Skip to main content

CCR2 Antibody (SN707)

Novus Biologicals, part of Bio-Techne | Catalog # NBP2-67700

Recombinant Monoclonal Antibody.
Novus Biologicals, part of Bio-Techne
Catalog #
Availability
Size / Price
Qty
Loading...
NBP2-67700

Key Product Details

Species Reactivity

Validated:

Human, Mouse

Cited:

Human, Mouse

Applications

Validated:

Immunohistochemistry, Immunohistochemistry-Paraffin, Western Blot, Flow Cytometry, Immunoprecipitation

Cited:

Immunohistochemistry, Immunohistochemistry-Paraffin, Western Blot, IF/IHC

Label

Unconjugated

Antibody Source

Recombinant Monoclonal Rabbit IgG Clone # SN707 expressed in HEK293

Concentration

1 mg/ml

Product Specifications

Immunogen

Synthetic peptide within N-terminal human CCR2. (SwissProt: P41597 Human; SwissProt: P51683 Mouse)

Localization

Cell membrane.

Clonality

Monoclonal

Host

Rabbit

Isotype

IgG

Description

Novus Biologicals Rabbit CCR2 Antibody (SN707) (NBP2-67700) is a recombinant monoclonal antibody validated for use in IHC, WB, Flow and IP. Anti-CCR2 Antibody: Cited in 5 publications. All Novus Biologicals antibodies are covered by our 100% guarantee.

Scientific Data Images for CCR2 Antibody (SN707)

Western Blot: CCR2 Antibody (SN707) [NBP2-67700]

Western Blot: CCR2 Antibody (SN707) [NBP2-67700]

Western Blot: CCR2 Antibody (SN707) [NBP2-67700] - Analysis of CCR2 on different lysates. Proteins were transferred to a PVDF membrane and blocked with 5% BSA in PBS for 1 hour at room temperature. The primary antibody (1/500) was used in 5% BSA at room temperature for 2 hours. Goat Anti-Rabbit IgG - HRP Secondary Antibody at 1:5,000 dilution was used for 1 hour at room temperature. Positive control: Lane 1: Mouse spleen tissue lysateLane 2: THP-1 cell lysate
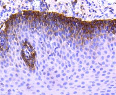
Immunohistochemistry-Paraffin: CCR2 Antibody (SN707) [NBP2-67700]

Immunohistochemistry-Paraffin: CCR2 Antibody (SN707) [NBP2-67700]

Immunohistochemistry-Paraffin: CCR2 Antibody (SN707) [NBP2-67700] - Analysis of paraffin-embedded human esophagus tissue with Rabbit anti-CCR2 antibody washed with ddH2O and PBS, and then probed with the primary antibody at 1/400 dilution for 1 hour at room temperature. The detection was performed using an HRP conjugated compact polymer system. DAB was used as the chromogen. Tissues were counterstained with hematoxylin and mounted with DPX.
Flow Cytometry: CCR2 Antibody (SN707) [NBP2-67700]

Flow Cytometry: CCR2 Antibody (SN707) [NBP2-67700]

Flow Cytometry: CCR2 Antibody (SN707) [NBP2-67700] - Analysis of K562 cells with CCR2 antibody at 1/50 dilution (red) compared with an unlabelled control (cells without incubation with primary antibody; black). Alexa Fluor 488-conjugated goat anti rabbit IgG was used as the secondary antibody

Applications for CCR2 Antibody (SN707)

Application
Recommended Usage

Flow Cytometry

1:50-1:100

Immunohistochemistry-Paraffin

1:50-1:200

Western Blot

1:500-1:1000
Application Notes
IP: Use at an assay dependent concentration.

Formulation, Preparation, and Storage

Purification

Protein A purified

Formulation

TBS (pH7.4), 0.05% BSA, 40% Glycerol

Preservative

0.05% Sodium Azide

Concentration

1 mg/ml

Shipping

The product is shipped with polar packs. Upon receipt, store it immediately at the temperature recommended below.

Stability & Storage

Store at 4C short term. Aliquot and store at -20C long term. Avoid freeze-thaw cycles.

Background: CCR2

CCR2, or C C chemokine receptor type 2, is a receptor for several monocyte chemo attractant proteins (MCP1, MCP3, MCP4) which specifically mediate monocyte chemotaxis. CCR2 transduces such signals by increasing the intracellular level of calcium ions. For example, MCP1 is involved in monocyte infiltration in inflammatory diseases such as rheumatoid arthritis as well as in the inflammatory response against tumors. CCR2 is also an alternative coreceptor with CD4 for HIV1 infection. CCR2 has two isoforms and has been reported to be expressed in a wide variety of tissues, including blood, brain, heart, kidney, liver, lung, ovary, pancreas, spinal cord, spleen and thymus.

Alternate Names

CC-CKR-2, CCR2, CCR2B, CD192, CKR2, CKR2A, CMKBR2, FLJ78302, MCP-1-R

Gene Symbol

CCR2

Additional CCR2 Products

Product Documents for CCR2 Antibody (SN707)

Certificate of Analysis

To download a Certificate of Analysis, please enter a lot number in the search box below.

Product Specific Notices for CCR2 Antibody (SN707)

This product is for research use only and is not approved for use in humans or in clinical diagnosis. Primary Antibodies are guaranteed for 1 year from date of receipt.

Loading...
Loading...
Loading...
Loading...
Loading...