CCDC124 Antibody - BSA Free
Novus Biologicals, part of Bio-Techne | Catalog # NBP2-48746
Key Product Details
Species Reactivity
Validated:
Human
Predicted:
Mouse (92%), Rat (92%). Backed by our 100% Guarantee.
Applications
Immunohistochemistry, Immunohistochemistry-Paraffin, Western Blot, Immunocytochemistry/ Immunofluorescence
Label
Unconjugated
Antibody Source
Polyclonal Rabbit IgG
Format
BSA Free
Concentration
Concentrations vary lot to lot. See vial label for concentration. If unlisted please contact technical services.
Product Specifications
Immunogen
This antibody was developed against a recombinant protein corresponding to amino acids: KAKSHLEVPLEENVNRRVLEEGSVEARTIEDAIAVLSVAEEAADRHPERRMRAAFTAFEEAQLPRLKQENPNMRLSQLKQLLKKEWL
Clonality
Polyclonal
Host
Rabbit
Isotype
IgG
Description
Novus Biologicals Rabbit CCDC124 Antibody - BSA Free (NBP2-48746) is a polyclonal antibody validated for use in IHC, WB and ICC/IF. All Novus Biologicals antibodies are covered by our 100% guarantee.
Scientific Data Images for CCDC124 Antibody - BSA Free
Western Blot: CCDC124 Antibody [NBP2-48746]
Western Blot: CCDC124 Antibody [NBP2-48746] - Analysis in human cell line RT-4 and human cell line U-251 MG.Immunocytochemistry/ Immunofluorescence: CCDC124 Antibody [NBP2-48746]
Immunocytochemistry/Immunofluorescence: CCDC124 Antibody [NBP2-48746] - Staining of human cell line A-431 shows localization to plasma membrane & cytosol. Antibody staining is shown in green.Immunohistochemistry-Paraffin: CCDC124 Antibody [NBP2-48746]
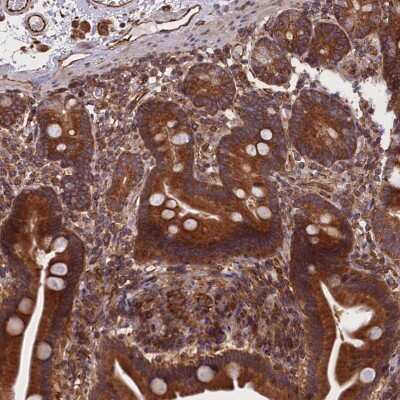
Immunohistochemistry-Paraffin: CCDC124 Antibody [NBP2-48746] - Staining of human duodenum shows strong cytoplasmic positivity in glandular cells.Applications for CCDC124 Antibody - BSA Free
Application
Recommended Usage
Immunocytochemistry/ Immunofluorescence
0.25-2 ug/ml
Immunohistochemistry
1:1000 - 1:2500
Immunohistochemistry-Paraffin
1:1000 - 1:2500
Western Blot
0.04-0.4 ug/ml
Application Notes
For IHC-Paraffin, HIER pH 6 retrieval is recommended. ICC/IF Fixation Permeabilization: Use PFA/Triton X-100.
Formulation, Preparation, and Storage
Purification
Affinity purified
Formulation
PBS (pH 7.2) and 40% Glycerol
Format
BSA Free
Preservative
0.02% Sodium Azide
Concentration
Concentrations vary lot to lot. See vial label for concentration. If unlisted please contact technical services.
Shipping
The product is shipped with polar packs. Upon receipt, store it immediately at the temperature recommended below.
Stability & Storage
Store at 4C short term. Aliquot and store at -20C long term. Avoid freeze-thaw cycles.
Background: CCDC124
Alternate Names
coiled-coil domain containing 124, coiled-coil domain-containing protein 124
Gene Symbol
CCDC124
Additional CCDC124 Products
Product Documents for CCDC124 Antibody - BSA Free
Product Specific Notices for CCDC124 Antibody - BSA Free
This product is for research use only and is not approved for use in humans or in clinical diagnosis. Primary Antibodies are guaranteed for 1 year from date of receipt.
Loading...
Loading...
Loading...
Loading...