Skip to main content

CD41/CD61 Antibody (JM11-19)

Novus Biologicals, part of Bio-Techne | Catalog # NBP2-66757

Recombinant Monoclonal Antibody.
Novus Biologicals, part of Bio-Techne
Catalog #
Availability
Size / Price
Qty
Loading...
NBP2-66757

Key Product Details

Species Reactivity

Human

Applications

Immunohistochemistry, Immunohistochemistry-Paraffin, Western Blot

Label

Unconjugated

Antibody Source

Recombinant Monoclonal Rabbit IgG Clone # JM11-19 expressed in HEK293

Concentration

1 mg/ml

Product Specifications

Immunogen

Synthetic peptide within Human CD41/CD61 aa 41-74 / 1039. (SwissProt: P08514 Human)

Localization

Membrane.

Clonality

Monoclonal

Host

Rabbit

Isotype

IgG

Description

Novus Biologicals Rabbit CD41/CD61 Antibody (JM11-19) (NBP2-66757) is a recombinant monoclonal antibody validated for use in IHC and WB. All Novus Biologicals antibodies are covered by our 100% guarantee.

Scientific Data Images for CD41/CD61 Antibody (JM11-19)

Western Blot: CD41/CD61 Antibody (JM11-19) [NBP2-66757]

Western Blot: CD41/CD61 Antibody (JM11-19) [NBP2-66757]

Western Blot: CD41/CD61 Antibody (JM11-19) [NBP2-66757] - Analysis of CD41 on human placenta cells lysates using anti-CD41 antibody at 1/500 dilution.
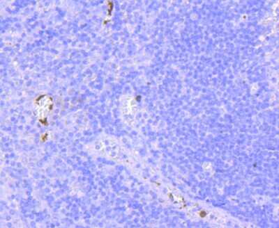
Immunohistochemistry-Paraffin: CD41/CD61 Antibody (JM11-19) [NBP2-66757]

Immunohistochemistry-Paraffin: CD41/CD61 Antibody (JM11-19) [NBP2-66757]

Immunohistochemistry-Paraffin: CD41/CD61 Antibody (JM11-19) [NBP2-66757] - Analysis of paraffin-embedded human tonsil tissue using anti-CD41 antibody. Counter stained with hematoxylin.
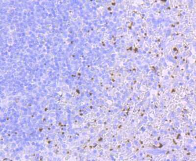
Immunohistochemistry-Paraffin: CD41/CD61 Antibody (JM11-19) [NBP2-66757]

Immunohistochemistry-Paraffin: CD41/CD61 Antibody (JM11-19) [NBP2-66757]

Immunohistochemistry-Paraffin: CD41/CD61 Antibody (JM11-19) [NBP2-66757] - Analysis of paraffin-embedded human spleen tissue using anti-CD41 antibody. Counter stained with hematoxylin.

Applications for CD41/CD61 Antibody (JM11-19)

Application
Recommended Usage

Immunohistochemistry-Paraffin

1:50-1:200

Western Blot

1:500-1:2000

Formulation, Preparation, and Storage

Purification

Protein A purified

Formulation

TBS (pH7.4), 0.05% BSA, 40% Glycerol

Preservative

0.05% Sodium Azide

Concentration

1 mg/ml

Shipping

The product is shipped with polar packs. Upon receipt, store it immediately at the temperature recommended below.

Stability & Storage

Store at 4C short term. Aliquot and store at -20C long term. Avoid freeze-thaw cycles.

Background: CD41/CD61

Integrin alpha 2b (CD41) is a calcium-dependent, noncovalently associated heterodimer and contains a heavy chain (GPIIb alpha) and a light chain (GPIIb beta) linked by a single disulfide bond. The Integrin alpha 2B chain interacts with the Integrin beta 3 subunit/CD61 to form the platelet glycoprotein complex, gpIIb/IIIa. It is expressed on platelets and megakaryocytes. Ligands for the gpIIb/IIIa heterodimer include fibrinogen, von Willebrand factor, fibronectin, vitronectin, and thrombospondin. The gpIIb/IIIa complex is the major Integrin on platelets and is important for platelet adhesion and aggregation.

Alternate Names

CD41, CD41 antigen, CD41BHPA3, GP2Bintegrin alpha-IIb, GPalpha IIb, GPIIb, GTA, integrin, alpha 2b (platelet glycoprotein IIb of IIb/IIIa complex, antigenCD41), integrin, alpha 2b (platelet glycoprotein IIb of IIb/IIIa complex, antigenCD41B), ITGAB, platelet fibrinogen receptor, alpha subunit, Platelet membrane glycoprotein IIb, platelet-specific antigen BAK

Gene Symbol

ITGA2B

Additional CD41/CD61 Products

Product Documents for CD41/CD61 Antibody (JM11-19)

Certificate of Analysis

To download a Certificate of Analysis, please enter a lot number in the search box below.

Product Specific Notices for CD41/CD61 Antibody (JM11-19)

This product is for research use only and is not approved for use in humans or in clinical diagnosis. Primary Antibodies are guaranteed for 1 year from date of receipt.

Loading...
Loading...
Loading...
Loading...