Skip to main content

CC2D1A Antibody - BSA Free

Novus Biologicals, part of Bio-Techne | Catalog # NBP3-38114

Novus Biologicals, part of Bio-Techne
Catalog #
Availability
Size / Price
Qty
Loading...
NBP3-38114-20ul
NBP3-38114-100ul

Key Product Details

Species Reactivity

Human, Mouse, Rat

Applications

Immunohistochemistry, Immunohistochemistry-Paraffin, Western Blot, ELISA

Label

Unconjugated

Antibody Source

Polyclonal Rabbit IgG

Format

BSA Free

Concentration

Please see the vial label for concentration. If unlisted please contact technical services.

Product Specifications

Immunogen

Recombinant fusion protein containing a sequence corresponding to amino acids 1-150 of human CC2D1A (NP_060191.3).

Sequence:
MHKRKGPPGPPGRGAAAARQLGLLVDLSPDGLMIPEDGANDEELEAEFLALVGGQPPALEKLKGKGPLPMEAIEKMASLCMRDPDEDEEEGTDEDDLEADDDLLAELNEVLGEEQKASETPPPVAQPKPEAPHPGLETTLQERLALYQTA

Clonality

Polyclonal

Host

Rabbit

Isotype

IgG

Theoretical MW

104 kDa.
Disclaimer note: The observed molecular weight of the protein may vary from the listed predicted molecular weight due to post translational modifications, post translation cleavages, relative charges, and other experimental factors.

Description

Novus Biologicals Rabbit CC2D1A Antibody - BSA Free (NBP3-38114) is a polyclonal antibody validated for use in IHC, WB and ELISA. All Novus Biologicals antibodies are covered by our 100% guarantee.

Scientific Data Images for CC2D1A Antibody - BSA Free

CC2D1A Antibody

Western Blot: CC2D1A Antibody [NBP3-38114] -

Western Blot: CC2D1A Antibody [NBP3-38114] - Western blot analysis of various lysates using CC2D1A Rabbit pAb at 1:1000 dilution.
Secondary antibody: HRP-conjugated Goat anti-Rabbit IgG (H+L) at 1:10000 dilution.
Lysates/proteins: 25ug per lane.
Blocking buffer: 3% nonfat dry milk in TBST.
Detection: ECL Basic Kit.
Exposure time: 1s.
CC2D1A Antibody

Immunohistochemistry: CC2D1A Antibody [NBP3-38114] -

Immunohistochemistry: CC2D1A Antibody [NBP3-38114] - Immunohistochemistry analysis of paraffin-embedded Human esophageal cancer using CC2D1A Rabbit pAb at dilution of 1:200 (40x lens). High pressure antigen retrieval performed with 0.01M Citrate Bufferr (pH 6.0) prior to IHC staining.
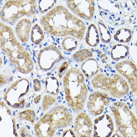
CC2D1A Antibody

Immunohistochemistry: CC2D1A Antibody [NBP3-38114] -

Immunohistochemistry: CC2D1A Antibody [NBP3-38114] - Immunohistochemistry analysis of paraffin-embedded Rat kidney using CC2D1A Rabbit pAb at dilution of 1:200 (40x lens). High pressure antigen retrieval performed with 0.01M Citrate Bufferr (pH 6.0) prior to IHC staining.

Applications for CC2D1A Antibody - BSA Free

Application
Recommended Usage

Immunohistochemistry-Paraffin

1:50 - 1:200

Western Blot

1:1000 - 1:2000

Formulation, Preparation, and Storage

Purification

Affinity purified

Formulation

PBS (pH 7.3), 50% glycerol

Format

BSA Free

Preservative

0.02% Sodium Azide

Concentration

Please see the vial label for concentration. If unlisted please contact technical services.

Shipping

The product is shipped with polar packs. Upon receipt, store it immediately at the temperature recommended below.

Stability & Storage

Store at -20C. Avoid freeze-thaw cycles.

Background: CC2D1A

The CC2D1A gene encodes a transcriptional repressor that binds to a conserved 14-bp 5'-repressor element and regulates expression of the 5-hydroxytryptamine (serotonin) receptor 1A gene in neuronal cells. The DNA binding and transcriptional repressor activities

Alternate Names

Akt kinase-interacting protein 1, coiled-coil and C2 domain containing 1A, coiled-coil and C2 domain-containing protein 1A, Five repressor element under dual repression-binding protein 1, FLJ20241, FLJ41160, FRE under dual repression-binding protein 1, FREUD-1, mental retardation, nonsyndromic, autosomal recessive, 3, MRT3Freud-1/Aki1, Putative NF-kappa-B-activating protein 023N, putative NFkB activating protein

Gene Symbol

CC2D1A

Additional CC2D1A Products

Product Documents for CC2D1A Antibody - BSA Free

Certificate of Analysis

To download a Certificate of Analysis, please enter a lot number in the search box below.

Product Specific Notices for CC2D1A Antibody - BSA Free

This product is for research use only and is not approved for use in humans or in clinical diagnosis. Primary Antibodies are guaranteed for 1 year from date of receipt.

Loading...
Loading...
Loading...
Loading...