Skip to main content

CCR2 Antibody (3G7) - Azide and BSA Free

Novus Biologicals, part of Bio-Techne | Catalog # NBP2-80623

Novus Biologicals, part of Bio-Techne
Catalog #
Availability
Size / Price
Qty
Loading...
NBP2-80623

Key Product Details

Species Reactivity

Human, Mouse

Applications

Immunohistochemistry, Immunohistochemistry-Paraffin, Western Blot, Immunocytochemistry/ Immunofluorescence

Label

Unconjugated

Antibody Source

Monoclonal Mouse IgG2b Lambda Clone # 3G7

Format

Azide and BSA Free

Concentration

1 mg/ml

Product Specifications

Immunogen

A synthetic peptide made to an N-terminal portion of the human CD63 protein (between residues 1-100) [UniProt P41597]

Reactivity Notes

Immunogen's sequence similarity with other species: Mouse (74%), Rabbit (57%).

Localization

Cell membrane

Clonality

Monoclonal

Host

Mouse

Isotype

IgG2b Lambda

Description

Novus Biologicals Mouse CCR2 Antibody (3G7) - Azide and BSA Free (NBP2-35334) is a monoclonal antibody validated for use in IHC, WB and ICC/IF. All Novus Biologicals antibodies are covered by our 100% guarantee.

Scientific Data Images for CCR2 Antibody (3G7) - Azide and BSA Free

Western Blot: CCR2 Antibody (3G7)Azide and BSA Free [NBP2-80623]

Western Blot: CCR2 Antibody (3G7)Azide and BSA Free [NBP2-80623]

Western Blot: CCR2 Antibody (3G7) - Azide and BSA Free [NBP2-80623] - Western blot analysis of CCR2 [3G7] in Molt4 lysate. Image from the standard format of this antibody.
Immunocytochemistry: CCR2 Antibody (3G7) - Azide and BSA Free [NBP2-80623]

Immunocytochemistry: CCR2 Antibody (3G7) - Azide and BSA Free [NBP2-80623]

Immunocytochemistry: CCR2 Antibody (3G7) - Azide and BSA Free [NBP2-80623] - IHC analysis of formalin-fixed paraffin-embedded tissue section of human HCC (hepatocellular carcinoma / malignant hepatoma) using CCR2 antibody (clone 3G7) at 5 ug/ml concentration. The cancer cells depicted specific punctate to diffused cytoplasmic-memb
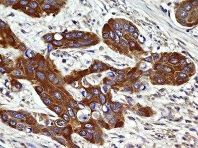
Immunohistochemistry: CCR2 Antibody (3G7) - Azide and BSA Free [NBP2-80623]

Immunohistochemistry: CCR2 Antibody (3G7) - Azide and BSA Free [NBP2-80623]

Immunohistochemistry: CCR2 Antibody (3G7) - Azide and BSA Free [NBP2-80623] - IHC analysis of formalin-fixed paraffin-embedded tissue section of human esophageal squamous cell carcinoma (SCC) using CCR2 antibody (clone 3G7) at 5 ug/ml concentration. The cancer cells depicted specific cytoplasmic-membranous immunostaining, whereas t

Applications for CCR2 Antibody (3G7) - Azide and BSA Free

Application
Recommended Usage

Immunohistochemistry

5 ug/ml

Immunohistochemistry-Paraffin

5 ug/ml

Western Blot

2 ug/ml

Formulation, Preparation, and Storage

Purification

Protein G purified

Formulation

PBS

Format

Azide and BSA Free

Preservative

No Preservative

Concentration

1 mg/ml

Shipping

The product is shipped with polar packs. Upon receipt, store it immediately at the temperature recommended below.

Stability & Storage

Store at 4C short term. Aliquot and store at -20C long term. Avoid freeze-thaw cycles.

Background: CCR2

CCR2, or C-C chemokine receptor type 2, is a receptor for several monocyte chemo attractant proteins (MCP1, MCP3, MCP4) which specifically mediate monocyte chemotaxis. CCR2 transduces such signals by increasing the intracellular level of calcium ions. For example, MCP1 is involved in monocyte infiltration in inflammatory diseases such as rheumatoid arthritis as well as in the inflammatory response against tumors. CCR2 is also an alternative coreceptor with CD4 for HIV1 infection. CCR2 has two isoforms and has been reported to be expressed in a wide variety of tissues, including blood, brain, heart, kidney, liver, lung, ovary, pancreas, spinal cord, spleen and thymus.

Alternate Names

CC-CKR-2, CCR2, CCR2B, CD192, CKR2, CKR2A, CMKBR2, FLJ78302, MCP-1-R

Gene Symbol

CCR2

Additional CCR2 Products

Product Documents for CCR2 Antibody (3G7) - Azide and BSA Free

Certificate of Analysis

To download a Certificate of Analysis, please enter a lot number in the search box below.

Product Specific Notices for CCR2 Antibody (3G7) - Azide and BSA Free

This product is for research use only and is not approved for use in humans or in clinical diagnosis. Primary Antibodies are guaranteed for 1 year from date of receipt.

Loading...
Loading...
Loading...
Loading...