Skip to main content

CD31/PECAM-1 Antibody (C31/8243R)

Novus Biologicals, part of Bio-Techne | Catalog # NBP3-20292

Recombinant Monoclonal Antibody
Novus Biologicals, part of Bio-Techne
Catalog #
Availability
Size / Price
Qty
Loading...
NBP3-20292-100ug
NBP3-20292-20ug
Conjugate
Catalog #

Key Product Details

Species Reactivity

Human

Applications

Immunohistochemistry-Paraffin, Western Blot

Label

Unconjugated

Antibody Source

Recombinant Monoclonal Rabbit IgG Kappa Clone # C31/8243R

Concentration

0.2 mg/ml

Product Specifications

Immunogen

Recombinant fragment (aa 28-330) of human CD31/PECAM-1 expressed in E. Coli (exact sequence is proprietary)

Localization

Cell Surface. Cytoplasm.

Clonality

Monoclonal

Host

Rabbit

Isotype

IgG Kappa

Description

Positive Controls: Jurkat or THP-1 cells. Human tonsil or angiosarcoma.

Antibody with azide - store at 2 to 8C. Antibody without azide - store at -20 to -80C. Non-hazardous. No MSDS required.

Scientific Data Images for CD31/PECAM-1 Antibody (C31/8243R)

CD31/PECAM-1 Antibody (C31/8243R)

CD31/PECAM-1 Antibody (C31/8243R)

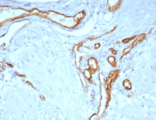
Formalin-fixed, paraffin-embedded human uterus stained with CD31/PECAM-1 antibody (C31/8243R). HIER: Tris/EDTA, pH9.0, 45min. Secondary: HRP-polymer, 30min. DAB, 5min.

Applications for CD31/PECAM-1 Antibody (C31/8243R)

Application
Recommended Usage

Immunohistochemistry-Paraffin

1-2 ug/ml

Western Blot

1-2 ug/ml
Application Notes
Immunohistochemistry (Formalin-fixed): 1-2ug/ml for 30 minutes. at RT. Staining of formalin-fixed tissues requires heating tissue sections in 10mM Tris with 1mM EDTA, pH 9.0, for 45 min at 95C followed by cooling at RT for 20 minutes.

Optimal dilution for a specific application should be determined.

Formulation, Preparation, and Storage

Purification

Protein A or G purified

Formulation

10mM PBS with 0.05% BSA

Preservative

0.05% Sodium Azide

Concentration

0.2 mg/ml

Shipping

The product is shipped with polar packs. Upon receipt, store it immediately at the temperature recommended below.

Stability & Storage

Store at 4C. Do not freeze.

Background: CD31/PECAM-1

Cluster of differentiation (CD31), Platelet Endothelial Cell Adhesion Molecule 1 (PECAM-1), is a 30kDa type I transmembrane glycoprotein expressed by endothelial cells, platelets, leukocytes and some lymphocytes (e.g., B and T-cell subsets). Structurally, PECAM-1 consists of six extracellular immunoglobulin-like domains which serve to support various functions including homophilic binding, maintaining high expression of PECAM-1 within endothelial intercellular junctions, and supporting endothelial cell migration (1,2). PECAM's homophilic binding underscores its role in vascular barrier integrity and leukocyte trans-endothelial movement. However, PECAM may also engage in heterophilic interactions with molecules such as glycosaminoglycans (GAG), integrin alpha 5 beta 3, CD38 in lymphocytes and CD177/PR3 in neutrophils (2).

PECAM's intracellular cytoplasmic domain consists of a sequence of 118 amino acids and contains serine and tyrosine (also referred to as immunoreceptor tyrosine-based inhibitory motifs-ITIMs) residues, which may be phosphorylated upon cellular stimulation (3). ITIMs are phosphorylated by Src-family kinases and non-Src family kinases (e.g., Csk), leading to a conformational change which supports interactions with Src homology 2 (SH2) domain containing proteins such as protein-tyrosine phosphatase, SHP-2 (1,2). Formation of SHP-2/PECAM-1 complexes induces endothelial cell migration through the dephosphorylation of focal adhesion kinase and regulation of RhoA activity (1). Signaling downstream of ITIM tyrosine phosphorylations also plays a role in PECAM's anti-apoptotic activity, a function which is independent of its interaction with SHP-2. In platelets and leukocytes, phosphorylation of PECAM's cytosolic domain is inhibitory, preventing their activation.

References

1. Lertkiatmongkol, P., Liao, D., Mei, H., Hu, Y., & Newman, P. J. (2016). Endothelial functions of PECAM-1 (CD31). Current Opinion in Hematology. https://doi.org/10.1097/MOH.0000000000000239.Endothelial

2. Privratsky, J. R., & Newman, P. J. (2014). PECAM-1: Regulator of endothelial junctional integrity. Cell and Tissue Research. https://doi.org/10.1007/s00441-013-1779-3

3. Newman, P. J., & Newman, D. K. (2003). Signal transduction pathways mediated by PECAM-1: New roles for an old molecule in platelet and vascular cell biology. Arteriosclerosis, Thrombosis, and Vascular Biology. https://doi.org/10.1161/01.ATV.0000071347.69358.D9

Long Name

Platelet Endothelial Cell Adhesion Molecule 1

Alternate Names

CD31, EndoCAM, PECA1, PECAM-1, PECAM1

Gene Symbol

PECAM1

UniProt

Additional CD31/PECAM-1 Products

Product Documents for CD31/PECAM-1 Antibody (C31/8243R)

Certificate of Analysis

To download a Certificate of Analysis, please enter a lot number in the search box below.

Product Specific Notices for CD31/PECAM-1 Antibody (C31/8243R)

This product is for research use only and is not approved for use in humans or in clinical diagnosis. Primary Antibodies are guaranteed for 1 year from date of receipt.

Loading...
Loading...
Loading...
Loading...