Skip to main content

CCDC6 Antibody - Azide and BSA Free

Novus Biologicals, part of Bio-Techne | Catalog # NBP2-98985

Novus Biologicals, part of Bio-Techne
Catalog #
Availability
Size / Price
Qty
Loading...
NBP2-98985-50ul
NBP2-98985-100ul
Conjugate
Catalog #

Key Product Details

Species Reactivity

Validated:

Human

Predicted:

Mouse (100%). Backed by our 100% Guarantee.

Applications

Immunohistochemistry, Immunohistochemistry-Paraffin, Immunocytochemistry/ Immunofluorescence

Label

Unconjugated

Antibody Source

Polyclonal Rabbit IgG

Format

Azide and BSA Free

Concentration

Please see the vial label for concentration. If unlisted please contact technical services.

Product Specifications

Immunogen

Produced in rabbits immunized with a synthetic peptide corresponding to the C-terminus of the Human CCDC6.

Clonality

Polyclonal

Host

Rabbit

Isotype

IgG

Description

This antibody can be stored at 2C to 8C for one month without detectable loss of activity. Antibody products are stable for twelve months from date of receipt when stored at -20C to -80C. Avoid repeated freeze-thaw cycles.

Scientific Data Images for CCDC6 Antibody - Azide and BSA Free

Immunohistochemistry-Paraffin: CCDC6 Antibody [NBP2-98985]

Immunohistochemistry-Paraffin: CCDC6 Antibody [NBP2-98985]

Immunohistochemistry-Paraffin: CCDC6 Antibody [NBP2-98985] - Immunochemical staining of human CCDC6 in human urinary bladder with rabbit polyclonal antibody (1:500, formalin-fixed paraffin embedded sections).
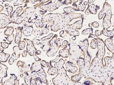
Immunohistochemistry-Paraffin: CCDC6 Antibody [NBP2-98985]

Immunohistochemistry-Paraffin: CCDC6 Antibody [NBP2-98985]

Immunohistochemistry-Paraffin: CCDC6 Antibody [NBP2-98985] - Immunochemical staining of human CCDC6 in human placenta with rabbit polyclonal antibody (1:500, formalin-fixed paraffin embedded sections).
CCDC6 Antibody - Azide and BSA Free

Immunocytochemistry/Immunofluorescence: CCDC6 Antibody [NBP2-98985] -

Immunocytochemistry/Immunofluorescence: CCDC6 Antibody [NBP2-98985] - Immunofluorescence staining of CCDC6 in HeLa cells. Cells were fixed with 4% PFA, permeabilzed with 0.3% Triton X-100 in PBS, blocked with 10% serum, and incubated with NBP2-98985 antibody (dilution ratio 1:1000) at 4C overnight. Then cells were stained with the Alexa Fluor$488-conjugated Goat Anti-rabbit IgG secondary antibody (green). Positive staining was localized to cytoplasm and nucleus.

Applications for CCDC6 Antibody - Azide and BSA Free

Application
Recommended Usage

Immunocytochemistry/ Immunofluorescence

1:300-1:10000

Immunohistochemistry-Paraffin

1:250-1:1000

Formulation, Preparation, and Storage

Purification

Antigen and protein A Affinity-purified

Formulation

0.2 um filtered solution in PBS

Format

Azide and BSA Free

Preservative

No Preservative

Concentration

Please see the vial label for concentration. If unlisted please contact technical services.

Shipping

The product is shipped with polar packs. Upon receipt, store it immediately at the temperature recommended below.

Stability & Storage

Store at 4C short term. Aliquot and store at -20C long term. Avoid freeze-thaw cycles.

Background: CCDC6

CCDC6 is the product of the H4(D10S170) gene identified as a gene that exhibits frequent rearrangement with RET in papillary thyroid tumors. Alternate names for CCDC6 include protein H4, PTC, and D10S170.

Alternate Names

coiled-coil domain containing 6, D10S170Protein H4, H4DNA segment on chromosome 10 (unique) 170, Papillary thyroid carcinoma-encoded protein, PTCFLJ32286, TPCcoiled-coil domain-containing protein 6, TST1

Gene Symbol

CCDC6

Additional CCDC6 Products

Product Documents for CCDC6 Antibody - Azide and BSA Free

Certificate of Analysis

To download a Certificate of Analysis, please enter a lot number in the search box below.

Product Specific Notices for CCDC6 Antibody - Azide and BSA Free

This product is for research use only and is not approved for use in humans or in clinical diagnosis. Primary Antibodies are guaranteed for 1 year from date of receipt.

Loading...
Loading...
Loading...
Loading...