Skip to main content

CD300e/LMIR6 Antibody - BSA Free

Novus Biologicals, part of Bio-Techne | Catalog # NBP1-84592

Novus Biologicals, part of Bio-Techne
Catalog #
Availability
Size / Price
Qty
Loading...
NBP1-84592
NBP1-84592-25ul

Key Product Details

Species Reactivity

Human

Applications

Immunohistochemistry, Immunohistochemistry-Paraffin, Western Blot

Label

Unconjugated

Antibody Source

Polyclonal Rabbit IgG

Format

BSA Free

Concentration

Concentrations vary lot to lot. See vial label for concentration. If unlisted please contact technical services.

Product Specifications

Immunogen

This antibody was developed against Recombinant Protein corresponding to amino acids: TVWCQYESMYKGYNKYWCRGQYDTSCESIVETKGEEKVERNGRVSIRDHPEALAFTVTMQNLNEDDAGSYWCKIQTVWVLDSWSRDPSDLVRVYVSPAITTPRRTTHPATPPIFLVVNPGRNLSTGEVLTQNSGFR

Clonality

Polyclonal

Host

Rabbit

Isotype

IgG

Description

Novus Biologicals Rabbit CD300e/LMIR6 Antibody - BSA Free (NBP1-84592) is a polyclonal antibody validated for use in IHC and WB. All Novus Biologicals antibodies are covered by our 100% guarantee.

Scientific Data Images for CD300e/LMIR6 Antibody - BSA Free

Immunohistochemistry-Paraffin: CD300e/LMIR6 Antibody [NBP1-84592]

Immunohistochemistry-Paraffin: CD300e/LMIR6 Antibody [NBP1-84592]

Immunohistochemistry-Paraffin: CD300e/LMIR6 Antibody [NBP1-84592] - Staining of human bone marrow shows moderate cytoplasmic positivity in subsets of hematopoietic cells.
Immunohistochemistry-Paraffin: CD300e/LMIR6 Antibody [NBP1-84592]

Immunohistochemistry-Paraffin: CD300e/LMIR6 Antibody [NBP1-84592]

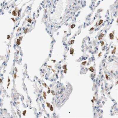
Immunohistochemistry-Paraffin: CD300e/LMIR6 Antibody [NBP1-84592] - Staining of human lung shows moderate to strong cytoplasmic positivity in macrophages.
Immunohistochemistry-Paraffin: CD300e/LMIR6 Antibody [NBP1-84592]

Immunohistochemistry-Paraffin: CD300e/LMIR6 Antibody [NBP1-84592]

Immunohistochemistry-Paraffin: CD300e/LMIR6 Antibody [NBP1-84592] - Staining of human skeletal muscle shows no positivity in myocytes as expected.

Applications for CD300e/LMIR6 Antibody - BSA Free

Application
Recommended Usage

Immunohistochemistry

1:50 - 1:200

Immunohistochemistry-Paraffin

1:50 - 1:200

Western Blot

0.04-0.4 ug/ml
Application Notes
For IHC-Paraffin, HIER pH 6 retrieval is recommended.

Formulation, Preparation, and Storage

Purification

Affinity purified

Formulation

PBS (pH 7.2) and 40% Glycerol

Format

BSA Free

Preservative

0.02% Sodium Azide

Concentration

Concentrations vary lot to lot. See vial label for concentration. If unlisted please contact technical services.

Shipping

The product is shipped with polar packs. Upon receipt, store it immediately at the temperature recommended below.

Stability & Storage

Store at 4C short term. Aliquot and store at -20C long term. Avoid freeze-thaw cycles.

Background: CD300e/LMIR6

CD300LE is an activating receptor of the immunoglobulin (Ig) superfamily expressed on myeloid cells. It mediates activating signals by interacting with DAP12 (TYROBP; MIM 604142) (Aguilar et al., 2004 [PubMed 15557162]).[supplied by OMIM]

Alternate Names

CD300e, CD300LE, CLM2, IREM-2, LMIR6

Gene Symbol

CD300E

Additional CD300e/LMIR6 Products

Product Documents for CD300e/LMIR6 Antibody - BSA Free

Certificate of Analysis

To download a Certificate of Analysis, please enter a lot number in the search box below.

Product Specific Notices for CD300e/LMIR6 Antibody - BSA Free

This product is for research use only and is not approved for use in humans or in clinical diagnosis. Primary Antibodies are guaranteed for 1 year from date of receipt.

Loading...
Loading...
Loading...
Loading...