5min.CD45RA Antibody (PTPRC/8341R)
IHC analysis of formalin-fixed, paraffin-embedded human brain. Negative tissue control using CD45RA antibody (PTPRC/8341R) at 2ug/ml in PBS for 30min RT. HIER: Tris/EDTA, pH9.0, 45min. Secondary: HRP-polymer, 30min. DAB, 5min.CD45RA Antibody (PTPRC/8341R)
Formalin-fixed, paraffin-embedded human tonsil stained with CD45RA antibody (PTPRC/8341R). HIER: Tris/EDTA, pH9.0, 45min. Secondary: HRP-polymer, 30min. DAB, 5min.Applications for CD45RA Antibody (PTPRC/8341R)
Application
Recommended Usage
Immunohistochemistry-Paraffin
1-2 ug/ml
Application Notes
Immunohistochemistry (Formalin-fixed): 1-2ug/ml for 30 minutes. at RT. Staining of formalin-fixed tissues requires heating tissue sections in 10mM Tris with 1mM EDTA, pH 9.0, for 45 min at 95C followed by cooling at RT for 20 minutes.
Optimal dilution for a specific application should be determined.
Optimal dilution for a specific application should be determined.
Formulation, Preparation, and Storage
Purification
Protein A or G purified
Formulation
10mM PBS with 0.05% BSA
Preservative
0.05% Sodium Azide
Concentration
0.2 mg/ml
Shipping
The product is shipped with polar packs. Upon receipt, store it immediately at the temperature recommended below.
Stability & Storage
Store at 4C. Do not freeze.
Background: CD45RA
Long Name
CD45R, A isoform
Alternate Names
B220, CD45 antigen, CD45R, EC 3.1.3.48, L-CA, LY5, protein tyrosine phosphatase, receptor type, C, receptor-type tyrosine-protein phosphatase C, T200 glycoprotein, T200 leukocyte common antigen, T200receptor type, c polypeptide
Gene Symbol
PTPRC
Additional CD45RA Products
Product Documents for CD45RA Antibody (PTPRC/8341R)
Product Specific Notices for CD45RA Antibody (PTPRC/8341R)
This product is for research use only and is not approved for use in humans or in clinical diagnosis. Primary Antibodies are guaranteed for 1 year from date of receipt.
Loading...
Loading...
Loading...
Loading...