Skip to main content

CD14 Antibody (SC69-02)

Novus Biologicals, part of Bio-Techne | Catalog # NBP2-67630

Recombinant Monoclonal Antibody.
Novus Biologicals, part of Bio-Techne
Catalog #
Availability
Size / Price
Qty
Loading...
NBP2-67630

Key Product Details

Species Reactivity

Human, Mouse

Applications

Multiplex Immunofluorescence, Immunohistochemistry, Immunohistochemistry-Paraffin, Western Blot, Immunocytochemistry/ Immunofluorescence

Label

Unconjugated

Antibody Source

Recombinant Monoclonal Rabbit IgG Clone # SC69-02 expressed in HEK293

Concentration

1 mg/ml

Product Specifications

Immunogen

Synthetic peptide within Human CD14 aa 310-335 / 375. (SwissProt: P08571 Human; SwissProt: P10810 Mouse)

Localization

Cell membrane, Secreted, Golgi apparatus, Membrane raft.

Clonality

Monoclonal

Host

Rabbit

Isotype

IgG

Description

Novus Biologicals Rabbit CD14 Antibody (SC69-02) (NBP2-67630) is a recombinant monoclonal antibody validated for use in Multiplex Immunofluorescence, IHC, WB and ICC/IF. Anti-CD14 Antibody: Cited in 2 publications. All Novus Biologicals antibodies are covered by our 100% guarantee.

Scientific Data Images for CD14 Antibody (SC69-02)

Western Blot: CD14 Antibody (SC69-02) [NBP2-67630]

Western Blot: CD14 Antibody (SC69-02) [NBP2-67630]

Western Blot: CD14 Antibody (SC69-02) [NBP2-67630] - Analysis of CD14 on NIH/3T3 cell lysates with Rabbit anti-CD14 antibody at 1/500 dilution. Lysates/proteins at 10 ug/Lane. Predicted band size: 40 kDa Observed band size: 65 kDa Exposure time: 2 minutes; 8% SDS-PAGE gel. Proteins were transferred to a PVDF membrane and blocked with 5% NFDM/TBST for 1 hour at room temperature. The primary antibody at 1/500 dilution was used in 5% NFDM/TBST at room temperature for 2 hours. Goat Anti-Rabbit IgG - HRP Secondary Antibody at 1:300,000 dilution was used for 1 hour at room temperature.
Immunocytochemistry/ Immunofluorescence: CD14 Antibody (SC69-02) [NBP2-67630]

Immunocytochemistry/ Immunofluorescence: CD14 Antibody (SC69-02) [NBP2-67630]

Immunocytochemistry/Immunofluorescence: CD14 Antibody (SC69-02) [NBP2-67630] - Staining CD14 in NCCIT cells (green). The nuclear counter stain is DAPI (blue). Cells were fixed in paraformaldehyde, permeabilised with 0.25% Triton X100/PBS.
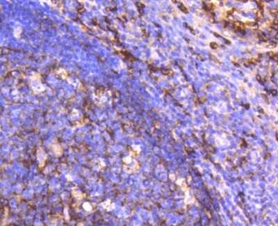
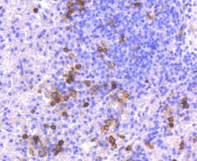
Immunohistochemistry-Paraffin: CD14 Antibody (SC69-02) [NBP2-67630]

Immunohistochemistry-Paraffin: CD14 Antibody (SC69-02) [NBP2-67630]

Immunohistochemistry-Paraffin: CD14 Antibody (SC69-02) [NBP2-67630] - Analysis of paraffin-embedded human lymph nodes tissue with Rabbit anti-CD14 antibody washed with ddH2O and PBS, and then probed with the primary antibody at 1/800 dilution for 1 hour at room temperature. The detection was performed using an HRP conjugated compact polymer system. DAB was used as the chromogen. Tissues were counterstained with hematoxylin and mounted with DPX.

Applications for CD14 Antibody (SC69-02)

Application
Recommended Usage

Immunocytochemistry/ Immunofluorescence

1:50-1:200

Immunohistochemistry-Paraffin

1:50-1:800

Multiplex Immunofluorescence

1:800-1:1000

Western Blot

1:500-1:2000

Formulation, Preparation, and Storage

Purification

Protein A purified

Formulation

TBS (pH7.4), 0.05% BSA, 40% Glycerol

Preservative

0.05% Sodium Azide

Concentration

1 mg/ml

Shipping

The product is shipped with polar packs. Upon receipt, store it immediately at the temperature recommended below.

Stability & Storage

Store at 4C short term. Aliquot and store at -20C long term. Avoid freeze-thaw cycles.

Background: CD14

CD14 is a 53-55 kD glycosylphosphatidylinositol (GPI)-linked membrane glycoprotein also known as LPS receptor. CD14 is expressed at high levels on monocytes and macrophages, and at lower levels on granulocytes. Some dendritic cell populations such as interfollicular dendritic cells, reticular dendritic cells, and Langerhans cells have also been reported to express CD14. As a high-affinity receptor for LPS, CD14 is involved in the clearance of gram-negative pathogens and in the upregulation of adhesion molecules and cytokines expression in monocytes and neutrophils. The M5E2 antibody inhibits monocyte activation and cytokine production induced by LPS.

Alternate Names

CD14

Gene Symbol

CD14

Additional CD14 Products

Product Documents for CD14 Antibody (SC69-02)

Certificate of Analysis

To download a Certificate of Analysis, please enter a lot number in the search box below.

Product Specific Notices for CD14 Antibody (SC69-02)

This product is for research use only and is not approved for use in humans or in clinical diagnosis. Primary Antibodies are guaranteed for 1 year from date of receipt.

Loading...
Loading...
Loading...
Loading...