Skip to main content

CD4 Antibody (YNB46.1.8 (Campath-9H)) - Azide and BSA Free

Novus Biologicals, part of Bio-Techne | Catalog # NBP2-75900

Novus Biologicals, part of Bio-Techne
Catalog #
Availability
Size / Price
Qty
Loading...
NBP2-75900-0.2mg
NBP2-75900SS

Key Product Details

Species Reactivity

Human

Applications

Immunohistochemistry, Immunohistochemistry-Frozen, Flow Cytometry

Label

Unconjugated

Antibody Source

Monoclonal Rat IgG1 kappa Clone # YNB46.1.8 (Campath-9H)

Format

Azide and BSA Free

Concentration

1 mg/ml

Product Specifications

Immunogen

Rat T-cell line (NB2) transfected with the human CD4

Specificity

Recognizes the 55kDa human CD4 cell surface antigen, expressed by helper T lymphocytes and by monocytes.

Clonality

Monoclonal

Host

Rat

Isotype

IgG1 kappa

Description

Novus Biologicals Rat CD4 Antibody (YNB46.1.8 (Campath-9H)) - Azide and BSA Free (NBP2-75900) is a monoclonal antibody validated for use in IHC and Flow. All Novus Biologicals antibodies are covered by our 100% guarantee.

Scientific Data Images for CD4 Antibody (YNB46.1.8 (Campath-9H)) - Azide and BSA Free

Immunohistochemistry: CD4 Antibody (YNB46.1.8 (Campath-9H)) - Azide and BSA Free [NBP2-75900]

Immunohistochemistry: CD4 Antibody (YNB46.1.8 (Campath-9H)) - Azide and BSA Free [NBP2-75900]

Immunohistochemistry: CD4 Antibody (YNB46.1.8 (Campath-9H)) [NBP2-75900] - Anti-CD4 staining of formaldehyde fixed paraffin embedded rabbit spleen tissue, at 40x magnification. The rat IgG1-chimeric version of YNB46.1.8 (NBP2-75900) was used to stain samples at a concentration of 5 ug/ml.
CD4 Antibody (YNB46.1.8 (Campath-9H)) - Azide and BSA Free

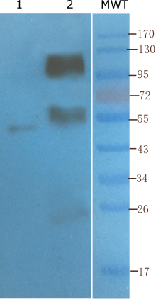
Western Blot: CD4 Antibody (YNB46.1.8 (Campath-9H)) - Azide and BSA Free [NBP2-75900] -

Western Blot: CD4 Antibody (YNB46.1.8 (Campath-9H)) - Azide and BSA Free [NBP2-75900] - Mouse thymus (lane 1) and mouse spleen (lane 2) were resolved on a 10% SDS PAGE gel and blots probed with NBP2-75900 at 1.5 ug/ml before being detected by a secondary antibody. The expected band size (51 kDa) is seen along with bands corresponding to dimers.

Applications for CD4 Antibody (YNB46.1.8 (Campath-9H)) - Azide and BSA Free

Application
Recommended Usage

Flow Cytometry

Optimal dilutions of this antibody should be experimentally determined.

Immunohistochemistry

Optimal dilutions of this antibody should be experimentally determined.

Immunohistochemistry-Frozen

Optimal dilutions of this antibody should be experimentally determined.

Formulation, Preparation, and Storage

Purification

Protein A purified

Formulation

PBS

Format

Azide and BSA Free

Preservative

0.02% Proclin 300

Concentration

1 mg/ml

Shipping

The product is shipped with polar packs. Upon receipt, store it immediately at the temperature recommended below.

Stability & Storage

Store at 4C for up to 3 months. For longer storage, aliquot and store at -20C.

Background: CD4

CD4 (cluster of differentiation 4), also known as L3T4 or T4, is a 55 kDa single chain type I transmembrane glycoprotein belonging to the immunoglobin (Ig) superfamily. CD4 is predominantly expressed on most thymocytes, a subset of mature T lymphocytes, and weakly on monocytes, tissue macrophages, dendritic cells, and granulocytes. It is also expressed on neurons and glial cells in the brain (1). CD4 is expressed along with CD8 on double positive T cells during their development in the thymus. Either CD4 or CD8 expression is then lost giving rise to single positive (SP) CD4+ or CD8+ mature T cells. CD4+ SP cells (T helper cells) further differentiate into multiple subsets of CD4+ cells including Th1, Th2, Th17, Tfh, and Treg cells which regulate humoral and cellular immunity (2). The extracellular region of CD4 consists of 372 amino acids (aa) with four immunoglobin-like domains (D1-D4). The structures of D1 and D3 resemble variable (IgV) domains while D2 and D4 resemble constant (IgC) domains (3).

Given its critical role in T cell development, CD4 also has diverse immunology-related functions. CD4 acts as a coreceptor with the T-cell receptor (TCR) during T cell activation and thymic differentiation by binding directly to major histocompatibility complex (MHC) class II antigens and associating with the protein tyrosine kinase, Lck (4). This interaction contributes to the formation of the immunological synapse (5). Defects in antigen presentation cause dysfunction of CD4+ T cells and the almost complete loss of MHC II expression on B cells in peripheral blood, as observed in severe combined immunodeficiency (SCID) (6). CD4 also functions as a receptor for the human immunodeficiency virus (HIV) by binding to gp120, the envelope glycoprotein of HIV-1. It has been shown that the V-like domains are critical for binding to gp120 (7). In immune mediated and infectious diseases of the central nervous system, CD4 functions as an indirect mediator of neuronal damage (8).

References

1. Omri, B., Crisanti, P., Alliot, F., Marty, M., Rutin, J., Levallois, C., . . . Pessac, B. (1994). CD4 expression in neurons of the central nervous system. International Immunology, 6(3), 377-385. doi:10.1093/intimm/6.3.377

2. Wan, Y. Y., & Flavell, R. A. (2009). How diverse-CD4 effector T cells and their functions. Journal of Molecular Cell Biology, 1(1), 20-36. doi:10.1093/jmcb/mjp001

3. Wu, H., Myszka, D. G., Tendian, S. W., Brouillette, C. G., Sweet, R. W., Chaiken, I. M., & Hendrickson, W. A. (1996). Kinetic and structural analysis of mutant CD4 receptors that are defective in HIV gp120 binding. Proceedings of the National Academy of Sciences, 93(26), 15030-15035. doi:10.1073/pnas.93.26.15030

4. Doyle, C., & Strominger, J. L. (1987). Interaction between CD4 and class II MHC molecules mediates cell adhesion. Nature, 330, 256-259. doi:10.1038/330256a0

5. Vignali, D. A. (2010). CD4 on the road to coreceptor status. The Journal of Immunology, 184(11), 5933-5934. doi:10.4049/jimmunol.1090037

6. Tasher, D., & Dalal, I. (2012). The genetic basis of severe combined immunodeficiency and its variants. The Application of Clinical Genetics, 5, 67-80. doi:10.2147/tacg.s18693

7. Arthos, J., Deen, K. C., Chaikin, M. A., Fornwald, J. A., Sathe, G., Sattentau, Q. J., . . . Sweet, R. W. (1989). Identification of the residues in human CD4 critical for the binding of HIV. Cell, 57(3), 469-481. doi:10.1016/0092-8674(89)90922-7

8. Buttini, M., Westland, C. E., Masliah, E., Yafeh, A. M., Wyss-Coray, T., Mucke, L. (1998). Novel role of human cd4 molecule identified in neurodegeneration. Nature Medicine, 4(4), 441-446. doi:10.1038/nm0498-441

Alternate Names

CD4, biosimilar antibody, biosimilars

Gene Symbol

CD4

Additional CD4 Products

Product Documents for CD4 Antibody (YNB46.1.8 (Campath-9H)) - Azide and BSA Free

Certificate of Analysis

To download a Certificate of Analysis, please enter a lot number in the search box below.

Product Specific Notices for CD4 Antibody (YNB46.1.8 (Campath-9H)) - Azide and BSA Free

This product is for research use only and is not approved for use in humans or in clinical diagnosis. Primary Antibodies are guaranteed for 1 year from date of receipt.

Loading...
Loading...
Loading...
Loading...
Loading...
Loading...