Skip to main content

CCR3 Antibody - BSA Free

Novus Biologicals, part of Bio-Techne | Catalog # NBP1-77065

Novus Biologicals, part of Bio-Techne

Key Product Details

Species Reactivity

Human, Mouse, Rat

Applications

Immunohistochemistry, Immunohistochemistry-Paraffin, Western Blot, ELISA, Immunocytochemistry/ Immunofluorescence

Label

Unconjugated

Antibody Source

Polyclonal Rabbit IgG

Format

BSA Free

Concentration

1 mg/ml

Product Specifications

Immunogen

Antibody was raised against a 14 amino acid synthetic peptide from near the carboxy terminus of human CCR3. The immunogen is located within the last 50 amino acids of CCR3. Amino Acid Squence: PSEKLERTSSVSPS

Specificity

At least three isoforms of CCR3 are known to exist; this antibody will detect all three isoforms.

Clonality

Polyclonal

Host

Rabbit

Isotype

IgG

Theoretical MW

52 kDa.
Disclaimer note: The observed molecular weight of the protein may vary from the listed predicted molecular weight due to post translational modifications, post translation cleavages, relative charges, and other experimental factors.

Description

Novus Biologicals Rabbit CCR3 Antibody - BSA Free (NBP1-77065) is a polyclonal antibody validated for use in IHC, WB, ELISA and ICC/IF. Anti-CCR3 Antibody: Cited in 2 publications. All Novus Biologicals antibodies are covered by our 100% guarantee.

Scientific Data Images for CCR3 Antibody - BSA Free

Western Blot: CCR3 AntibodyBSA Free [NBP1-77065]

Western Blot: CCR3 AntibodyBSA Free [NBP1-77065]

Western Blot: CCR3 Antibody [NBP1-77065] - Human spleen tissue lysates with CCR3 antibody at 1 (lane 1) and 2 ug/ml (lane 2), and 2 ug/ml in the presence of blocking peptide (lane 3).
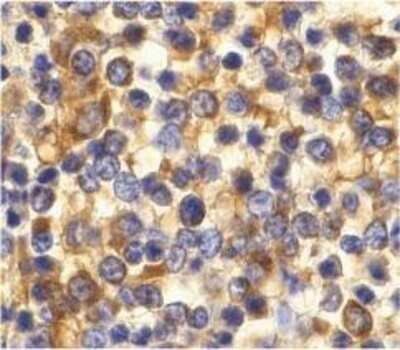
Immunohistochemistry-Paraffin: CCR3 Antibody - BSA Free [NBP1-77065]

Immunohistochemistry-Paraffin: CCR3 Antibody - BSA Free [NBP1-77065]

Immunohistochemistry-Paraffin: CCR3 Antibody [NBP1-77065] - Human spleen tissue with CCR3 antibody at 10 ug/ml.
CCR3 Antibody - BSA Free

Immunocytochemistry/ Immunofluorescence: CCR3 Antibody - BSA Free [NBP1-77065] -

Immunocytochemistry/ Immunofluorescence: CCR3 Antibody - BSA Free [NBP1-77065] - Immunofluorescence of CCR3 in Human Spleen tissue with CCR3 antibody at 20 ug/mL.

Applications for CCR3 Antibody - BSA Free

Application
Recommended Usage

ELISA

1:100-1:2000

Immunocytochemistry/ Immunofluorescence

20 ug/ml

Immunohistochemistry

10 ug/ml

Immunohistochemistry-Paraffin

10 ug/ml

Western Blot

1-2 ug/ml

Formulation, Preparation, and Storage

Purification

Peptide affinity purified

Formulation

PBS

Format

BSA Free

Preservative

0.02% Sodium Azide

Concentration

1 mg/ml

Shipping

The product is shipped with polar packs. Upon receipt, store it immediately at the temperature recommended below.

Stability & Storage

Store at 4C.

Background: CCR3

Human immunodeficiency virus (HIV) and related virus require coreceptors to infect target cells. Some G protein-coupled receptors including CCR5, CXCR4, CCR3, CCR2b, CCR8, GPR15, STRL33, and CX3CR1 in the chemokine receptor family were recently identified as HIV coreceptors. CCR5, CXCR4 and CCR3 are the principal receptors for HIV fusion and entry of target cells. CCR3 facilitates infection by a subset of virus. CCR3 and CCR5 promote efficient infection of microglia, the major target cells in the CNS. High levels of CCR3 and CXCR4 expression were found on the neurons from both the central and peripheral nervous systems. The CCR3 ligand, eotaxin, and an anti-CCR3 antibody inhibited HIV infection of microglia. These results indicate CCR3 plays an important role in HIV infection of CNS.

Alternate Names

CCR3, CD193

Gene Symbol

CCR3

Additional CCR3 Products

Product Documents for CCR3 Antibody - BSA Free

Certificate of Analysis

To download a Certificate of Analysis, please enter a lot number in the search box below.

Product Specific Notices for CCR3 Antibody - BSA Free

This product is for research use only and is not approved for use in humans or in clinical diagnosis. Primary Antibodies are guaranteed for 1 year from date of receipt.

Loading...
Loading...
Loading...
Loading...