Skip to main content

CD43/Sialophorin Antibody - BSA Free

Novus Biologicals, part of Bio-Techne | Catalog # NBP2-32115

Novus Biologicals, part of Bio-Techne

Key Product Details

Validated by

Independent Antibodies

Species Reactivity

Human

Applications

Immunohistochemistry, Immunohistochemistry-Paraffin, Western Blot, Immunoprecipitation

Label

Unconjugated

Antibody Source

Polyclonal Rabbit IgG

Format

BSA Free

Concentration

1.0 mg/ml

Product Specifications

Immunogen

The immunogen this antibody was made to, maps to a region between residue 350 to 400 of human CD43 Molecule using the numbering given in entry NP_001025459.1 (GeneID 6693).

Clonality

Polyclonal

Host

Rabbit

Isotype

IgG

Description

Novus Biologicals Rabbit CD43/Sialophorin Antibody - BSA Free (NBP2-32115) is a polyclonal antibody validated for use in IHC, WB and IP. All Novus Biologicals antibodies are covered by our 100% guarantee.

Scientific Data Images for CD43/Sialophorin Antibody - BSA Free

Western Blot: CD43/Sialophorin Antibody [NBP2-32115]

Western Blot: CD43/Sialophorin Antibody [NBP2-32115]

Western Blot: CD43/Sialophorin Antibody [NBP2-32115] - Whole cell lysate (0.5 or 1.0 mg per IP reaction; 20% of IP loaded) prepared using RIPA buffer from Jurkat cells. Antibodies: Affinity purified rabbit anti-CD43 antibody NBP2-32115 used for IP at 6 ug per reaction. CD43 was also immunoprecipitated by rabbit anti-CD43 antibody BL16255. For blotting immunoprecipitated CD43,NBP2-32115 was used at 1 ug/ml. Detection: Chemiluminescence with an exposure time of 3 minutes.
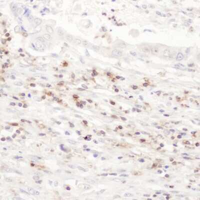
Immunohistochemistry: CD43/Sialophorin Antibody [NBP2-32115]

Immunohistochemistry: CD43/Sialophorin Antibody [NBP2-32115]

Immunohistochemistry: CD43/Sialophorin Antibody [NBP2-32115] - Sample: FFPE section of human lung cancer infiltrating cells. Antibody: Affinity purified rabbit anti- CD43 used at a dilution of 1:1,000 (1ug/ml). Detection: DAB. Counterstain: IHC Hematoxylin (blue).
Western Blot: CD43/Sialophorin Antibody [NBP2-32115]

Western Blot: CD43/Sialophorin Antibody [NBP2-32115]

Western Blot: CD43/Sialophorin Antibody [NBP2-32115] - Whole cell lysate (50 ug) prepared using RIPA buffer from HeLa, 293T, and Jurkat cells. Antibodies: Affinity purified rabbit anti-CD43 antibody NBP2-32115 used for WB at 0.1 ug/ml. Detection: Chemiluminescence with an exposure time of 3 minutes.

Applications for CD43/Sialophorin Antibody - BSA Free

Application
Recommended Usage

Immunohistochemistry

1:500- 1:2000

Immunohistochemistry-Paraffin

1:500 - 1:2000

Immunoprecipitation

2 - 10 ug/mg lysate

Western Blot

1:2000 - 1:10000
Application Notes
Epitope retrieval with citrate buffer pH6.0 is recommended for FFPE tissue sections.

Formulation, Preparation, and Storage

Purification

Immunogen affinity purified

Formulation

Tris-Citrate/Phosphate (pH 7.0 - 8.0)

Format

BSA Free

Preservative

0.09% Sodium Azide

Concentration

1.0 mg/ml

Shipping

The product is shipped with polar packs. Upon receipt, store it immediately at the temperature recommended below.

Stability & Storage

Store at 4C. Do not freeze.

Background: CD43

CD43 is a key glycoprotein of thymocytes and T lymphocytes, which affects the physicochemical properties of the T-cell surface and plays a role in lectin binding. This antibody contains an extended rodlike structure that may protrude above the glycocalyx of the cell, allowing accessibility of multiple glycan chains for binding. During T-cell activation CD43 is actively removed from the T-cell-antigen-presenting cell contact site, thus suggesting CD43's role in negative regulation of the adaptive immune response.

Long Name

Cluster of Differentiation 43

Alternate Names

CD43, GPL115, Leukosialin, LSN, Ly-48, Sialophorin, SPN

Gene Symbol

SPN

Additional CD43 Products

Product Documents for CD43/Sialophorin Antibody - BSA Free

Certificate of Analysis

To download a Certificate of Analysis, please enter a lot number in the search box below.

Product Specific Notices for CD43/Sialophorin Antibody - BSA Free

This product is for research use only and is not approved for use in humans or in clinical diagnosis. Primary Antibodies are guaranteed for 1 year from date of receipt.

Loading...
Loading...
Loading...
Loading...