Skip to main content

CCDC39 Antibody - BSA Free

Novus Biologicals, part of Bio-Techne | Catalog # NBP2-33999

Novus Biologicals, part of Bio-Techne
Catalog #
Availability
Size / Price
Qty
Loading...
NBP2-33999
NBP2-33999-25ul

Key Product Details

Validated by

Independent Antibodies

Species Reactivity

Human

Applications

Immunohistochemistry, Immunohistochemistry-Paraffin

Label

Unconjugated

Antibody Source

Polyclonal Rabbit IgG

Format

BSA Free

Concentration

Concentrations vary lot to lot. See vial label for concentration. If unlisted please contact technical services.

Product Specifications

Immunogen

This antibody was developed against a recombinant protein corresponding to amino acids: TESEEHFKAIAQRELGRVKDEIQRLENEMASILEKKSDKENGIFKATQKLDGLKCQMNWDQQALEAWLEESAHKDSDALTLQKYAQQDDNKIRAL

Reactivity Notes

Immunogen displays the following percentage of sequence identity for non-tested species: Mouse (83%), Rat (88%)

Clonality

Polyclonal

Host

Rabbit

Isotype

IgG

Description

Novus Biologicals Rabbit CCDC39 Antibody - BSA Free (NBP2-33999) is a polyclonal antibody validated for use in IHC. All Novus Biologicals antibodies are covered by our 100% guarantee.

Scientific Data Images for CCDC39 Antibody - BSA Free

Immunohistochemistry-Paraffin: CCDC39 Antibody [NBP2-33999]

Immunohistochemistry-Paraffin: CCDC39 Antibody [NBP2-33999]

Immunohistochemistry-Paraffin: CCDC39 Antibody [NBP2-33999] - Staining of human bronchus, fallopian tube, rectum and tonsil using Anti-CCDC39 antibody NBP2-33999 (A) shows similar protein distribution across tissues to independent antibody NBP1-90560 (B).
Immunohistochemistry-Paraffin: CCDC39 Antibody [NBP2-33999]

Immunohistochemistry-Paraffin: CCDC39 Antibody [NBP2-33999]

Immunohistochemistry-Paraffin: CCDC39 Antibody [NBP2-33999] - Staining of human fallopian tube shows moderate positivity in cilia in glandular cells.
Immunohistochemistry-Paraffin: CCDC39 Antibody [NBP2-33999]

Immunohistochemistry-Paraffin: CCDC39 Antibody [NBP2-33999]

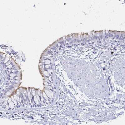
Immunohistochemistry-Paraffin: CCDC39 Antibody [NBP2-33999] - Staining of human rectum shows no positivity in glandular cells as expected.

Applications for CCDC39 Antibody - BSA Free

Application
Recommended Usage

Immunohistochemistry

1:1000 - 1:2500

Immunohistochemistry-Paraffin

1:1000 - 1:2500
Application Notes
For IHC-Paraffin, HIER pH 6 retrieval is recommended.

Formulation, Preparation, and Storage

Purification

Affinity purified

Formulation

PBS (pH 7.2) and 40% Glycerol

Format

BSA Free

Preservative

0.02% Sodium Azide

Concentration

Concentrations vary lot to lot. See vial label for concentration. If unlisted please contact technical services.

Shipping

The product is shipped with polar packs. Upon receipt, store it immediately at the temperature recommended below.

Stability & Storage

Store at 4C short term. Aliquot and store at -20C long term. Avoid freeze-thaw cycles.

Background: CCDC39

Alternate Names

coiled-coil domain containing 39

Gene Symbol

CCDC39

UniProt

Additional CCDC39 Products

Product Documents for CCDC39 Antibody - BSA Free

Certificate of Analysis

To download a Certificate of Analysis, please enter a lot number in the search box below.

Product Specific Notices for CCDC39 Antibody - BSA Free

This product is for research use only and is not approved for use in humans or in clinical diagnosis. Primary Antibodies are guaranteed for 1 year from date of receipt.

Loading...
Loading...
Loading...
Loading...
Loading...