Skip to main content

CCDC6 Antibody - BSA Free

Novus Biologicals, part of Bio-Techne | Catalog # NBP3-35636

Novus Biologicals, part of Bio-Techne
Catalog #
Availability
Size / Price
Qty
Loading...
NBP3-35636-100ul
NBP3-35636-20ul

Key Product Details

Species Reactivity

Human, Mouse, Rat

Applications

Immunohistochemistry, Immunohistochemistry-Paraffin, Western Blot, ELISA, Immunocytochemistry/ Immunofluorescence

Label

Unconjugated

Antibody Source

Polyclonal Rabbit IgG

Format

BSA Free

Concentration

Please see the vial label for concentration. If unlisted please contact technical services.

Product Specifications

Immunogen

Recombinant fusion protein containing a sequence corresponding to amino acids 55-222 of human CCDC6 (NP_005427.2).

Sequence:
RLEELTNRLASLQQENKVLKIELETYKLKCKALQEENRDLRKASVTIQARAEQEEEFISNTLFKKIQALQKEKETLAVNYEKEEEFLTNELSRKLMQLQHEKAELEQHLEQEQEFQVNKLMKKIKKLENDTISKQLTLEQLRREKIDLENTLEQEQEALVNRLWKRMD

Clonality

Polyclonal

Host

Rabbit

Isotype

IgG

Theoretical MW

53 kDa.
Disclaimer note: The observed molecular weight of the protein may vary from the listed predicted molecular weight due to post translational modifications, post translation cleavages, relative charges, and other experimental factors.

Description

Novus Biologicals Rabbit CCDC6 Antibody - BSA Free (NBP3-35636) is a polyclonal antibody validated for use in IHC, WB, ELISA and ICC/IF. All Novus Biologicals antibodies are covered by our 100% guarantee.

Scientific Data Images for CCDC6 Antibody - BSA Free

CCDC6 Antibody

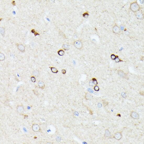
Immunohistochemistry: CCDC6 Antibody [NBP3-35636] -

Immunohistochemistry: CCDC6 Antibody [NBP3-35636] - Immunohistochemistry analysis of paraffin-embedded Rat brain using CCDC6 Rabbit pAb at dilution of 1:100 (40x lens). Microwave antigen retrieval performed with 0.01M PBS Buffer (pH 7.2) prior to IHC staining.
CCDC6 Antibody

Western Blot: CCDC6 Antibody [NBP3-35636] -

Western Blot: CCDC6 Antibody [NBP3-35636] - Western blot analysis of lysates from HeLa cells using CCDC6 Rabbit pAb at 1:1000 dilution.
Secondary antibody: HRP-conjugated Goat anti-Rabbit IgG (H+L) at 1:10000 dilution.
Lysates/proteins: 25 ug per lane.
Blocking buffer: 3% nonfat dry milk in TBST.
Detection: ECL Basic Kit.
Exposure time: 60s.
CCDC6 Antibody

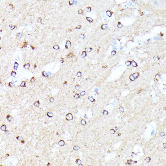
Immunohistochemistry: CCDC6 Antibody [NBP3-35636] -

Immunohistochemistry: CCDC6 Antibody [NBP3-35636] - Immunohistochemistry analysis of paraffin-embedded Human liver cancer using CCDC6 Rabbit pAb at dilution of 1:100 (40x lens). Microwave antigen retrieval performed with 0.01M PBS Buffer (pH 7.2) prior to IHC staining.

Applications for CCDC6 Antibody - BSA Free

Application
Recommended Usage

Immunocytochemistry/ Immunofluorescence

1:50 - 1:200

Immunohistochemistry-Paraffin

1:50 - 1:200

Western Blot

1:500 - 1:2000

Formulation, Preparation, and Storage

Purification

Affinity purified

Formulation

PBS (pH 7.3), 50% glycerol

Format

BSA Free

Preservative

0.01% Thimerosal

Concentration

Please see the vial label for concentration. If unlisted please contact technical services.

Shipping

The product is shipped with polar packs. Upon receipt, store it immediately at the temperature recommended below.

Stability & Storage

Store at -20C. Avoid freeze-thaw cycles.

Background: CCDC6

CCDC6 is the product of the H4(D10S170) gene identified as a gene that exhibits frequent rearrangement with RET in papillary thyroid tumors. Alternate names for CCDC6 include protein H4, PTC, and D10S170.

Alternate Names

coiled-coil domain containing 6, D10S170Protein H4, H4DNA segment on chromosome 10 (unique) 170, Papillary thyroid carcinoma-encoded protein, PTCFLJ32286, TPCcoiled-coil domain-containing protein 6, TST1

Gene Symbol

CCDC6

Additional CCDC6 Products

Product Documents for CCDC6 Antibody - BSA Free

Certificate of Analysis

To download a Certificate of Analysis, please enter a lot number in the search box below.

Product Specific Notices for CCDC6 Antibody - BSA Free

This product is for research use only and is not approved for use in humans or in clinical diagnosis. Primary Antibodies are guaranteed for 1 year from date of receipt.

Loading...
Loading...
Loading...
Loading...