Skip to main content

CD39/ENTPD1 Antibody (CD39/8538R)

Novus Biologicals, part of Bio-Techne | Catalog # NBP3-20669

Recombinant Monoclonal Antibody
Novus Biologicals, part of Bio-Techne
Catalog #
Availability
Size / Price
Qty
Loading...
NBP3-20669-100ug
NBP3-20669-20ug
Conjugate
Catalog #

Key Product Details

Species Reactivity

Human

Applications

Immunohistochemistry-Paraffin

Label

Unconjugated

Antibody Source

Recombinant Monoclonal Rabbit IgG Kappa Clone # CD39/8538R

Concentration

0.2 mg/ml

Product Specifications

Immunogen

Recombinant full-length human CD39/ENTPD1 protein

Localization

Cell surface.

Clonality

Monoclonal

Host

Rabbit

Isotype

IgG Kappa

Description

Positive Controls: Human tonsil or lymph node.

Antibody with azide - store at 2 to 8C. Antibody without azide - store at -20 to -80C. Non-hazardous. No MSDS required.

Scientific Data Images for CD39/ENTPD1 Antibody (CD39/8538R)

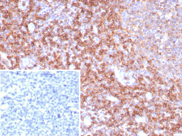
CD39/ENTPD1 Antibody (CD39/8538R)

CD39/ENTPD1 Antibody (CD39/8538R)

Formalin-fixed, paraffin-embedded human tonsil stained with CD39/ENTPD1 antibody (CD39/8538R). HIER: Tris/EDTA, pH9.0, 45min. Secondary: HRP-polymer, 30min. DAB, 5min.
CD39/ENTPD1 Antibody (CD39/8538R)

CD39/ENTPD1 Antibody (CD39/8538R)

Formalin-fixed, paraffin-embedded human tonsil stained with CD39/ENTPD1 antibody (CD39/8538R). Inset: PBS instead of primary antibody; secondary only negative control.

Applications for CD39/ENTPD1 Antibody (CD39/8538R)

Application
Recommended Usage

Immunohistochemistry-Paraffin

1-2 ug/ml
Application Notes
Immunohistochemistry (Formalin-fixed): 1-2ug/ml for 30 minutes. at RT. Staining of formalin-fixed tissues requires heating tissue sections in 10mM Tris with 1mM EDTA, pH 9.0, for 45 min at 95C followed by cooling at RT for 20 minutes.

Optimal dilution for a specific application should be determined.

Formulation, Preparation, and Storage

Purification

Protein A or G purified

Formulation

10mM PBS with 0.05% BSA

Preservative

0.05% Sodium Azide

Concentration

0.2 mg/ml

Shipping

The product is shipped with polar packs. Upon receipt, store it immediately at the temperature recommended below.

Stability & Storage

Store at 4C. Do not freeze.

Background: CD39/ENTPD1

In the nervous system, could hydrolyze ATP and other nucleotides to regulate purinergic neurotransmission.Could also be implicated in the prevention of platelet aggregation. Hydrolyzes ATP and ADP equally well

Long Name

Ecto-Nucleoside Triphosphate Diphosphohydrolase 1

Alternate Names

ADPase, ATP-diphosphatase, CD39, ENTPD1, NTPD1

Gene Symbol

ENTPD1

Additional CD39/ENTPD1 Products

Product Documents for CD39/ENTPD1 Antibody (CD39/8538R)

Certificate of Analysis

To download a Certificate of Analysis, please enter a lot number in the search box below.

Product Specific Notices for CD39/ENTPD1 Antibody (CD39/8538R)

This product is for research use only and is not approved for use in humans or in clinical diagnosis. Primary Antibodies are guaranteed for 1 year from date of receipt.

Loading...
Loading...
Loading...
Loading...