Skip to main content

CD161 Antibody (14F1F11) - BSA Free

Novus Biologicals, part of Bio-Techne | Catalog # NBP2-14845

Novus Biologicals, part of Bio-Techne
Catalog #
Availability
Size / Price
Qty
Loading...
NBP2-14845SS
NBP2-14845

Key Product Details

Species Reactivity

Validated:

Human

Cited:

Human

Applications

Validated:

Immunohistochemistry, Immunohistochemistry-Paraffin, Western Blot

Cited:

IF/IHC

Label

Unconjugated

Antibody Source

Monoclonal Mouse IgG1 kappa Clone # 14F1F11

Format

BSA Free

Concentration

1.0 mg/ml

Product Specifications

Immunogen

Amino acids 68-225 of human CD161 were used as the immunogen for this antibody.

Clonality

Monoclonal

Host

Mouse

Isotype

IgG1 kappa

Description

Novus Biologicals Mouse CD161 Antibody (14F1F11) - BSA Free (NBP2-14845) is a monoclonal antibody validated for use in IHC and WB. Anti-CD161 Antibody: Cited in 2 publications. All Novus Biologicals antibodies are covered by our 100% guarantee.

Scientific Data Images for CD161 Antibody (14F1F11) - BSA Free

Western Blot: CD161 Antibody (14F1F11)BSA Free [NBP2-14845]

Western Blot: CD161 Antibody (14F1F11)BSA Free [NBP2-14845]

Western Blot: CD161 Antibody (14F1F11) [NBP2-14845] - Analysis of a partial CD161 recombinant protein using CD161 antibody at 1 ug/ml.
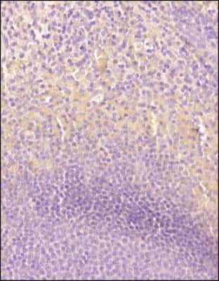
Immunohistochemistry-Paraffin: CD161 Antibody (14F1F11) - BSA Free [NBP2-14845]

Immunohistochemistry-Paraffin: CD161 Antibody (14F1F11) - BSA Free [NBP2-14845]

Immunohistochemistry-Paraffin: CD161 Antibody (14F1F11) - BSA Free [NBP2-14845] - Analysis of a FFPE tissue section of human spleen using 1:200 dilution of CD161 [14F1F11] antibody. The staining was developed using HRP labeled anti-rabbit secondary antibody and DAB reagent, and nuclei of cells were counter-stained with hematoxylin.
Immunohistochemistry-Paraffin: CD161 Antibody (14F1F11) - BSA Free [NBP2-14845]

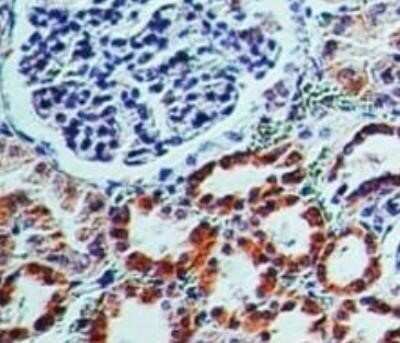
Immunohistochemistry-Paraffin: CD161 Antibody (14F1F11) - BSA Free [NBP2-14845]

Immunohistochemistry-Paraffin: CD161 Antibody (14F1F11) [NBP2-14845] - Analysis using Azide Free version of NBP2-14845. CD161 in human kidney using CD161 antibody at 5 ug/ml.

Applications for CD161 Antibody (14F1F11) - BSA Free

Application
Recommended Usage

Immunohistochemistry-Paraffin

5 ug/ml

Western Blot

1-5 ug/ml

Formulation, Preparation, and Storage

Purification

Protein G purified

Formulation

PBS

Format

BSA Free

Preservative

0.05% Sodium Azide

Concentration

1.0 mg/ml

Shipping

The product is shipped with polar packs. Upon receipt, store it immediately at the temperature recommended below.

Stability & Storage

Store at 4C short term. Aliquot and store at -20C long term. Avoid freeze-thaw cycles.

Background: CD161

CD161 is a C-Type Lectin Receptor, also known as NKR-P1A, previously found on NKT cells and subsets of T-cells. Phenotyping of cells that are functionally producing IL-17 has shown the one constant marker is CD161. While it had been shown previously that human CD4+ cells that produce both IL-17 and IFNg give rise to Th17/Th1 cells, indicating common etiology of these two T cell subsets, a clear marker for cells producing IL-17 is CD161. In fact, all cells characterized as the following subsets CD4+TCRab+, CD8+TCRab+, CD4-CD8-TCRab+, and CD4-CD8-TCRgd+ bearing CD161 also produce IL-17 but cells of these same phenotypes and functional marker which do not bear CD161 also do not produce IL-17. Induction of CD161 expression by transduction with RORC also induces IL-1R and IL-23R as well as the ability to produce IL-17. The ability to produce IL-17 and the induction of CD161 shows a strong dependency for RORC. Antibody to CD161 provides a probe for identifying IL-17 producing cells and offers a finer delineation of additional subsets derived from Th17 and their functional characteristics through cytokine mRNA expression or production.

Alternate Names

CD161, CLEC5B, KLRB1, Ly59, NKR, NKRP1, NKRP1A

Gene Symbol

KLRB1

UniProt

Additional CD161 Products

Product Documents for CD161 Antibody (14F1F11) - BSA Free

Certificate of Analysis

To download a Certificate of Analysis, please enter a lot number in the search box below.

Product Specific Notices for CD161 Antibody (14F1F11) - BSA Free

This product is for research use only and is not approved for use in humans or in clinical diagnosis. Primary Antibodies are guaranteed for 1 year from date of receipt.

Loading...
Loading...
Loading...
Loading...