CCDC86 Antibody - BSA Free
Novus Biologicals, part of Bio-Techne | Catalog # NBP1-93501
Key Product Details
Validated by
Independent Antibodies
Species Reactivity
Human
Applications
Immunohistochemistry, Immunohistochemistry-Paraffin, Western Blot, Immunocytochemistry/ Immunofluorescence
Label
Unconjugated
Antibody Source
Polyclonal Rabbit IgG
Format
BSA Free
Concentration
Concentrations vary lot to lot. See vial label for concentration. If unlisted please contact technical services.
Product Specifications
Immunogen
This antibody was developed against Recombinant Protein corresponding to amino acids: LQQGAGLESPQGQPEPGAASPQRQQDLHLESPQRQPEYSPESPRCQPKPSEEAPKCSQDQGVLASELAQNKEELTPGAPQHQLPPV
Clonality
Polyclonal
Host
Rabbit
Isotype
IgG
Scientific Data Images for CCDC86 Antibody - BSA Free
Immunocytochemistry/ Immunofluorescence: CCDC86 Antibody [NBP1-93501]
Immunocytochemistry/Immunofluorescence: CCDC86 Antibody [NBP1-93501] - Staining of human cell line A-431 shows localization to nucleus & nucleoli.Immunohistochemistry-Paraffin: CCDC86 Antibody [NBP1-93501]
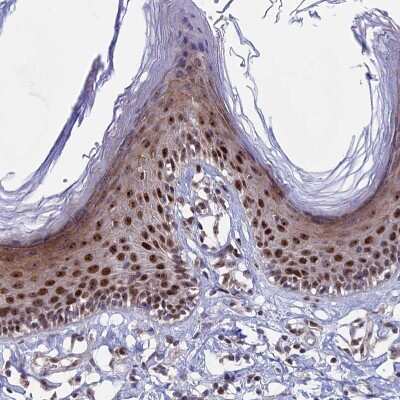
Immunohistochemistry-Paraffin: CCDC86 Antibody [NBP1-93501] - Staining of human Skin shows moderate nuclear positivity in squamous epithelial cells.Applications for CCDC86 Antibody - BSA Free
Application
Recommended Usage
Immunocytochemistry/ Immunofluorescence
0.25-2 ug/ml
Immunohistochemistry
1:1000 - 1:2500
Immunohistochemistry-Paraffin
1:1000-1:2500
Western Blot
0.04-0.4 µg/ml
Application Notes
For IHC-Paraffin, HIER pH 6 retrieval is recommended. ICC/IF,Fixation Permeabilization: Use PFA/Triton X-100.
Formulation, Preparation, and Storage
Purification
Affinity purified
Formulation
PBS (pH 7.2) and 40% Glycerol
Format
BSA Free
Preservative
0.02% Sodium Azide
Concentration
Concentrations vary lot to lot. See vial label for concentration. If unlisted please contact technical services.
Shipping
The product is shipped with polar packs. Upon receipt, store it immediately at the temperature recommended below.
Stability & Storage
Store at 4C short term. Aliquot and store at -20C long term. Avoid freeze-thaw cycles.
Background: CCDC86
Alternate Names
coiled-coil domain containing 86, CYCLON
Gene Symbol
CCDC86
Additional CCDC86 Products
Product Documents for CCDC86 Antibody - BSA Free
Product Specific Notices for CCDC86 Antibody - BSA Free
This product is for research use only and is not approved for use in humans or in clinical diagnosis. Primary Antibodies are guaranteed for 1 year from date of receipt.
Loading...
Loading...
Loading...
Loading...