Skip to main content

CD4 Antibody - BSA Free

Novus Biologicals, part of Bio-Techne | Catalog # NBP1-19371

Novus Biologicals, part of Bio-Techne

Key Product Details

Species Reactivity

Validated:

Human, Mouse, Rat, Porcine, Canine, Rabbit

Cited:

Human, Mouse, Rat, Porcine, Canine, Flow, Rabbit

Applications

Validated:

Immunohistochemistry, Immunohistochemistry-Paraffin, Immunohistochemistry-Frozen, Western Blot, Flow Cytometry, Dual RNAscope ISH-IHC, Immunocytochemistry/ Immunofluorescence, Simple Western

Cited:

Immunohistochemistry, Immunohistochemistry-Paraffin, Immunohistochemistry-Frozen, Western Blot, Immunocytochemistry/ Immunofluorescence, IF/IHC, Rabbit

Label

Unconjugated

Antibody Source

Polyclonal Rabbit IgG

Format

BSA Free

Concentration

1.0 mg/ml

Product Specifications

Immunogen

A synthetic peptide made to an C-terminal region of the human CD4 Antibody protein (within residues 400-458). [Swiss-Prot P01730]

Reactivity Notes

Rabbit reactivity reported in the scientific literature (PMID: 22127304). Customer feedback positive on canine. Use in Porcine reported in scientific literature (PMID:33839961)

Localization

Membrane

Clonality

Polyclonal

Host

Rabbit

Isotype

IgG

Description

Novus Biologicals Rabbit CD4 Antibody - BSA Free (NBP1-19371) is a polyclonal antibody validated for use in IHC, WB, Flow, Dual RNAscope ISH-IHC, ICC/IF and Simple Western. Anti-CD4 Antibody: Cited in 50 publications. All Novus Biologicals antibodies are covered by our 100% guarantee.

Scientific Data Images for CD4 Antibody - BSA Free

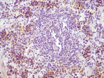
Immunohistochemistry: CD4 Antibody - BSA Free [NBP1-19371]

Immunohistochemistry: CD4 Antibody - BSA Free [NBP1-19371]

Immunohistochemistry: CD4 Antibody [NBP1-19371] - Increased CD3+ and CD4+ T-cell occurrence in the brainstem of SHR-72 transgenic rat model for tauopathies. (A-D) Immunofluorescence staining showed CD4+ T-cells in SHR-72 transgenic animals. (E- H) Immunofluorescence staining showed more perivascular than brain parenchyma infiltrating CD4+ T-cells in SHR-72 transgenic animals. PLoS One. 2019 May 23;14(5):e0217216. doi: 10.1371/journal.pone.0217216.
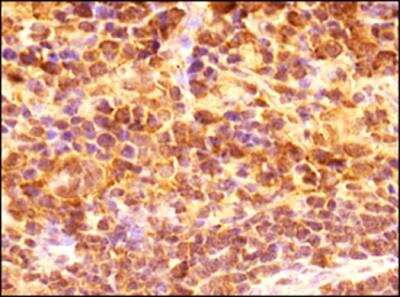
Immunohistochemistry: CD4 Antibody - BSA Free [NBP1-19371]

Immunohistochemistry: CD4 Antibody - BSA Free [NBP1-19371]

Immunohistochemistry: CD4 Antibody [NBP1-19371] - DBZ inhibits the accumulation of CD4+ T cells and Th2 differentiation in the AAAs. (B) The representation of immunohistochemical staining for CD4+ in abdominal aorta from four groups (left). Bar graphs show the percentage of CD4+ positive cell areas (right; n=3 per group). Bar: 50 um.
Western Blot: CD4 AntibodyBSA Free [NBP1-19371]

Western Blot: CD4 AntibodyBSA Free [NBP1-19371]

Western Blot: CD4 Antibody [NBP1-19371] - CD4 antibody was tested in the following cell lysates: 1) human spleen 2) human tonsil 3) human placenta 4) human kidney 5) human liver 6) mouse spleen 7) mouse placenta 8) rat placenta.

Applications for CD4 Antibody - BSA Free

Application
Recommended Usage

Flow Cytometry

5 ug/ml

Immunocytochemistry/ Immunofluorescence

1:50-1:200

Immunohistochemistry

1:50-1:500

Immunohistochemistry-Paraffin

1:50-1:500

Simple Western

1:100

Western Blot

1 ug/ml
Application Notes
This CD4 antibody is useful for ICC, Western Blot, and IHC-paraffin embedded sections. In WB, a band is seen ~45 kDa. In ICC/IF, membrane staining was observed in human brain cells. Prior to immunostaining paraffin tissues, antigen retrieval with sodium citrate buffer (pH 6.0) is recommended. In ICC/IF, membrane staining was observed in Jurkat cells.

In Simple Western only 10 - 15 uL of the recommended dilution is used per data point.
See Simple Western Antibody Database for Simple Western validation: Tested in HeLa lysate 0.5 mg/mL, separated by Size, antibody dilution of 1:100. Separated by Size-Wes, Sally Sue/Peggy Sue.

Reviewed Applications

Read 9 reviews rated 4.1 using NBP1-19371 in the following applications:

Formulation, Preparation, and Storage

Purification

Immunogen affinity purified

Formulation

PBS

Format

BSA Free

Preservative

0.02% Sodium Azide

Concentration

1.0 mg/ml

Shipping

The product is shipped with polar packs. Upon receipt, store it immediately at the temperature recommended below.

Stability & Storage

Store at 4C short term. Aliquot and store at -20C long term. Avoid freeze-thaw cycles.

Background: CD4

CD4 (cluster of differentiation 4), also known as L3T4 or T4, is a 55 kDa single chain type I transmembrane glycoprotein belonging to the immunoglobin (Ig) superfamily. CD4 is predominantly expressed on most thymocytes, a subset of mature T lymphocytes, and weakly on monocytes, tissue macrophages, dendritic cells, and granulocytes. It is also expressed on neurons and glial cells in the brain (1). CD4 is expressed along with CD8 on double positive T cells during their development in the thymus. Either CD4 or CD8 expression is then lost giving rise to single positive (SP) CD4+ or CD8+ mature T cells. CD4+ SP cells (T helper cells) further differentiate into multiple subsets of CD4+ cells including Th1, Th2, Th17, Tfh, and Treg cells which regulate humoral and cellular immunity (2). The extracellular region of CD4 consists of 372 amino acids (aa) with four immunoglobin-like domains (D1-D4). The structures of D1 and D3 resemble variable (IgV) domains while D2 and D4 resemble constant (IgC) domains (3).

Given its critical role in T cell development, CD4 also has diverse immunology-related functions. CD4 acts as a coreceptor with the T-cell receptor (TCR) during T cell activation and thymic differentiation by binding directly to major histocompatibility complex (MHC) class II antigens and associating with the protein tyrosine kinase, Lck (4). This interaction contributes to the formation of the immunological synapse (5). Defects in antigen presentation cause dysfunction of CD4+ T cells and the almost complete loss of MHC II expression on B cells in peripheral blood, as observed in severe combined immunodeficiency (SCID) (6). CD4 also functions as a receptor for the human immunodeficiency virus (HIV) by binding to gp120, the envelope glycoprotein of HIV-1. It has been shown that the V-like domains are critical for binding to gp120 (7). In immune mediated and infectious diseases of the central nervous system, CD4 functions as an indirect mediator of neuronal damage (8).

References

1. Omri, B., Crisanti, P., Alliot, F., Marty, M., Rutin, J., Levallois, C., . . . Pessac, B. (1994). CD4 expression in neurons of the central nervous system. International Immunology, 6(3), 377-385. doi:10.1093/intimm/6.3.377

2. Wan, Y. Y., & Flavell, R. A. (2009). How diverse-CD4 effector T cells and their functions. Journal of Molecular Cell Biology, 1(1), 20-36. doi:10.1093/jmcb/mjp001

3. Wu, H., Myszka, D. G., Tendian, S. W., Brouillette, C. G., Sweet, R. W., Chaiken, I. M., & Hendrickson, W. A. (1996). Kinetic and structural analysis of mutant CD4 receptors that are defective in HIV gp120 binding. Proceedings of the National Academy of Sciences, 93(26), 15030-15035. doi:10.1073/pnas.93.26.15030

4. Doyle, C., & Strominger, J. L. (1987). Interaction between CD4 and class II MHC molecules mediates cell adhesion. Nature, 330, 256-259. doi:10.1038/330256a0

5. Vignali, D. A. (2010). CD4 on the road to coreceptor status. The Journal of Immunology, 184(11), 5933-5934. doi:10.4049/jimmunol.1090037

6. Tasher, D., & Dalal, I. (2012). The genetic basis of severe combined immunodeficiency and its variants. The Application of Clinical Genetics, 5, 67-80. doi:10.2147/tacg.s18693

7. Arthos, J., Deen, K. C., Chaikin, M. A., Fornwald, J. A., Sathe, G., Sattentau, Q. J., . . . Sweet, R. W. (1989). Identification of the residues in human CD4 critical for the binding of HIV. Cell, 57(3), 469-481. doi:10.1016/0092-8674(89)90922-7

8. Buttini, M., Westland, C. E., Masliah, E., Yafeh, A. M., Wyss-Coray, T., Mucke, L. (1998). Novel role of human cd4 molecule identified in neurodegeneration. Nature Medicine, 4(4), 441-446. doi:10.1038/nm0498-441

Alternate Names

CD4

Entrez Gene IDs

920 (Human); 12504 (Mouse)

Gene Symbol

CD4

UniProt

Additional CD4 Products

Product Documents for CD4 Antibody - BSA Free

Certificate of Analysis

To download a Certificate of Analysis, please enter a lot number in the search box below.

Product Specific Notices for CD4 Antibody - BSA Free

This product is for research use only and is not approved for use in humans or in clinical diagnosis. Primary Antibodies are guaranteed for 1 year from date of receipt.

Loading...
Loading...
Loading...
Loading...
Loading...
Loading...