CD31/PECAM-1 Antibody (C31/1395R) - Azide and BSA Free
Novus Biologicals, part of Bio-Techne | Catalog # NBP2-54385
Recombinant Monoclonal Antibody
Conjugate
Catalog #
Key Product Details
Species Reactivity
Human
Applications
Immunohistochemistry, Immunohistochemistry-Paraffin, Western Blot, Flow Cytometry, Protein Array, CyTOF-ready
Label
Unconjugated
Antibody Source
Recombinant Monoclonal Rabbit IgG Clone # C31/1395R
Format
Azide and BSA Free
Concentration
1 mg/ml
Product Specifications
Immunogen
Recombinant full-length human CD31/PECAM-1 protein (Uniprot: P16284)
Localization
Cell surface and Cytoplasmic
Specificity
CD31 (PECAM-1) is a transmembrane glycoprotein member of the immunoglobulin supergene family of adhesion molecules. CD31 is expressed by stem cells of the hematopoietic system and is primarily used to identify and concentrate these cells for experimental studies as well as for bone marrow transplantation. Anti-CD31 has shown to be highly specific and sensitive for vascular endothelial cells. Staining of nonvascular tumors (excluding hematopoietic neoplasms) is rare. CD31 monoclonal antibody reacts with normal, benign, and malignant endothelial cells which make up blood vessel lining. The level of CD31 expression can help to determine the degree of tumor angiogenesis, and a high level of CD31 expression may imply a rapidly growing tumor and potentially a predictor of tumor recurrence.
Marker
Endothelial Cell Marker
Clonality
Monoclonal
Host
Rabbit
Isotype
IgG
Theoretical MW
82.5 kDa.
Disclaimer note: The observed molecular weight of the protein may vary from the listed predicted molecular weight due to post translational modifications, post translation cleavages, relative charges, and other experimental factors.
Disclaimer note: The observed molecular weight of the protein may vary from the listed predicted molecular weight due to post translational modifications, post translation cleavages, relative charges, and other experimental factors.
Description
1.0 mg/ml of antibody purified by Protein A/G. Prepared in 10mM PBS WITHOUT BSA & azide. Also available at 200 ug/ml WITH BSA & azide (NBP2-53340).
Antibody with azide - store at 2 to 8C. Antibody without azide - store at -20 to -80C.
Antibody with azide - store at 2 to 8C. Antibody without azide - store at -20 to -80C.
Scientific Data Images for CD31/PECAM-1 Antibody (C31/1395R) - Azide and BSA Free
Western Blot: CD31/PECAM-1 Antibody (C31/1395R)Azide and BSA Free [NBP2-54385]
Western Blot: CD31/PECAM-1 Antibody (C31/1395R) - Azide and BSA Free [NBP2-54385] - Western Blot Analysis of human THP-1 cell lysate using CD31/PECAM-1 Antibody (C31/1395R) - Azide and BSA Free.Immunohistochemistry-Paraffin: CD31/PECAM-1 Antibody (C31/1395R) - Azide and BSA Free [NBP2-54385]
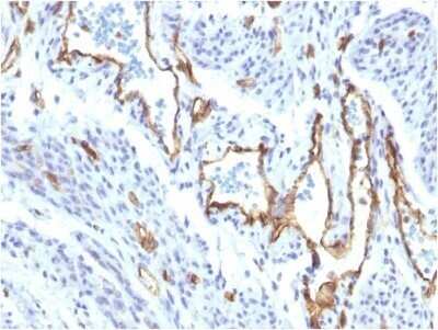
Immunohistochemistry-Paraffin: CD31/PECAM-1 Antibody (C31/1395R) - Azide and BSA Free [NBP2-54385] - Formalin-fixed, paraffin-embedded human Angiosarcoma stained with CD31/PECAM-1 Antibody (C31/1395R) - Azide and BSA Free.Flow Cytometry: CD31/PECAM-1 Antibody (C31/1395R) - Azide and BSA Free [NBP2-54385]
Flow Cytometry: CD31/PECAM-1 Antibody (C31/1395R) - Azide and BSA Free [NBP2-54385] - Flow Cytometric Analysis of paraformaldehyde-fixed Jurkat cells using CD31/PECAM-1 Antibody (C31/1395R) - Azide and BSA Free. Followed by goat anti-rabbit- IgG-CF488 (Blue); Isotype Control (Red).Applications for CD31/PECAM-1 Antibody (C31/1395R) - Azide and BSA Free
Application
Recommended Usage
Flow Cytometry
0.5 - 1 ug/million cells
Immunohistochemistry-Paraffin
1 - 2 ug/ml
Application Notes
Immunohistochemistry (Formalin-fixed): 1-2ug/ml for 30 minutes at RT. Staining of formalin-fixed tissues requires heating tissue sections in 10mM Tris with 1mM EDTA, pH 9.0, for 45 min at 95C followed by cooling at RT for 20 minutes.
Optimal dilution for a specific application should be determined.
Optimal dilution for a specific application should be determined.
Formulation, Preparation, and Storage
Purification
Protein A or G purified
Formulation
10 mM PBS
Format
Azide and BSA Free
Preservative
No Preservative
Concentration
1 mg/ml
Shipping
The product is shipped with polar packs. Upon receipt, store it immediately at the temperature recommended below.
Stability & Storage
Store at -20 to -80C. Avoid freeze-thaw cycles.
Background: CD31/PECAM-1
PECAM's intracellular cytoplasmic domain consists of a sequence of 118 amino acids and contains serine and tyrosine (also referred to as immunoreceptor tyrosine-based inhibitory motifs-ITIMs) residues, which may be phosphorylated upon cellular stimulation (3). ITIMs are phosphorylated by Src-family kinases and non-Src family kinases (e.g., Csk), leading to a conformational change which supports interactions with Src homology 2 (SH2) domain containing proteins such as protein-tyrosine phosphatase, SHP-2 (1,2). Formation of SHP-2/PECAM-1 complexes induces endothelial cell migration through the dephosphorylation of focal adhesion kinase and regulation of RhoA activity (1). Signaling downstream of ITIM tyrosine phosphorylations also plays a role in PECAM's anti-apoptotic activity, a function which is independent of its interaction with SHP-2. In platelets and leukocytes, phosphorylation of PECAM's cytosolic domain is inhibitory, preventing their activation.
References
1. Lertkiatmongkol, P., Liao, D., Mei, H., Hu, Y., & Newman, P. J. (2016). Endothelial functions of PECAM-1 (CD31). Current Opinion in Hematology. https://doi.org/10.1097/MOH.0000000000000239.Endothelial
2. Privratsky, J. R., & Newman, P. J. (2014). PECAM-1: Regulator of endothelial junctional integrity. Cell and Tissue Research. https://doi.org/10.1007/s00441-013-1779-3
3. Newman, P. J., & Newman, D. K. (2003). Signal transduction pathways mediated by PECAM-1: New roles for an old molecule in platelet and vascular cell biology. Arteriosclerosis, Thrombosis, and Vascular Biology. https://doi.org/10.1161/01.ATV.0000071347.69358.D9
Long Name
Platelet Endothelial Cell Adhesion Molecule 1
Alternate Names
CD31, EndoCAM, PECA1, PECAM-1, PECAM1
Gene Symbol
PECAM1
Additional CD31/PECAM-1 Products
Product Documents for CD31/PECAM-1 Antibody (C31/1395R) - Azide and BSA Free
Product Specific Notices for CD31/PECAM-1 Antibody (C31/1395R) - Azide and BSA Free
This product is for research use only and is not approved for use in humans or in clinical diagnosis. Primary Antibodies are guaranteed for 1 year from date of receipt.
Loading...
Loading...
Loading...
Loading...
Loading...