Skip to main content

CCDC6 Antibody - BSA Free

Novus Biologicals, part of Bio-Techne | Catalog # NBP1-85350

Novus Biologicals, part of Bio-Techne
Catalog #
Availability
Size / Price
Qty
Loading...
NBP1-85350
NBP1-85350-25ul

Key Product Details

Validated by

Orthogonal Validation, Independent Antibodies

Species Reactivity

Validated:

Human

Predicted:

Mouse (100%), Rat (100%). Backed by our 100% Guarantee.

Applications

Immunohistochemistry, Immunohistochemistry-Paraffin

Label

Unconjugated

Antibody Source

Polyclonal Rabbit IgG

Format

BSA Free

Concentration

Concentrations vary lot to lot. See vial label for concentration. If unlisted please contact technical services.

Product Specifications

Immunogen

This antibody was developed against Recombinant Protein corresponding to amino acids: QPVSAPPSPRDISMEIDSPENMMRHIRFLKNEVERLKKQLRAAQLQHSEKMAQYLEEERHMREENLRLQRKLQREMERREALCRQLSESESSLEMDDERYFNEMSAQGLRPR

Clonality

Polyclonal

Host

Rabbit

Isotype

IgG

Scientific Data Images for CCDC6 Antibody - BSA Free

Immunohistochemistry-Paraffin: CCDC6 Antibody [NBP1-85350]

Immunohistochemistry-Paraffin: CCDC6 Antibody [NBP1-85350]

Immunohistochemistry-Paraffin: CCDC6 Antibody [NBP1-85350] - Staining of human testis shows weak to moderate cytoplasmic positivity in cells in seminiferous ducts.
Immunohistochemistry-Paraffin: CCDC6 Antibody [NBP1-85350]

Immunohistochemistry-Paraffin: CCDC6 Antibody [NBP1-85350]

Immunohistochemistry-Paraffin: CCDC6 Antibody [NBP1-85350] - Analysis in human fallopian tube and liver tissues. Corresponding CCDC6 RNA-seq data are presented for the same tissues.
Immunohistochemistry-Paraffin: CCDC6 Antibody [NBP1-85350]

Immunohistochemistry-Paraffin: CCDC6 Antibody [NBP1-85350]

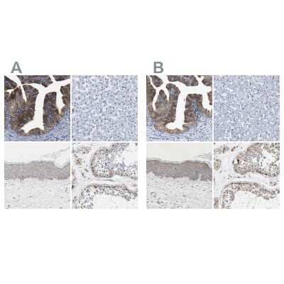
Immunohistochemistry-Paraffin: CCDC6 Antibody [NBP1-85350] - Staining of human fallopian tube, liver, skin and testis using Anti-CCDC6 antibody NBP1-85350 (A) shows similar protein distribution across tissues to independent antibody NBP1-85351 (B).

Applications for CCDC6 Antibody - BSA Free

Application
Recommended Usage

Immunohistochemistry

1:20 - 1:50

Immunohistochemistry-Paraffin

1:10-1:20
Application Notes
For IHC-Paraffin, HIER pH 6 retrieval is recommended.

Formulation, Preparation, and Storage

Purification

Affinity purified

Formulation

PBS (pH 7.2) and 40% Glycerol

Format

BSA Free

Preservative

0.02% Sodium Azide

Concentration

Concentrations vary lot to lot. See vial label for concentration. If unlisted please contact technical services.

Shipping

The product is shipped with polar packs. Upon receipt, store it immediately at the temperature recommended below.

Stability & Storage

Store at 4C short term. Aliquot and store at -20C long term. Avoid freeze-thaw cycles.

Background: CCDC6

CCDC6 is the product of the H4(D10S170) gene identified as a gene that exhibits frequent rearrangement with RET in papillary thyroid tumors. Alternate names for CCDC6 include protein H4, PTC, and D10S170.

Alternate Names

coiled-coil domain containing 6, D10S170Protein H4, H4DNA segment on chromosome 10 (unique) 170, Papillary thyroid carcinoma-encoded protein, PTCFLJ32286, TPCcoiled-coil domain-containing protein 6, TST1

Gene Symbol

CCDC6

Additional CCDC6 Products

Product Documents for CCDC6 Antibody - BSA Free

Certificate of Analysis

To download a Certificate of Analysis, please enter a lot number in the search box below.

Product Specific Notices for CCDC6 Antibody - BSA Free

This product is for research use only and is not approved for use in humans or in clinical diagnosis. Primary Antibodies are guaranteed for 1 year from date of receipt.

Loading...
Loading...
Loading...
Loading...