Skip to main content

CCDC173 Antibody - BSA Free

Novus Biologicals, part of Bio-Techne | Catalog # NBP2-30925

Novus Biologicals, part of Bio-Techne
Catalog #
Availability
Size / Price
Qty
Loading...
NBP2-30925-25ul
NBP2-30925

Key Product Details

Species Reactivity

Human

Applications

Immunohistochemistry, Immunohistochemistry-Paraffin, Western Blot

Label

Unconjugated

Antibody Source

Polyclonal Rabbit IgG

Format

BSA Free

Concentration

Concentrations vary lot to lot. See vial label for concentration. If unlisted please contact technical services.

Product Specifications

Immunogen

This antibody was developed against a recombinant protein corresponding to amino acids: TIAEYRAIVMKNKEEEERQRKIEAKEQLLAVMKADQIFWEHEKEKKCKADKEHQEVQDAHIQQMAKNKFNAKQAKQAELDYCRLT

Clonality

Polyclonal

Host

Rabbit

Isotype

IgG

Description

Novus Biologicals Rabbit CCDC173 Antibody - BSA Free (NBP2-30925) is a polyclonal antibody validated for use in IHC and WB. All Novus Biologicals antibodies are covered by our 100% guarantee.

Scientific Data Images for CCDC173 Antibody - BSA Free

Western Blot: CCDC173 Antibody [NBP2-30925]

Western Blot: CCDC173 Antibody [NBP2-30925]

Western Blot: C2orf77 Antibody [NBP2-30925] - Lane 1: Marker [kDa] 250, 130, 100, 70, 55, 35, 25, 15, 10. Lane 2: Liver
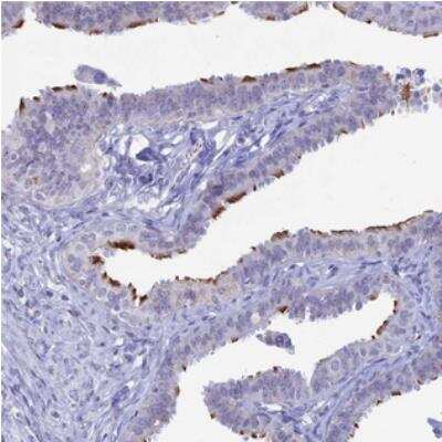
Immunohistochemistry: CCDC173 Antibody [NBP2-30925]

Immunohistochemistry: CCDC173 Antibody [NBP2-30925]

Immunohistochemistry: C2orf77 Antibody [NBP2-30925] - Staining of human fallopian tube shows distinct positivity in cilia.

Applications for CCDC173 Antibody - BSA Free

Application
Recommended Usage

Immunohistochemistry

1:200 - 1:500

Immunohistochemistry-Paraffin

1:200 - 1:500

Western Blot

0.04-0.4 ug/ml
Application Notes
For IHC-Paraffin, HIER pH 6 retrieval is recommended.

Formulation, Preparation, and Storage

Purification

Affinity purified

Formulation

PBS (pH 7.2) and 40% Glycerol

Format

BSA Free

Preservative

0.02% Sodium Azide

Concentration

Concentrations vary lot to lot. See vial label for concentration. If unlisted please contact technical services.

Shipping

The product is shipped with polar packs. Upon receipt, store it immediately at the temperature recommended below.

Stability & Storage

Store at 4C short term. Aliquot and store at -20C long term. Avoid freeze-thaw cycles.

Background: CCDC173

Alternate Names

C2orf77, CCDC173, Chromosome 2 Open Reading Frame 77, Coiled-Coil Domain Containing 173, Coiled-Coil Domain-Containing Protein 173, Hypothetical LOC129881

Gene Symbol

CCDC173

UniProt

Additional CCDC173 Products

Product Documents for CCDC173 Antibody - BSA Free

Certificate of Analysis

To download a Certificate of Analysis, please enter a lot number in the search box below.

Product Specific Notices for CCDC173 Antibody - BSA Free

This product is for research use only and is not approved for use in humans or in clinical diagnosis. Primary Antibodies are guaranteed for 1 year from date of receipt.

Loading...
Loading...
Loading...
Loading...