Skip to main content

CCNB1IP1 Antibody (OTI4H3) - Azide and BSA Free

Novus Biologicals, part of Bio-Techne | Catalog # NBP2-72106

Novus Biologicals, part of Bio-Techne
Catalog #
Availability
Size / Price
Qty
Loading...
NBP2-72106
Conjugate
Catalog #

Key Product Details

Species Reactivity

Human, Mouse, Rat

Applications

Immunohistochemistry, Immunohistochemistry-Paraffin, Western Blot, Flow Cytometry, CyTOF-ready

Label

Unconjugated

Antibody Source

Monoclonal Mouse IgG1 Clone # OTI4H3

Format

Azide and BSA Free

Concentration

LYOPH mg/ml

Product Specifications

Immunogen

Full length human recombinant protein of human CCNB1IP1 (NP_878269) produced in E.coli.

Reactivity Notes

Please note that this antibody is reactive to Mouse and derived from the same host, Mouse. Mouse-On-Mouse blocking reagent may be needed for IHC and ICC experiments to reduce high background signal. You can find these reagents under catalog numbers PK-2200-NB and MP-2400-NB. Please contact Technical Support if you have any questions.

Clonality

Monoclonal

Host

Mouse

Isotype

IgG1

Theoretical MW

31.4 kDa.
Disclaimer note: The observed molecular weight of the protein may vary from the listed predicted molecular weight due to post translational modifications, post translation cleavages, relative charges, and other experimental factors.

Scientific Data Images for CCNB1IP1 Antibody (OTI4H3) - Azide and BSA Free

Western Blot: CCNB1IP1 Antibody (OTI4H3)Azide and BSA Free [NBP2-72106]

Western Blot: CCNB1IP1 Antibody (OTI4H3)Azide and BSA Free [NBP2-72106]

Western Blot: CCNB1IP1 Antibody (OTI4H3) - Azide and BSA Free [NBP2-72106] - HEK293T cells were transfected with the pCMV6-ENTRY control (Left lane) or pCMV6-ENTRY CCNB1IP1 (Right lane) cDNA for 48 hrs and lysed. Equivalent amounts of cell lysates (5 ug per lane) were separated by SDS-PAGE and immunoblotted with anti-CCNB1IP1.
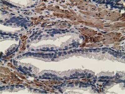
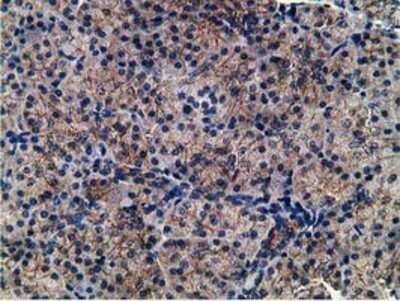
Immunohistochemistry: CCNB1IP1 Antibody (OTI4H3) - Azide and BSA Free [NBP2-72106]

Immunohistochemistry: CCNB1IP1 Antibody (OTI4H3) - Azide and BSA Free [NBP2-72106]

Immunohistochemistry: CCNB1IP1 Antibody (OTI4H3) - Azide and BSA Free [NBP2-72106] - Staining of paraffin-embedded Human pancreas tissue using anti-CCNB1IP1 mouse monoclonal antibody.
Flow Cytometry: CCNB1IP1 Antibody (OTI4H3) - Azide and BSA Free [NBP2-72106]

Flow Cytometry: CCNB1IP1 Antibody (OTI4H3) - Azide and BSA Free [NBP2-72106]

Flow Cytometry: CCNB1IP1 Antibody (OTI4H3) - Azide and BSA Free [NBP2-72106] - Analysis of Jurkat cells, using anti-CCNB1IP1 antibody, (Red), compared to a nonspecific negative control antibody (Blue).

Applications for CCNB1IP1 Antibody (OTI4H3) - Azide and BSA Free

Application
Recommended Usage

Flow Cytometry

1:100

Immunohistochemistry

1:150

Western Blot

1:500

Formulation, Preparation, and Storage

Purification

Immunogen affinity purified

Reconstitution

we recommend adding 100uL distilled water to a final antibody concentration of about 1 mg/mL. To use this carrier-free antibody for conjugation experiment, we strongly recommend performing another round of desalting process.

Formulation

Lyophilized from PBS (pH 7.3) with 8% Trehalose

Format

Azide and BSA Free

Preservative

No Preservative

Concentration

LYOPH mg/ml

Shipping

The product is shipped with polar packs. Upon receipt, store it immediately at the temperature recommended below.

Stability & Storage

Store at -20C. Avoid freeze-thaw cycles.

Background: CCNB1IP1

HEI10 is a member of the E3 ubiquitin ligase family and functions in progression of the cell cycle through G(2)/M.[supplied by OMIM]

Alternate Names

chromosome 14 open reading frame 18, cyclin B1 interacting protein 1, cyclin B1 interacting protein 1, E3 ubiquitin protein ligase, E3 ubiquitin-protein ligase CCNB1IP1, EC 6.3.2.-, enhancer of invasion 10, HEI10C14orf18Cyclin-B1-interacting protein 1, Human enhancer of invasion 10

Gene Symbol

CCNB1IP1

Additional CCNB1IP1 Products

Product Documents for CCNB1IP1 Antibody (OTI4H3) - Azide and BSA Free

Certificate of Analysis

To download a Certificate of Analysis, please enter a lot number in the search box below.

Product Specific Notices for CCNB1IP1 Antibody (OTI4H3) - Azide and BSA Free

This product is for research use only and is not approved for use in humans or in clinical diagnosis. Primary Antibodies are guaranteed for 1 year from date of receipt.

Loading...
Loading...
Loading...
Loading...
Loading...
Loading...