Skip to main content

CD3 gamma Antibody (JB38-29)

Novus Biologicals, part of Bio-Techne | Catalog # NBP2-75435

Recombinant Monoclonal Antibody.
Novus Biologicals, part of Bio-Techne
Catalog #
Availability
Size / Price
Qty
Loading...
NBP2-75435

Key Product Details

Species Reactivity

Human, Mouse

Applications

Flow Cytometry, Immunohistochemistry-Paraffin, Immunoprecipitation, Western Blot

Label

Unconjugated

Antibody Source

Recombinant Monoclonal Rabbit IgG Clone # JB38-29 expressed in HEK293

Concentration

1 mg/ml

Product Specifications

Immunogen

Synthetic peptide within Human CD3 gamma aa 133-182 / 182. (SwissProt: P09693 Human; SwissProt: P11942 Mouse)

Localization

Cell membrane.

Clonality

Monoclonal

Host

Rabbit

Isotype

IgG

Theoretical MW

20 kDa.
Disclaimer note: The observed molecular weight of the protein may vary from the listed predicted molecular weight due to post translational modifications, post translation cleavages, relative charges, and other experimental factors.

Description

Novus Biologicals Rabbit CD3 gamma Antibody (JB38-29) (NBP2-75435) is a recombinant monoclonal antibody validated for use in IHC, WB, Flow and IP. All Novus Biologicals antibodies are covered by our 100% guarantee.

Scientific Data Images for CD3 gamma Antibody (JB38-29)

Western Blot: CD3 gamma Antibody (JB38-29) [NBP2-75435]

Western Blot: CD3 gamma Antibody (JB38-29) [NBP2-75435]

Western Blot: CD3 gamma Antibody (JB38-29) [NBP2-75435] - Western blot analysis of CD3G on mouse thymus tissue lysates. Proteins were transferred to a PVDF membrane and blocked with 5% BSA in PBS for 1 hour at room temperature. The primary antibody (1/500) was used in 5% BSA at room temperature for 2 hours. Goat Anti-Rabbit IgG - HRP Secondary Antibody (HA1001) at 1:5,000 dilution was used for 1 hour at room temperature.
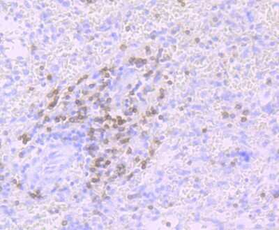
Immunohistochemistry-Paraffin: CD3 gamma Antibody (JB38-29) [NBP2-75435]

Immunohistochemistry-Paraffin: CD3 gamma Antibody (JB38-29) [NBP2-75435]

Immunohistochemistry-Paraffin: CD3 gamma Antibody (JB38-29) [NBP2-75435] - Analysis of paraffin-embedded human spleen tissue using anti-CD3G antibody. Counter stained with hematoxylin.
Flow Cytometry: CD3 gamma Antibody (JB38-29) [NBP2-75435]

Flow Cytometry: CD3 gamma Antibody (JB38-29) [NBP2-75435]

Flow Cytometry: CD3 gamma Antibody (JB38-29) [NBP2-75435] - Analysis of Jurkat cells with CD3G antibody at 1/100 dilution (red) compared with an unlabelled control (cells without incubation with primary antibody; black). Alexa Fluor 488-conjugated goat anti-rabbit IgG was used as the secondary antibody.

Applications for CD3 gamma Antibody (JB38-29)

Application
Recommended Usage

Flow Cytometry

1:50-1:100

Immunohistochemistry-Paraffin

1:50-1:200

Immunoprecipitation

1:10 - 1:500

Western Blot

1:500-1:2000

Formulation, Preparation, and Storage

Purification

Protein A purified

Formulation

TBS (pH7.4), 0.05% BSA, 40% Glycerol

Preservative

0.05% Sodium Azide

Concentration

1 mg/ml

Shipping

The product is shipped with polar packs. Upon receipt, store it immediately at the temperature recommended below.

Stability & Storage

Store at 4C short term. Aliquot and store at -20C long term. Avoid freeze-thaw cycles.

Background: CD3 gamma

CD3G is encoded by this gene is the CD3-gamma polypeptide, which together with CD3-epsilon, -delta and -zeta, and the T-cell receptor alpha/beta and gamma/delta heterodimers, forms the T-cell receptor-CD3 complex. This complex plays an important role in coupling antigen recognition to several intracellular signal-transduction pathways. The genes encoding the epsilon, gamma and delta polypeptides are located in the same cluster on chromosome 11. Defects in this gene are associated with T cell immunodeficiency.

Alternate Names

CD3g, IMD17, T3G

Gene Symbol

CD3G

Additional CD3 gamma Products

Product Documents for CD3 gamma Antibody (JB38-29)

Certificate of Analysis

To download a Certificate of Analysis, please enter a lot number in the search box below.

Product Specific Notices for CD3 gamma Antibody (JB38-29)

This product is for research use only and is not approved for use in humans or in clinical diagnosis. Primary Antibodies are guaranteed for 1 year from date of receipt.

Loading...
Loading...
Loading...
Loading...
Loading...