Skip to main content

CD4 Antibody - BSA Free

Novus Biologicals, part of Bio-Techne | Catalog # NBP3-18057

Novus Biologicals, part of Bio-Techne
Catalog #
Availability
Size / Price
Qty
Loading...
NBP3-18057
NBP3-18057SS
Conjugate
Catalog #

Key Product Details

Species Reactivity

Human, Mouse

Applications

Immunohistochemistry, Immunohistochemistry-Paraffin, Western Blot, Flow Cytometry, Flow (Intracellular), Immunocytochemistry/ Immunofluorescence

Label

Unconjugated

Antibody Source

Polyclonal Rabbit IgG

Format

BSA Free

Concentration

1.0 mg/ml

Product Specifications

Immunogen

Partial recombinant protein made to an N-terminal portion of human CD4 (amino acids 26-390) [UniProt P01730]

Clonality

Polyclonal

Host

Rabbit

Isotype

IgG

Scientific Data Images for CD4 Antibody - BSA Free

Immunocytochemistry/ Immunofluorescence: CD4 Antibody [NBP3-18057]

Immunocytochemistry/ Immunofluorescence: CD4 Antibody [NBP3-18057]

Immunocytochemistry/Immunofluorescence: CD4 Antibody [NBP3-18057] - U-251 MG cells were fixed in 4% paraformaldehyde for 10 minutes and permeabilized in 0.05% Triton X-100 in PBS for 5 minutes. The cells were incubated with CD4 Antibody (NBP3-18057) at 1ug/ml overnight at 4C and detected with an anti-rabbit DyLight 488 (Green) at a 1:1000 dilution for 60 minutes. Nuclei were counterstained with DAPI (Blue). Cells were imaged using a 40X objective.
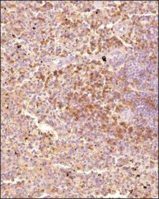
Immunohistochemistry-Paraffin: CD4 Antibody [NBP3-18057]

Immunohistochemistry-Paraffin: CD4 Antibody [NBP3-18057]

Immunohistochemistry-Paraffin: CD4 Antibody [NBP3-18057] - Analysis of a FFPE tissue section of human spleen using 1:200 dilution of CD4 antibody (NBP3-18057). The staining was developed using HRP labeled anti-rabbit secondary antibody and DAB reagent, and nuclei of cells were counter-stained with hematoxylin.
Flow Cytometry: CD4 Antibody [NBP3-18057]

Flow Cytometry: CD4 Antibody [NBP3-18057]

Flow Cytometry: CD4 Antibody [NBP3-18057] - An intracellular stain was performed on Jurkat cells with CD4 Antibody NBP3-18057 (blue) and a matched isotype control NBP2-24891 (orange). Cells were fixed with 4% PFA and then permeabilized with 0.1% saponin. Cells were incubated in an antibody dilution of 2.5 ug/mL for 30 minutes at room temperature, followed by Rabbit IgG (H+L) Cross-Adsorbed Secondary Antibody, Dylight 550 (SA5-10033, Thermo Fisher).

Applications for CD4 Antibody - BSA Free

Application
Recommended Usage

Flow (Intracellular)

2 - 3 ug/ml

Flow Cytometry

2 - 3 ug/ml

Immunocytochemistry/ Immunofluorescence

1 - 2 ug/ml

Immunohistochemistry

1:200

Immunohistochemistry-Paraffin

1:200

Western Blot

1 - 2 ug/ml

Formulation, Preparation, and Storage

Purification

Immunogen affinity purified

Formulation

PBS

Format

BSA Free

Preservative

0.02% Sodium Azide

Concentration

1.0 mg/ml

Stability & Storage

Store at 4C short term. Aliquot and store at -20C long term. Avoid freeze-thaw cycles.

Background: CD4

CD4 is an approximately 55 kDa type I membrane glycoprotein that is expressed predominantly on most thymocytes and a subset of mature T lymphocytes. In humans, CD4 is also expressed to a lesser extent on monocytes and macrophage related cells. Human CD4 cDNA encodes a 458 amino acid (aa) residue precursor protein with a 25 aa residue signal peptide, a 371 aa residue extracellular region containing four immunoglobulin homology domains, a 24 aa residue transmembrane domain and a 38 aa residue cytoplasmic domain. CD4 is a coreceptor required for T cell recognition of antigens that are presented by class II major histocompatibility complexes. CD4 has been shown to be a coreceptor of HIV entry and specifically binds gp120, the external envelope glycoprotein of HIV.

Alternate Names

CD4, biosimilar antibody, biosimilars

Gene Symbol

CD4

Additional CD4 Products

Product Documents for CD4 Antibody - BSA Free

Certificate of Analysis

To download a Certificate of Analysis, please enter a lot number in the search box below.

Product Specific Notices for CD4 Antibody - BSA Free

This product is for research use only and is not approved for use in humans or in clinical diagnosis. Primary Antibodies are guaranteed for 1 year from date of receipt.

Loading...
Loading...
Loading...
Loading...
Loading...
Loading...