Skip to main content

CCDC170 Antibody

Novus Biologicals, part of Bio-Techne | Catalog # NBP3-48472

Novus Biologicals, part of Bio-Techne
Catalog #
Availability
Size / Price
Qty
Loading...
NBP3-48472

Key Product Details

Species Reactivity

Human

Applications

Immunohistochemistry, Immunohistochemistry-Paraffin, Western Blot, Immunocytochemistry/ Immunofluorescence

Label

Unconjugated

Antibody Source

Polyclonal Rabbit IgG

Concentration

Concentrations vary lot to lot. See vial label for concentration. If unlisted please contact technical services.

Product Specifications

Immunogen

Recombinant protein encompassing a sequence within the C-terminus region of human CCDC170. The exact sequence is proprietary.

Clonality

Polyclonal

Host

Rabbit

Isotype

IgG

Description

Novus Biologicals Rabbit CCDC170 Antibody (NBP3-48472) is a polyclonal antibody validated for use in IHC, WB and ICC/IF. All Novus Biologicals antibodies are covered by our 100% guarantee.

Scientific Data Images for CCDC170 Antibody

CCDC170 Antibody

Immunocytochemistry/ Immunofluorescence: CCDC170 Antibody [NBP3-48472] -

CCDC170 antibody detects CCDC170 protein at cytoplasm and nucleus by immunofluorescent analysis.
Sample: HeLa cells were fixed in 4% paraformaldehyde at RT for 15 min.
Green: CCDC170 protein stained by CCDC170 antibody (NBP3-48472) diluted at 1:200.
Blue: Hoechst 33342 staining.
CCDC170 Antibody

Western Blot: CCDC170 Antibody [NBP3-48472] -

Sample (30 ug of whole cell lysate)
A: A549
7.5% SDS PAGE
NBP3-48472 diluted at 1:1000
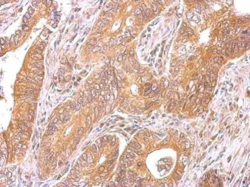
CCDC170 Antibody

Immunohistochemistry: CCDC170 Antibody [NBP3-48472] -

CCDC170 antibody detects CCDC170 protein at cytoplasm in human endometrial cancer by immunohistochemical analysis.
Sample: Paraffin-embedded human endometrial cancer.
CCDC170 antibody (NBP3-48472) diluted at 1:500.
^[^GTX]br>Antigen Retrieval: Citrate buffer, pH 6.0, 15 min

Applications for CCDC170 Antibody

Application
Recommended Usage

Immunocytochemistry/ Immunofluorescence

1:100-1:1000

Immunohistochemistry-Paraffin

1:100-1:1000

Western Blot

1:500-1:3000

Formulation, Preparation, and Storage

Purification

Antigen Affinity-purified

Formulation

0.1M Tris, 0.1M Glycine, 10% Glycerol

Preservative

0.01% Thimerosal

Concentration

Concentrations vary lot to lot. See vial label for concentration. If unlisted please contact technical services.

Shipping

The product is shipped with polar packs. Upon receipt, store it immediately at the temperature recommended below.

Stability & Storage

Store at 4C short term. Aliquot and store at -20C long term. Avoid freeze-thaw cycles.

Background: CCDC170

Alternate Names

bA282P11.1, C6orf97, chromosome 6 open reading frame 97, coiled-coil domain containing 170, FLJ23305, hypothetical protein LOC80129

Gene Symbol

CCDC170

Additional CCDC170 Products

Product Documents for CCDC170 Antibody

Certificate of Analysis

To download a Certificate of Analysis, please enter a lot number in the search box below.

Product Specific Notices for CCDC170 Antibody

This product is for research use only and is not approved for use in humans or in clinical diagnosis. Primary Antibodies are guaranteed for 1 year from date of receipt.

Loading...
Loading...
Loading...
Loading...